• Tel: 858.663.9055
  • SeparatorEmail: info@nsjbio.com
  • Tel: 858.663.9055
  • Email: info@nsjbio.com
Home >> Antibodies >> Sal-like 4 Antibody / SALL4

Sal-like 4 Antibody / SALL4 [clone SALL4/7802R] (V4833)

  Catalog No Formulation Size Price (USD)  
Image V4833-100UG 0.2 mg/ml in 1X PBS with 0.1 mg/ml BSA (US sourced), 0.05% sodium azide 100 ug 559
Image
V4833-20UG 0.2 mg/ml in 1X PBS with 0.1 mg/ml BSA (US sourced), 0.05% sodium azide 20 ug 259
Image
V4833SAF-100UG 1 mg/ml in 1X PBS; BSA free, sodium azide free 100 ug 559
Microvalidated Recrabbitmono
Bulk quote request
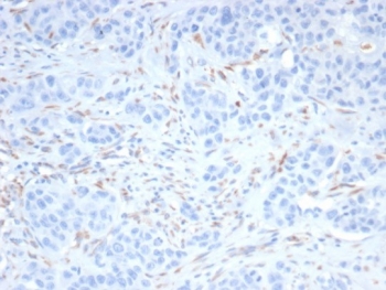
Immunohistochemistry analysis of Sal-like 4 Antibody in human kidney cancer tissue. Formalin-fixed, paraffin-embedded human kidney carcinoma stained with Sal-like 4 antibody (clone SALL4/7802R) demonstrates nuclear HRP-DAB brown staining in scattered tumor cells, consistent with the expected subcellular localization of SALL4 as a transcription factor. The staining pattern highlights discrete nuclei within the neoplastic cell population, while surrounding stromal elements show minimal background signal. Nuclear localization aligns with the known function of Sal-like protein 4 in regulating gene expression and maintaining stem cell-associated transcriptional programs. Heat-induced epitope retrieval was performed by boiling tissue sections in pH 9, 10mM Tris with 1mM EDTA for 20 minutes followed by cooling prior to immunostaining.
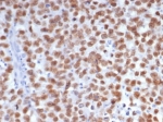
IHC staining of FFPE human seminoma tissue with Sal-like 4 antibody (clone SALL4/7802R). HIER: boil tissue sections in pH 9 10mM Tris with 1mM EDTA for 20 min and allow to cool before testing.
Availability 1-3 business days
Species Reactivity Human
Format Purified
Host Rabbit
Clonality Recombinant Rabbit Monoclonal
Isotype Rabbit IgG, kappa
Clone Name SALL4/7802R
Purity Protein A affinity
UniProt Q9UJQ4
Localization Nucleus, Cytoplasm
Applications Immunohistochemistry (FFPE) : 1-2ug/ml for 30 min at RT
Limitations This Sal-like 4 antibody is available for research use only.
Review this product on BioCompare and get a $20 Amazon gift card

Related Products

Description

Sal-like 4 antibody recognizes Sal-like protein 4, a zinc finger transcription factor encoded by the SALL4 gene. Sal-like protein 4 is a nuclear DNA-binding protein that plays a central role in embryonic development, stem cell maintenance, and lineage specification. SALL4 is predominantly localized to the nucleus, where it regulates gene expression programs involved in pluripotency, self-renewal, and early organogenesis. It is a member of the Spalt-like family of transcription factors and contains multiple C2H2-type zinc finger domains that mediate sequence-specific DNA binding and transcriptional regulation.

SALL4 is highly expressed in embryonic stem cells and germ cells, where it functions as a core regulator of pluripotency networks alongside factors such as OCT4 and NANOG. In normal adult tissues, expression is typically low or restricted to specific progenitor populations. During development, SALL4 contributes to the formation of multiple organ systems, including limb, heart, and hematopoietic structures. Genetic alterations in SALL4 have been associated with developmental syndromes and congenital abnormalities, highlighting its importance in tissue patterning and morphogenesis.

Aberrant re-expression of SALL4 has been reported in various malignancies, including germ cell tumors, leukemias, and certain solid tumors. Because of its restricted expression in normal adult tissues and its role in stemness and tumor biology, SALL4 is widely studied as a marker of embryonic differentiation and oncogenic reprogramming. In immunohistochemistry, Sal-like 4 typically demonstrates nuclear staining in positive cells, consistent with its function as a transcription factor.

This Sal-like 4 antibody (clone SALL4/7802R) is suitable for detecting SALL4 expression in research applications. A Sal-like 4 antibody supports studies of stem cell biology, developmental regulation, germ cell tumor characterization, and oncogenic transcriptional programs.

Application Notes

Optimal dilution of the Sal-like 4 antibody should be determined by the researcher.

Immunogen

A recombinant partial protein sequence (within amino acids 100-300) from the human protein was used as the immunogen for the Sal-like 4 antibody.

Storage

Aliquot the Sal-like 4 antibody and store frozen at -20oC or colder. Avoid repeated freeze-thaw cycles.

Cross
Bulk Quote Request Form
Name*:
Organization*:
Email*:
Phone Number*:
Catalog No.*:
Comments and Specifics(amount, formulation, etc.)*:
Validation code: Captchapackage Image


Can't read the image? click here to refresh.
    *required field

Your bulk quote request has been submitted successfully!

Please contact us if you have any questions.