• Tel: 858.663.9055
  • SeparatorEmail: info@nsjbio.com
  • Tel: 858.663.9055
  • Email: info@nsjbio.com
Home >> Antibodies >> SAGE1 Antibody / CT14

SAGE1 Antibody / CT14 (RQ7560)

  Catalog No Formulation Size Price (USD)  
Image RQ7560 0.5mg/ml if reconstituted with 0.2ml sterile DI water 100 ug 449
Bulk quote request
Immunofluorescent staining of FFPE human U-2 OS cells with SAGE1 antibody (green) and DAPI nuclear stain (blue). HIER: steam section in pH6 citrate buffer for 20 min.
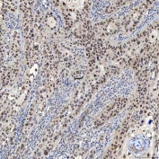
IHC staining of FFPE human laryngeal carcinoma tissue with SAGE1 antibody. HIER: boil tissue sections in pH8 EDTA for 20 min and allow to cool before testing.
Western blot testing of human 1) K562 and 2) U-2 OS cell lysate with SAGE1 antibody. Predicted molecular weight ~99 kDa.
Flow cytometry testing of human U-2 OS cells with SAGE1 antibody at 1ug/million cells (blocked with goat sera); Red=cells alone, Green=isotype control, Blue= SAGE1 antibody.
Availability 1-3 business days
Species Reactivity Human
Format Antigen affinity purified
Host Rabbit
Clonality Polyclonal (rabbit origin)
Isotype Rabbit IgG
Purity Antigen affinity purified
Buffer Lyophilized from 1X PBS with 2% Trehalose
UniProt Q9NXZ1
Localization Nuclear
Applications Western Blot : 0.5-1ug/ml
Immunohistochemistry (FFPE) : 2-5ug/ml
Immunofluorescence : 5ug/ml
Flow Cytometry : 1-3ug/million cells
Direct ELISA : 0.1-0.5ug/ml
Limitations This SAGE1 antibody is available for research use only.
Review this product on BioCompare and get a $20 Amazon gift card

Description

This gene, encoding Sarcoma antigen 1 (SAGE1), also called Cancer/testis antigen 14 (CT14), belongs to a class of genes that are activated in tumors. These genes are expressed in tumors of different histologic types but not in normal tissues, except for spermatogenic cells and, for some, placenta. The proteins encoded by these genes appear to be strictly tumor specific, and hence may be excellent sources of antigens for cancer immunotherapy. This gene is expressed in sarcomas.

Application Notes

Optimal dilution of the SAGE1 antibody should be determined by the researcher.

Immunogen

E. coli-derived recombinant human protein (amino acids D94-K633) was used as the immunogen for the SAGE1 antibody.

Storage

After reconstitution, the SAGE1 antibody can be stored for up to one month at 4oC. For long-term, aliquot and store at -20oC. Avoid repeated freezing and thawing.

Cross
Bulk Quote Request Form
Name*:
Organization*:
Email*:
Phone Number*:
Catalog No.*:
Comments and Specifics(amount, formulation, etc.)*:
Validation code: Captchapackage Image


Can't read the image? click here to refresh.
    *required field

Your bulk quote request has been submitted successfully!

Please contact us if you have any questions.