• Tel: 858.663.9055
  • SeparatorEmail: info@nsjbio.com
  • Tel: 858.663.9055
  • Email: info@nsjbio.com
Home >> Antibodies >> SAE2 Antibody

SAE2 Antibody [clone 5H11] (RQ5505)

  Catalog No Formulation Size Price (USD)  
Image RQ5505 0.5mg/ml if reconstituted with 0.2ml sterile DI water 100 ug 449
Bulk quote request
Flow cytometry testing of human A431 cells with SAE2 antibody at 1ug/million cells (blocked with goat sera); Red=cells alone, Green=isotype control, Blue= SAE2 antibody.
Flow cytometry testing of human U-2 OS cells with SAE2 antibody at 1ug/million cells (blocked with goat sera); Red=cells alone, Green=isotype control, Blue= SAE2 antibody.
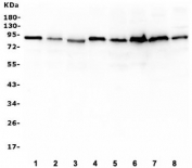
Western blot testing of human 1) K562, 2) Raji, 3) ThP-1, 4) SW579, 5) HepG2, 6) CCRF-CEM, 7) rat PC-12 and 8) mouse RAW246.7 lysate with SAE2 antibody. Predicted molecular weight: ~72 kDa but routinely observed at ~90 kDa.
Availability 1-3 business days
Species Reactivity Human, Mouse, Rat
Format Antigen affinity purified
Host Mouse
Clonality Monoclonal (mouse origin)
Isotype Mouse IgG2b
Clone Name 5H11
Purity Affinity purified
Buffer Lyophilized from 1X PBS with 2% Trehalose and 0.025% sodium azide
UniProt Q9UBT2
Applications Western Blot : 0.5-1ug/ml
Flow Cytometry : 1-3ug/million cells
Limitations This SAE2 antibody is available for research use only.
Review this product on BioCompare and get a $20 Amazon gift card

Related Products

Description

Ubiquitin-like 1-activating enzyme E1B (UBLE1B) also known as SUMO-activating enzyme subunit 2 (SAE2) is an enzyme that in humans is encoded by the UBA2 gene. Posttranslational modification of proteins by the addition of the small protein SUMO, or sumoylation, regulates protein structure and intracellular localization. SAE1 and UBA2 form a heterodimer that functions as a SUMO-activating enzyme for the sumoylation of proteins

Application Notes

Optimal dilution of the SAE2 antibody should be determined by the researcher.

Immunogen

A human recombinant protein (amino acids E449-K564) was used as the immunogen for the SAE2 antibody.

Storage

After reconstitution, the SAE2 antibody can be stored for up to one month at 4oC. For long-term, aliquot and store at -20oC. Avoid repeated freezing and thawing.

Cross
Bulk Quote Request Form
Name*:
Organization*:
Email*:
Phone Number*:
Catalog No.*:
Comments and Specifics(amount, formulation, etc.)*:
Validation code: Captchapackage Image


Can't read the image? click here to refresh.
    *required field

Your bulk quote request has been submitted successfully!

Please contact us if you have any questions.