• Tel: 858.663.9055
  • SeparatorEmail: info@nsjbio.com
  • Tel: 858.663.9055
  • Email: info@nsjbio.com
Home >> Antibodies >> Sacsin Antibody / SACS

Sacsin Antibody / SACS (RQ4029)

  Catalog No Formulation Size Price (USD)  
Image RQ4029 0.5mg/ml if reconstituted with 0.2ml sterile DI water 100 ug 449
Bulk quote request
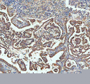
IHC staining of FFPE human lung cancer tissue with Sacsin antibody, HRP-labeled secondary and DAB substrate. HIER: boil tissue sections in pH8 EDTA for 20 min and allow to cool before testing.
IHC staining of FFPE human cerebellum tissue with Sacsin antibody, HRP-labeled secondary and DAB substrate. HIER: boil tissue sections in pH8 EDTA for 20 min and allow to cool before testing.
IHC staining of FFPE mouse brain tissue with Sacsin antibody, HRP-labeled secondary and DAB substrate. HIER: boil tissue sections in pH8 EDTA for 20 min and allow to cool before testing.
IHC staining of FFPE rat brain tissue with Sacsin antibody, HRP-labeled secondary and DAB substrate. HIER: boil tissue sections in pH8 EDTA for 20 min and allow to cool before testing.
Availability 1-3 business days
Species Reactivity Human, Mouse, Rat
Format Antigen affinity purified
Host Rabbit
Clonality Polyclonal (rabbit origin)
Isotype Rabbit IgG
Purity Antigen affinity purified
Buffer Lyophilized from 1X PBS with 2% Trehalose
UniProt Q9NZJ4
Localization Cytoplasmic
Applications Immunohistochemistry (FFPE) : 2-5ug/ml
Direct ELISA : 0.1-0.5ug/ml
Limitations This Sacsin antibody is available for research use only.
Review this product on BioCompare and get a $20 Amazon gift card

Description

Sacsin, encoded by the SACS gene, is a large, multifunctional protein that plays a critical role in cytoskeletal dynamics, protein folding, and mitochondrial maintenance. It is highly expressed in the central nervous system, particularly in cerebellar Purkinje cells, where it contributes to neuronal integrity and intracellular transport. Sacsin contains multiple functional domains, including a ubiquitin-like domain, Hsp90-like chaperone motifs, and a HEPN domain, suggesting a role in protein quality control and stress response pathways.

Mutations in the SACS gene are the primary cause of autosomal recessive spastic ataxia of Charlevoix-Saguenay (ARSACS), a neurodegenerative disorder characterized by early-onset ataxia, spasticity, and peripheral neuropathy. Loss of Sacsin function results in abnormal intermediate filament organization and mitochondrial dysfunction, highlighting its importance in neuronal homeostasis and long-term motor coordination.

The Sacsin antibody is a powerful reagent for investigating the molecular mechanisms underlying neurodegeneration and mitochondrial biology. With proven utility in western blot, immunohistochemistry, and immunofluorescence applications, the Sacsin antibody enables reliable detection of endogenous Sacsin in tissue and cell samples. Researchers studying ataxia, cytoskeletal regulation, or neuronal pathology rely on the Sacsin antibody for its specificity and consistent performance across experimental systems.

Application Notes

Optimal dilution of the Sacsin antibody should be determined by the researcher.

Immunogen

A recombinant human partial protein corresponding to amino acids E3709-L3909 was used as the immunogen for the Sacsin antibody.

Storage

After reconstitution, the Sacsin antibody can be stored for up to one month at 4oC. For long-term, aliquot and store at -20oC. Avoid repeated freezing and thawing.

Cross
Bulk Quote Request Form
Name*:
Organization*:
Email*:
Phone Number*:
Catalog No.*:
Comments and Specifics(amount, formulation, etc.)*:
Validation code: Captchapackage Image


Can't read the image? click here to refresh.
    *required field

Your bulk quote request has been submitted successfully!

Please contact us if you have any questions.