• Tel: 858.663.9055
  • SeparatorEmail: info@nsjbio.com
  • Tel: 858.663.9055
  • Email: info@nsjbio.com
Home >> Antibodies >> SAA Antibody / Serum Amyloid A

SAA Antibody / Serum Amyloid A [clone SAA/326] (V7516)

  Catalog No Formulation Size Price (USD)  
Image V7516-100UG 0.2 mg/ml in 1X PBS with 0.1 mg/ml BSA (US sourced) and 0.05% sodium azide 100 ug 559
Image
V7516-20UG 0.2 mg/ml in 1X PBS with 0.1 mg/ml BSA (US sourced) and 0.05% sodium azide 20 ug 259
Image
V7516SAF-100UG 1 mg/ml in 1X PBS; BSA free, sodium azide free 100 ug 559
Image
V7516IHC-7ML Prediluted in 1X PBS with 0.1 mg/ml BSA (US sourced) and 0.05% sodium azide; *For IHC use only* 7 ml 559
Bulk quote request
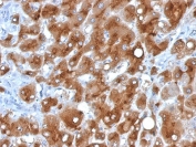
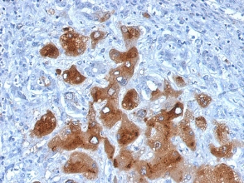
Immunohistochemistry analysis of Serum Amyloid A expression. SAA antibody (clone SAA/326) staining was performed on formalin-fixed, paraffin-embedded human hepatocellular carcinoma tissue, showing DAB-positive cytoplasmic staining in tumor cells, with hematoxylin counterstaining. Heat-induced epitope retrieval was carried out by boiling tissue sections in Tris buffer (10 mM, pH 9.0) containing EDTA (1 mM) for 10-20 minutes, followed by cooling prior to immunostaining, and signal detection was achieved using an HRP-conjugated secondary antibody and DAB chromogen.
Immunohistochemistry analysis of Serum Amyloid A expression. SAA antibody (clone SAA/326) staining was performed on formalin-fixed, paraffin-embedded human hepatocellular carcinoma tissue, showing DAB-positive cytoplasmic staining in tumor cells, with hematoxylin counterstaining. Heat-induced epitope retrieval was carried out by boiling tissue sections in Tris buffer (10 mM, pH 9.0) containing EDTA (1 mM) for 10-20 minutes, followed by cooling prior to immunostaining, and signal detection was achieved using an HRP-conjugated secondary antibody and DAB chromogen.
Availability 1-3 business days
Species Reactivity Human
Format Purified
Host Mouse
Clonality Monoclonal (mouse origin)
Isotype Mouse IgG2a, kappa
Clone Name SAA/326
Purity Protein G affinity chromatography
UniProt P0DJI8 , P0DJI9
Localization Cytoplasmic, secreted
Applications Immunohistochemistry (FFPE) : 1-2ug/ml for 30 min at RT
Limitations This SAA antibody is available for research use only.
Review this product on BioCompare and get a $20 Amazon gift card

Related Products

Description

SAA antibody targets Serum Amyloid A, a family of acute phase apolipoproteins that includes the closely related isoforms Serum Amyloid A1 and Serum Amyloid A2, encoded by the SAA1 and SAA2 genes. Serum Amyloid A is primarily synthesized by hepatocytes and secreted into the circulation, where it associates with high-density lipoprotein particles. Under inflammatory conditions, SAA expression can increase by several hundred-fold, making Serum Amyloid A one of the most robust biomarkers of acute and chronic inflammation. In the literature, Serum Amyloid A is also commonly referred to as acute phase serum amyloid A.

Functionally, Serum Amyloid A participates in innate immune responses by modulating lipid metabolism, recruiting immune cells, and influencing cytokine signaling. A short functional summary is that SAA links inflammatory signaling with cholesterol transport and immune cell activation during systemic stress. Through interactions with immune receptors and extracellular matrix components, Serum Amyloid A contributes to host defense, tissue remodeling, and inflammatory resolution.

At the molecular level, Serum Amyloid A proteins are small, highly conserved apolipoproteins that bind lipoproteins and cell surface receptors. Sustained elevation of SAA can lead to proteolytic processing and deposition of amyloid fibrils derived from Serum Amyloid A, a pathological process underlying AA amyloidosis. SAA antibody reagents are therefore valuable tools for studying inflammatory signaling, amyloid formation, and acute phase biology. Clone SAA/326 is designed to recognize Serum Amyloid A and supports detection of SAA proteins in research applications.

From a biological and disease relevance perspective, Serum Amyloid A expression is closely associated with inflammatory diseases, infections, autoimmune disorders, cardiovascular disease, and cancer. Elevated SAA levels have been reported in conditions such as rheumatoid arthritis, inflammatory bowel disease, chronic infections, and malignancies, where they may reflect disease activity or prognosis. SAA is also widely studied as a circulating and tissue biomarker in translational and clinical research.

Physiologically, SAA expression is low under basal conditions and rapidly induced by pro-inflammatory cytokines including interleukin-1, interleukin-6, and tumor necrosis factor. Clone SAA/326 provides a reliable reagent for detecting Serum Amyloid A in studies of inflammation, immune regulation, and amyloid-related pathology. SAA antibodies from NSJ Bioreagents are supplied for research use to support investigations in immunology, pathology, and inflammation biology.

Application Notes

Optimal dilution of the SAA antibody should be determined by the researcher.

1. The prediluted format is supplied in a dropper bottle and is optimized for use in IHC. After epitope retrieval step (if required), drip mAb solution onto the tissue section and incubate at RT for 30 min.

Immunogen

Recombinant human protein was used as the immunogen for the SAA antibody.

Storage

Store the SAA antibody at 2-8oC (with azide) or aliquot and store at -20oC or colder (without azide).

Cross
Bulk Quote Request Form
Name*:
Organization*:
Email*:
Phone Number*:
Catalog No.*:
Comments and Specifics(amount, formulation, etc.)*:
Validation code: Captchapackage Image


Can't read the image? click here to refresh.
    *required field

Your bulk quote request has been submitted successfully!

Please contact us if you have any questions.