• Tel: 858.663.9055
  • SeparatorEmail: info@nsjbio.com
  • Tel: 858.663.9055
  • Email: info@nsjbio.com
Home >> Antibodies >> S100G Antibody / Vitamin D-Regulated Calcium Binding Protein Antibody

S100G Antibody / Vitamin D-Regulated Calcium Binding Protein Antibody [clone S100G/7461] (V5341)

  Catalog No Formulation Size Price (USD)  
Image V5341-100UG 0.2 mg/ml in 1X PBS with 0.1 mg/ml BSA (US sourced), 0.05% sodium azide 100 ug 559
Image
V5341-20UG 0.2 mg/ml in 1X PBS with 0.1 mg/ml BSA (US sourced), 0.05% sodium azide 20 ug 259
Image
V5341SAF-100UG 1 mg/ml in 1X PBS; BSA free, sodium azide free 100 ug 559
Bulk quote request
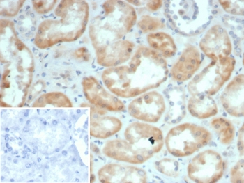
S100G Antibody Renal Tissue IHC. Immunohistochemistry analysis of S100 calcium binding protein G S100G expression in FFPE human kidney tissue using S100G antibody clone S100G/7461. Predominant cytoplasmic staining is observed in renal tubular epithelial cells, consistent with the role of Calbindin D9K as a vitamin D-regulated calcium-binding protein involved in calcium reabsorption, while glomerular structures and surrounding stroma show minimal staining. The negative control inset using PBS in place of primary antibody confirms specificity with absence of detectable signal. HIER: boil tissue sections in pH 9 10mM Tris with 1mM EDTA for 20 min and allow to cool before testing.
SDS-PAGE analysis of purified, BSA-free S100G antibody (clone S100G/7461) as confirmation of integrity and purity.
Availability 1-3 business days
Species Reactivity Human
Format Purified
Host Mouse
Clonality Monoclonal (mouse origin)
Isotype Mouse IgG2, kappa
Clone Name S100G/7461
Purity Protein A/G affinity
UniProt P29377
Localization Cytoplasm
Applications Immunohistochemistry (FFPE) : 1-2ug/ml for 30 min at RT
Limitations This S100G Antibody / Vitamin D-Regulated Calcium Binding Protein Antibody is available for research use only.
Review this product on BioCompare and get a $20 Amazon gift card

Related Products

Description

S100 calcium binding protein G (S100G) is a vitamin D-regulated calcium-binding protein encoded by the S100G gene and commonly referred to as Calbindin D9K, a critical mediator of hormone-driven calcium absorption in epithelial tissues. The S100G Antibody is used to study this protein, which is selectively expressed in tissues responsible for calcium handling, including intestinal enterocytes, renal distal tubules, and placental epithelium. Its tightly regulated expression and defined biological role make it a key component of endocrine control over calcium homeostasis.

S100G antibody, also referred to as Calbindin D9K antibody or vitamin D dependent calcium binding protein antibody, detects a member of the S100 protein family uniquely specialized for calcium transport rather than signaling or inflammation. Following activation of the vitamin D receptor pathway, transcription of S100G is upregulated, leading to increased intracellular calcium-binding capacity and enhanced transcellular calcium movement. This makes S100G an important molecular link between hormonal signaling and nutrient absorption efficiency.

At the functional level, S100G binds calcium ions via EF-hand domains and acts as a soluble intracellular shuttle that facilitates calcium movement from apical entry sites to basolateral export machinery. In intestinal epithelial cells, this supports dietary calcium uptake, while in kidney tissues it contributes to calcium reabsorption, helping to maintain stable circulating calcium levels. The protein’s buffering capacity also protects cells from calcium-induced stress, ensuring controlled intracellular calcium dynamics during periods of high transport activity.

Clone S100G/7461 antibody is designed to detect S100G expression in studies focused on vitamin D signaling and epithelial calcium regulation. Because S100G expression is highly responsive to hormonal cues, it serves as a sensitive marker for assessing vitamin D activity and downstream transcriptional responses. Its expression levels can reflect changes in metabolic state, dietary calcium availability, and endocrine function, making it particularly useful in studies of nutritional physiology and metabolic disease.

Subcellularly, S100G localizes to the cytoplasm, where it operates independently of major signaling complexes and instead functions as a dynamic calcium-binding reservoir. This distinguishes it from other calcium-binding proteins that participate directly in signaling cascades. Its relatively restricted expression pattern further enhances its specificity as a marker for calcium-absorbing epithelial cells, allowing for precise identification of functional cell populations in complex tissues.

Dysregulation of S100G has been associated with impaired calcium absorption and metabolic disorders such as osteoporosis and vitamin D deficiency. Its involvement in these conditions underscores its importance in maintaining mineral balance and skeletal health. This S100G Antibody supports research into hormone-regulated calcium transport, epithelial physiology, and the molecular mechanisms underlying calcium homeostasis.

This S100G antibody is part of a broader antibody panel offered by NSJ Bioreagents.

Application Notes

Optimal dilution of the S100G Antibody / Vitamin D-Regulated Calcium Binding Protein Antibody should be determined by the researcher.

Immunogen

A recombinant partial protein sequence (within amino acids 1-79) from the human protein was used as the immunogen for the S100G antibody.

Storage

Aliquot the S100G antibody and store frozen at -20oC or colder. Avoid repeated freeze-thaw cycles.

Alternate Names

S100G antibody, Calbindin D9K antibody, Vitamin D dependent calcium binding protein antibody, CABP9K antibody, Intestinal calcium binding protein antibody

Cross
Bulk Quote Request Form
Name*:
Organization*:
Email*:
Phone Number*:
Catalog No.*:
Comments and Specifics(amount, formulation, etc.)*:
Validation code: Captchapackage Image


Can't read the image? click here to refresh.
    *required field

Your bulk quote request has been submitted successfully!

Please contact us if you have any questions.