• Tel: 858.663.9055
  • SeparatorEmail: info@nsjbio.com
  • Tel: 858.663.9055
  • Email: info@nsjbio.com
Home >> Antibodies >> S100G Antibody / Calcium Transport and Absorption Marker Antibody

S100G Antibody / Calcium Transport and Absorption Marker Antibody [clone S100G/7462] (V5343)

  Catalog No Formulation Size Price (USD)  
Image V5343-100UG 0.2 mg/ml in 1X PBS with 0.1 mg/ml BSA (US sourced), 0.05% sodium azide 100 ug 559
Image
V5343-20UG 0.2 mg/ml in 1X PBS with 0.1 mg/ml BSA (US sourced), 0.05% sodium azide 20 ug 259
Image
V5343SAF-100UG 1 mg/ml in 1X PBS; BSA free, sodium azide free 100 ug 559
Bulk quote request
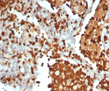
S100G Antibody Lung Tissue IHC. Immunohistochemistry analysis of S100 calcium binding protein G S100G expression in FFPE human lung tissue using S100G antibody clone S100G/7462. Cytoplasmic staining is observed in epithelial cell populations, consistent with the role of Calbindin D9K in calcium transport and absorption, while surrounding stromal cells show minimal signal. HIER: boil tissue sections in pH 9 10mM Tris with 1mM EDTA for 20 min and allow to cool before testing.
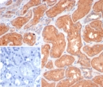
S100G Antibody Kidney Tissue IHC. Immunohistochemistry analysis of S100 calcium binding protein G S100G expression in FFPE human kidney tissue using S100G antibody clone S100G/7462. Strong cytoplasmic staining is observed in renal tubular epithelial cells, consistent with the role of Calbindin D9K in calcium reabsorption, while glomerular and interstitial regions show minimal signal. The negative control inset using PBS in place of primary antibody confirms staining specificity with absence of detectable signal. HIER: boil tissue sections in pH 9 10mM Tris with 1mM EDTA for 20 min and allow to cool before testing.
SDS-PAGE analysis of purified, BSA-free S100G antibody (clone S100G/7462) as confirmation of integrity and purity.
Availability 1-3 business days
Species Reactivity Human
Format Purified
Host Mouse
Clonality Monoclonal (mouse origin)
Isotype Mouse IgG2, kappa
Clone Name S100G/7462
Purity Protein A/G affinity
UniProt P29377
Localization Cytoplasm
Applications Immunohistochemistry (FFPE) : 1-2ug/ml for 30 min at RT
Limitations This S100G Antibody / Calcium Transport and Absorption Marker Antibody is available for research use only.
Review this product on BioCompare and get a $20 Amazon gift card

Related Products

Description

S100 calcium binding protein G (S100G) is a small cytoplasmic calcium-binding protein encoded by the S100G gene and widely known as Calbindin D9K, a specialized regulator of transcellular calcium transport in epithelial tissues. The S100G Antibody is used to study this protein, which is highly enriched in absorptive epithelia such as the small intestine, renal distal tubules, and placenta, where tightly controlled calcium flux is required for systemic mineral balance and skeletal integrity. S100G belongs to the S100 family of EF-hand calcium-binding proteins but is functionally distinct due to its dedicated role in calcium buffering and transport rather than inflammatory or cytoskeletal signaling.

S100G antibody, also known as Calbindin D9K antibody or calcium binding protein intestinal antibody, recognizes a protein that operates as a high-affinity intracellular calcium carrier. Upon calcium entry through apical channels such as TRPV6 in enterocytes, S100G binds calcium ions and facilitates their diffusion across the cytoplasm toward basolateral export systems including plasma membrane Ca2+-ATPases and sodium-calcium exchangers. This process supports efficient dietary calcium absorption and prevents cytotoxic accumulation of free intracellular calcium, making S100G essential for epithelial calcium handling under both basal and stimulated conditions.

Expression of S100G is strongly induced by active vitamin D signaling through the vitamin D receptor, positioning it as a key downstream effector of endocrine regulation of calcium metabolism. In intestinal tissues, S100G expression correlates with enhanced calcium uptake, while in kidney tissues it contributes to calcium reabsorption in distal nephron segments. This hormone-responsive expression pattern makes S100G a valuable marker for studying vitamin D-dependent pathways, nutrient absorption, and mineral homeostasis in both physiological and disease contexts.

Clone S100G/7462 antibody is designed to detect S100G expression in research applications focused on epithelial function and calcium transport biology. The restricted tissue distribution of S100G enhances its utility as a marker for absorptive epithelial cell populations, particularly in gastrointestinal and renal systems. Its consistent cytoplasmic localization provides clear detection of calcium-transporting cells, supporting studies of epithelial differentiation, functional zonation, and hormone-responsive gene expression.

Structurally, S100G contains two EF-hand calcium-binding motifs that enable reversible calcium binding without triggering downstream signaling cascades. Unlike other S100 proteins that interact with cytoskeletal or transcriptional targets, S100G primarily functions as a mobile calcium buffer, maintaining intracellular calcium gradients during active transport. It may also interact transiently with transport-associated proteins to facilitate directional calcium movement, further reinforcing its role in epithelial calcium handling.

Altered S100G expression has been associated with disorders of calcium absorption, including osteoporosis, vitamin D deficiency, and intestinal malabsorption syndromes. Its role in mineral metabolism also links it to broader physiological processes such as bone remodeling and endocrine regulation. This S100G Antibody supports detailed investigation of calcium transport mechanisms, epithelial physiology, and hormone-regulated pathways central to maintaining systemic calcium balance.

This S100G antibody is part of a broader antibody panel offered by NSJ Bioreagents.

Application Notes

Optimal dilution of the S100G Antibody / Calcium Transport and Absorption Marker Antibody should be determined by the researcher.

Immunogen

Recombinant full-length human S100G protein was used as the immunogen for the S100G antibody.

Storage

Aliquot the S100G antibody and store frozen at -20oC or colder. Avoid repeated freeze-thaw cycles.

Alternate Names

S100G antibody, Calbindin D9K antibody, Calcium binding protein intestinal antibody, CABP9K antibody, S100 calcium binding protein G antibody

Cross
Bulk Quote Request Form
Name*:
Organization*:
Email*:
Phone Number*:
Catalog No.*:
Comments and Specifics(amount, formulation, etc.)*:
Validation code: Captchapackage Image


Can't read the image? click here to refresh.
    *required field

Your bulk quote request has been submitted successfully!

Please contact us if you have any questions.