• Tel: 858.663.9055
  • SeparatorEmail: info@nsjbio.com
  • Tel: 858.663.9055
  • Email: info@nsjbio.com
Home >> Antibodies >> S100B Antibody / Brain Injury Biomarker

S100B Antibody / Brain Injury Biomarker [clone S100B/4152] (V4847)

  Catalog No Formulation Size Price (USD)  
Image V4847-100UG 0.2 mg/ml in 1X PBS with 0.1 mg/ml BSA (US sourced), 0.05% sodium azide 100 ug 559
Image
V4847-20UG 0.2 mg/ml in 1X PBS with 0.1 mg/ml BSA (US sourced), 0.05% sodium azide 20 ug 259
Image
V4847SAF-100UG 1 mg/ml in 1X PBS; BSA free, sodium azide free 100 ug 559
Microvalidated
Bulk quote request
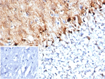
Immunohistochemistry analysis of S100B / Brain Injury Biomarker antibody (clone S100B/4152) in human brain tissue. FFPE human brain demonstrates strong cytoplasmic and nuclear HRP-DAB brown staining in astrocyte-like cells distributed throughout the parenchyma, consistent with S100B expression. Staining highlights cells with branching processes characteristic of astroglial morphology, while neuronal cell bodies show comparatively weaker signal. Nuclei are counterstained blue. The inset image represents a secondary antibody negative control in which PBS was used in place of the primary antibody and shows absence of specific staining. Heat induced epitope retrieval was performed by boiling tissue sections in 10 mM Tris with 1 mM EDTA, pH 9.0, for 20 minutes followed by cooling prior to immunostaining.
SDS-PAGE analysis of purified, BSA-free S100B/Brain Injury Biomarker antibody (clone S100B/4152) as confirmation of integrity and purity.
Analysis of a HuProt(TM) microarray containing more than 19,000 full-length human proteins using S100B/Brain Injury Biomarker antibody (clone S100B/4152). Z- and S- Score: The Z-score represents the strength of a signal that a monoclonal antibody (in combination with a fluorescently-tagged anti-IgG secondary antibody) produces when binding to a particular protein on the HuProt(TM) array. Z-scores are described in units of standard deviations (SD's) above the mean value of all signals generated on that array. If targets on HuProt(TM) are arranged in descending order of the Z-score, the S-score is the difference (also in units of SD's) between the Z-score. S-score therefore represents the relative target specificity of a mAb to its intended target. A mAb is considered to be specific to its intended target, if the mAb has an S-score of at least 2.5. For example, if a mAb binds to protein X with a Z-score of 43 and to protein Y with a Z-score of 14, then the S-score for the binding of that mAb to protein X is equal to 29.
Availability 1-3 business days
Species Reactivity Human
Format Purified
Host Mouse
Clonality Monoclonal (mouse origin)
Isotype Mouse IgG1, kappa
Clone Name S100B/4152
Purity Protein A/G affinity
UniProt P04271
Localization Cytoplasm
Applications Immunohistochemistry (FFPE) : 1-2ug/ml for 30 min at RT
Limitations This S100B/Brain Injury Biomarker antibody is available for research use only.
Review this product on BioCompare and get a $20 Amazon gift card

Related Products

Description

S100B antibody, also known as Brain Injury Biomarker antibody, recognizes S100 calcium-binding protein B, a small EF-hand calcium-binding protein encoded by the human S100B gene located on chromosome 21q22.3. S100 calcium-binding protein B is highly enriched in astrocytes within the central nervous system and is predominantly localized to the cytoplasm and nucleus under physiological conditions. S100B antibody targets a protein widely investigated as a biomarker of traumatic brain injury, ischemic damage, and neurodegenerative disorders due to its regulated expression and release following neural stress or injury.

Intracellularly, S100 calcium-binding protein B functions as a calcium sensor that undergoes conformational change upon calcium binding, enabling interaction with multiple target proteins involved in cytoskeletal organization, enzyme regulation, and transcriptional control. Through these interactions, S100B influences cellular proliferation, differentiation, and stress response pathways in astrocytes and other glial cells. Its expression is closely associated with astrocyte activation and reactive gliosis, processes that occur in response to injury, inflammation, or degenerative pathology within the brain.

Following neural damage, blood-brain barrier disruption, or astrocyte activation, S100B can be released into extracellular fluids, including cerebrospinal fluid and blood. Elevated extracellular S100B levels have been correlated with glial injury, tissue damage severity, and inflammatory responses in various central nervous system conditions. Extracellular S100B may interact with the receptor for advanced glycation end products, activating downstream signaling pathways that influence immune cell recruitment, cytokine production, and neuroinflammatory processes. Depending on concentration and context, S100B signaling can contribute to either neuroprotective or neurotoxic effects.

As a Brain Injury Biomarker antibody, S100B is used in research examining astrocyte activation, neuroinflammation, and central nervous system pathology. Evaluation of S100B expression supports studies of acute traumatic brain injury, stroke, and chronic neurodegenerative diseases such as Alzheimer disease and Parkinson disease. By enabling detection of S100 calcium-binding protein B in tissue sections and experimental models, S100B antibody contributes to investigations of glial biology, injury response mechanisms, and development of neuroprotective therapeutic strategies.

Application Notes

Optimal dilution of the S100B/Brain Injury Biomarker antibody should be determined by the researcher.

Immunogen

A recombinant partial protein sequence (within amino acids 1-92) from the human protein was used as the immunogen for the S100B/Brain Injury Biomarker antibody.

Storage

Aliquot the S100B/Brain Injury Biomarker antibody and store frozen at -20oC or colder. Avoid repeated freeze-thaw cycles.

Cross
Bulk Quote Request Form
Name*:
Organization*:
Email*:
Phone Number*:
Catalog No.*:
Comments and Specifics(amount, formulation, etc.)*:
Validation code: Captchapackage Image


Can't read the image? click here to refresh.
    *required field

Your bulk quote request has been submitted successfully!

Please contact us if you have any questions.