• Tel: 858.663.9055
  • SeparatorEmail: info@nsjbio.com
  • Tel: 858.663.9055
  • Email: info@nsjbio.com
Home >> Antibodies >> S100A7 Antibody / Psoriasin

S100A7 Antibody / Psoriasin (F43261)

  Catalog No Formulation Size Price (USD)  
Image F43261-0.4ML In 1X PBS, pH 7.4, with 0.09% sodium azide 0.4 ml 439
Image
F43261-0.08ML In 1X PBS, pH 7.4, with 0.09% sodium azide 0.08 ml 205
Bulk quote request
S100A7 antibody western blot analysis in NCI-H292 lysate. Predicted molecular weight: 11-13 kDa.
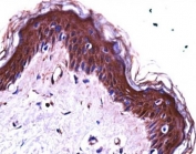
S100A7 antibody immunohistochemistry analysis in formalin fixed and paraffin embedded human skin tissue.
Availability 1-3 business days
Species Reactivity Human
Format Antigen affinity purified
Host Rabbit
Clonality Polyclonal (rabbit origin)
Isotype Rabbit Ig
Purity Antigen affinity
UniProt P31151
Localization Cytoplasmic, secreted
Applications Western Blot : 1:1000
IHC (Paraffin) : 1:10-1:50
Limitations This S100A7 antibody is available for research use only.
Review this product on BioCompare and get a $20 Amazon gift card

Related Products

  • Applications : WB, IHC-P, IF/ICC, FACS, ELISA
    Reactivity : Human, Mouse, Rat

Description

The protein encoded by this gene is a member of the S100 family of proteins containing 2 EF-hand calcium-binding motifs. S100 proteins are localized in the cytoplasm and/or nucleus of a wide range of cells, and involved in the regulation of a number of cellular processes such as cell cycle progression and differentiation. S100 genes include at least 13 members which are located as a cluster on chromosome 1q21. This protein differs from the other S100 proteins of known structure in its lack of calcium binding ability in one EF-hand at the N-terminus. This protein is markedly over-expressed in the skin lesions of psoriatic patients, but is excluded as a candidate gene for familial psoriasis susceptibility. The exact function of this protein is not known.

Application Notes

Titration of the S100A7 antibody may be required due to differences in protocols and secondary/substrate sensitivity.

Immunogen

A portion of amino acids 2-31 from the human protein was used as the immunogen for this S100A7 antibody.

Storage

Aliquot the S100A7 antibody and store frozen at -20oC or colder. Avoid repeated freeze-thaw cycles.

Cross
Bulk Quote Request Form
Name*:
Organization*:
Email*:
Phone Number*:
Catalog No.*:
Comments and Specifics(amount, formulation, etc.)*:
Validation code: Captchapackage Image


Can't read the image? click here to refresh.
    *required field

Your bulk quote request has been submitted successfully!

Please contact us if you have any questions.