• Tel: 858.663.9055
  • SeparatorEmail: info@nsjbio.com
  • Tel: 858.663.9055
  • Email: info@nsjbio.com
Home >> Antibodies >> S100A4 Antibody / S100 calcium-binding protein A4

S100A4 Antibody / S100 calcium-binding protein A4 [clone S100A4/6802] (V5789)

  Catalog No Formulation Size Price (USD)  
Image V5789-100UG 0.2 mg/ml in 1X PBS with 0.1 mg/ml BSA (US sourced), 0.05% sodium azide 100 ug 559
Image
V5789-20UG 0.2 mg/ml in 1X PBS with 0.1 mg/ml BSA (US sourced), 0.05% sodium azide 20 ug 259
Image
V5789SAF-100UG 1 mg/ml in 1X PBS; BSA free, sodium azide free 100 ug 559
Microvalidated
Bulk quote request
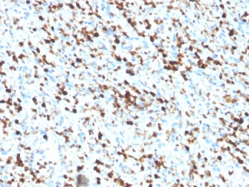
IHC staining of FFPE human spleen tissue with S100A4 antibody (clone S100A4/6802). Inset: PBS used in place of primary Ab (secondary Ab negative control). HIER: boil tissue sections in pH 9 10mM Tris with 1mM EDTA for 20 min and allow to cool before testing.
Western blot testing of human HeLa cell lysate with S100A4 antibody. Predicted molecular weight ~12 kDa.
Analysis of HuProt(TM) microarray containing more than 19,000 full-length human proteins using S100A4 antibody (clone S100A4/6802). These results demonstrate the foremost specificity of the S100A4/6802 mAb. Z- and S- score: The Z-score represents the strength of a signal that an antibody (in combination with a fluorescently-tagged anti-IgG secondary Ab) produces when binding to a particular protein on the HuProt(TM) array. Z-scores are described in units of standard deviations (SD's) above the mean value of all signals generated on that array. If the targets on the HuProt(TM) are arranged in descending order of the Z-score, the S-score is the difference (also in units of SD's) between the Z-scores. The S-score therefore represents the relative target specificity of an Ab to its intended target.
SDS-PAGE analysis of purified, BSA-free S100A4 antibody (clone S100A4/6802) as confirmation of integrity and purity.
Availability 1-3 business days
Species Reactivity Human
Format Purified
Host Mouse
Clonality Monoclonal (mouse origin)
Isotype Mouse IgG1, kappa
Clone Name S100A4/6802
Purity Protein G affinity
UniProt P26447
Localization Cytoplasm, Nucleus
Applications Immunohistochemistry (FFPE) : 1-2ug/ml
Western Blot : 2-4ug/ml
Limitations This S100A4 antibody is available for research use only.
Review this product on BioCompare and get a $20 Amazon gift card

Related Products

Description

S100A4 belongs to the S100 super-family of proteins containing 2 EF-hand calcium-binding domains. S100 genes include at least 25 members, including S100A1-S100A18, trichohyalin, filaggrin, repetin, S100P, and S100Z. S100A4 exerts its function via direct interaction with a number of proteins including P53, P63, non-muscle myosin IIA, α6β4 integrin, and liprin b1. S100A4 is overexpressed in highly metastatic cancers, which makes it useful as a marker of tumor progression.

Application Notes

Optimal dilution of the S100A4 antibody should be determined by the researcher.

Immunogen

A portion of amino acids 1-101 from human S100A4 protein was used as the immunogen for the S100A4 antibody.

Storage

Aliquot the S100A4 antibody and store frozen at -20oC or colder. Avoid repeated freeze-thaw cycles.

Cross
Bulk Quote Request Form
Name*:
Organization*:
Email*:
Phone Number*:
Catalog No.*:
Comments and Specifics(amount, formulation, etc.)*:
Validation code: Captchapackage Image


Can't read the image? click here to refresh.
    *required field

Your bulk quote request has been submitted successfully!

Please contact us if you have any questions.