• Tel: 858.663.9055
  • SeparatorEmail: info@nsjbio.com
  • Tel: 858.663.9055
  • Email: info@nsjbio.com
Home >> Antibodies >> S100A2 Antibody / S100 Calcium Binding Protein A2

S100A2 Antibody / S100 Calcium Binding Protein A2 [clone S100A2/6925] (V4726)

  Catalog No Formulation Size Price (USD)  
Image V4726-100UG 0.2 mg/ml in 1X PBS with 0.1 mg/ml BSA (US sourced), 0.05% sodium azide 100 ug 559
Image
V4726-20UG 0.2 mg/ml in 1X PBS with 0.1 mg/ml BSA (US sourced), 0.05% sodium azide 20 ug 259
Image
V4726SAF-100UG 1 mg/ml in 1X PBS; BSA free, sodium azide free 100 ug 559
Bulk quote request
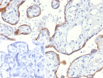
IHC staining of FFPE human placental tissue with S100A2 antibody (clone S100A2/6925). Inset: PBS used in place of primary Ab (secondary Ab negative control). HIER: boil tissue sections in pH 9 10mM Tris with 1mM EDTA for 20 min and allow to cool before testing.
IHC staining of FFPE human cervix tissue with S100A2 antibody (clone S100A2/6925). HIER: boil tissue sections in pH 9 10mM Tris with 1mM EDTA for 20 min and allow to cool before testing.
SDS-PAGE analysis of purified, BSA-free S100A2 antibody (clone S100A2/6925) as confirmation of integrity and purity.
Availability 1-3 business days
Species Reactivity Human
Format Purified
Host Mouse
Clonality Monoclonal (mouse origin)
Isotype Mouse IgG2b, kappa
Clone Name S100A2/6925
Purity Protein A/G affinity
UniProt P29034
Localization Nucleus, Cytoplasm
Applications Immunohistochemistry (FFPE) : 1-2ug/ml for 30 min at RT
Limitations This S100A2 antibody is available for research use only.
Review this product on BioCompare and get a $20 Amazon gift card

Related Products

Description

S100A2 belongs to the S100 family of proteins containing 2 EF-hand calcium-binding motifs. S100A2 may function as a modulator against excess calcium accumulation in normal human mammary epithelial cells and also have a role in suppressing tumor cell growth. This protein may have a tumor suppressor function. Chromosomal rearrangements and altered expression of this gene have been implicated in breast cancer. Cytoplasmic overexpression may also be of prognostic significance when observed in oral cancer patients, and the S100A2 has also been identified as significantly down regulated in gastric cancer.

Application Notes

Optimal dilution of the S100A2 antibody should be determined by the researcher.

Immunogen

Recombinant full-length human protein was used as the immunogen for the S100A2 antibody.

Storage

Aliquot the S100A2 antibody and store frozen at -20oC or colder. Avoid repeated freeze-thaw cycles.

Cross
Bulk Quote Request Form
Name*:
Organization*:
Email*:
Phone Number*:
Catalog No.*:
Comments and Specifics(amount, formulation, etc.)*:
Validation code: Captchapackage Image


Can't read the image? click here to refresh.
    *required field

Your bulk quote request has been submitted successfully!

Please contact us if you have any questions.