• Tel: 858.663.9055
  • SeparatorEmail: info@nsjbio.com
  • Tel: 858.663.9055
  • Email: info@nsjbio.com
Home >> Antibodies >> S100A12 Antibody Rabbit Polyclonal / Calgranulin C Antibody

S100A12 Antibody Rabbit Polyclonal / Calgranulin C Antibody (RQ8717)

  Catalog No Formulation Size Price (USD)  
Image RQ8717 0.5mg/ml if reconstituted with 0.2ml sterile DI water 100 ug 449
Bulk quote request
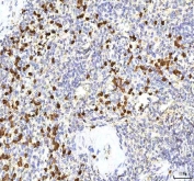
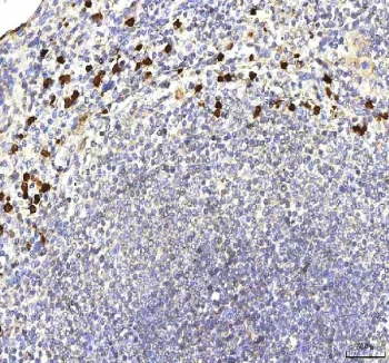
S100A12 Antibody Rabbit Polyclonal in human spleen tissue. Immunohistochemistry staining of FFPE human spleen demonstrates cytoplasmic staining in scattered inflammatory cells consistent with the known expression pattern of S100 calcium binding protein A12 / S100A12 in neutrophils and other myeloid-derived cells. Brown chromogenic signal highlights S100A12-positive inflammatory cells within splenic tissue while surrounding lymphoid cells remain largely negative. Heat-induced epitope retrieval was performed by boiling tissue sections in pH 8 EDTA buffer for 20 min before staining.
S100A12 Antibody Rabbit Polyclonal in human spleen tissue. Immunohistochemistry staining of FFPE human spleen demonstrates cytoplasmic staining in numerous scattered inflammatory cells consistent with the known expression of S100 calcium binding protein A12 / S100A12 in neutrophils and other myeloid-derived cells. Brown chromogenic signal highlights S100A12-positive inflammatory cells within splenic tissue while surrounding lymphoid populations remain largely negative. Heat-induced epitope retrieval was performed by boiling tissue sections in pH 8 EDTA buffer for 20 min before staining.
IHC staining of FFPE human spleen tissue with rabbit polyclonal S100A12 antibody. HIER: boil tissue sections in pH8 EDTA for 20 min and allow to cool before testing.
Availability 1-3 days
Species Reactivity Human
Format Antigen affinity purified
Host Rabbit
Clonality Polyclonal (rabbit origin)
Isotype Rabbit IgG
Purity Antigen affinity chromatography
Buffer Lyophilized from 1X PBS with 2% Trehalose
UniProt P80511
Applications Immunohistochemistry (FFPE) : 2-5ug/ml
Limitations This S100A12 antibody is available for research use only.
Review this product on BioCompare and get a $20 Amazon gift card

Related Products

Description

S100 calcium binding protein A12 (S100A12) is a member of the S100 family of EF-hand calcium-binding proteins encoded by the S100A12 gene and expressed predominantly by neutrophils and activated myeloid cells. S100A12 Antibody Rabbit Polyclonal recognizes S100A12 protein and supports research investigating inflammatory cell biology, innate immune signaling, and leukocyte-mediated immune responses in tissues. S100A12 is also widely known as Calgranulin C and EN-RAGE (extracellular newly identified RAGE-binding protein), reflecting its role as a pro-inflammatory mediator released by activated neutrophils.

S100A12 participates in inflammatory signaling through interactions with receptors such as the receptor for advanced glycation end products (RAGE). Binding of S100A12 to RAGE can activate downstream pathways associated with cytokine production, leukocyte recruitment, and endothelial activation. Because of these functions, S100A12 has been widely studied in inflammatory disorders, autoimmune diseases, and chronic inflammatory conditions in which neutrophil activation and innate immune signaling play central roles.

Expression of S100A12 is highly enriched in neutrophils and granulocytes and is commonly associated with inflammatory cell infiltration in tissues. In histological samples, S100A12 protein is typically localized within the cytoplasm of neutrophils and other myeloid-derived inflammatory cells. These staining patterns allow researchers to identify infiltrating inflammatory cells and evaluate immune cell distribution within tissue microenvironments. Detection of S100A12 is therefore frequently used to study neutrophil-associated inflammation and inflammatory cell recruitment in disease processes.

A rabbit polyclonal antibody directed against S100A12 protein supports detection of Calgranulin C expression in research applications. The rabbit polyclonal S100A12 antibody enables investigators to evaluate inflammatory cell localization, examine neutrophil-associated signaling pathways, and study the biological role of S100A12 in innate immune responses and inflammatory disease mechanisms.

Application Notes

Optimal dilution of the S100A12 Antibody Rabbit Polyclonal should be determined by the researcher.

Immunogen

A synthetic peptide from the C-terminus of human S100A12 was used as the immunogen for the S100A12 antibody.

Storage

After reconstitution, the S100A12 antibody can be stored for up to one month at 4oC. For long-term, aliquot and store at -20oC. Avoid repeated freezing and thawing.

Alternate Names

Calgranulin C antibody, EN-RAGE antibody, S100 calcium binding protein A12 antibody, S100A12 protein antibody

Cross
Bulk Quote Request Form
Name*:
Organization*:
Email*:
Phone Number*:
Catalog No.*:
Comments and Specifics(amount, formulation, etc.)*:
Validation code: Captchapackage Image


Can't read the image? click here to refresh.
    *required field

Your bulk quote request has been submitted successfully!

Please contact us if you have any questions.