• Tel: 858.663.9055
  • SeparatorEmail: info@nsjbio.com
  • Tel: 858.663.9055
  • Email: info@nsjbio.com
Home >> Antibodies >> S100A11 Antibody / S100 calcium binding protein A11

S100A11 Antibody / S100 calcium binding protein A11 [clone S100A11/7393] (V4732)

  Catalog No Formulation Size Price (USD)  
Image V4732-100UG 0.2 mg/ml in 1X PBS with 0.1 mg/ml BSA (US sourced), 0.05% sodium azide 100 ug 559
Image
V4732-20UG 0.2 mg/ml in 1X PBS with 0.1 mg/ml BSA (US sourced), 0.05% sodium azide 20 ug 259
Image
V4732SAF-100UG 1 mg/ml in 1X PBS; BSA free, sodium azide free 100 ug 559
Bulk quote request
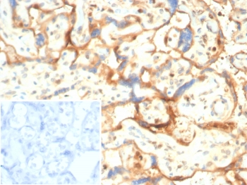
IHC staining of FFPE human placental tissue with S100A11 antibody (clone S100A11/7393). Inset: PBS used in place of primary Ab (secondary Ab negative control). HIER: boil tissue sections in pH 9 10mM Tris with 1mM EDTA for 20 min and allow to cool before testing.
Availability 1-3 business days
Species Reactivity Human
Format Purified
Host Mouse
Clonality Monoclonal (mouse origin)
Isotype Mouse IgG1, kappa
Clone Name S100A11/7393
Purity Protein A/G affinity
UniProt P31949
Localization Cytoplasm, Nucleus
Applications Immunohistochemistry (FFPE) : 1-2ug/ml for 30 min at RT
Limitations This S100A11 antibody is available for research use only.
Review this product on BioCompare and get a $20 Amazon gift card

Related Products

Description

S100A11 is a Ca2+-binding protein of the S100 family. The proteins comprising the S-100 protein family have two EF-hand structures per molecule of protein. Expression of these family members occurs primarily in neurons or retinal photoreceptor cells, and may also be involved in a wide variety of cellular functions including cell growth, cell-cell communication, energy metabolism and intracellular signal transduction. They have also been linked to various pathologies, including Alzheimer s disease, schizophrenia and cancer. S100A11 is highly expressed in lung tissue and is also expressed in kidney, liver, brain, heart and smooth muscle. It is an important androgen-responsive protein produced by Sertoli cells and might play a role in spermatogenesis regulation.

Application Notes

Optimal dilution of the S100A11 antibody should be determined by the researcher.

Immunogen

Recombinant full-length human S100A11 protein was used as the immunogen for the S100A11 antibody.

Storage

Aliquot the S100A11 antibody and store frozen at -20oC or colder. Avoid repeated freeze-thaw cycles.

Cross
Bulk Quote Request Form
Name*:
Organization*:
Email*:
Phone Number*:
Catalog No.*:
Comments and Specifics(amount, formulation, etc.)*:
Validation code: Captchapackage Image


Can't read the image? click here to refresh.
    *required field

Your bulk quote request has been submitted successfully!

Please contact us if you have any questions.