• Tel: 858.663.9055
  • SeparatorEmail: info@nsjbio.com
  • Tel: 858.663.9055
  • Email: info@nsjbio.com
Home >> Antibodies >> S100 calcium binding protein A5 Antibody / S100A5

S100 calcium binding protein A5 Antibody / S100A5 [clone S100A5/7475] (V4729)

  Catalog No Formulation Size Price (USD)  
Image V4729-100UG 0.2 mg/ml in 1X PBS with 0.1 mg/ml BSA (US sourced), 0.05% sodium azide 100 ug 559
Image
V4729-20UG 0.2 mg/ml in 1X PBS with 0.1 mg/ml BSA (US sourced), 0.05% sodium azide 20 ug 259
Image
V4729SAF-100UG 1 mg/ml in 1X PBS; BSA free, sodium azide free 100 ug 559
Bulk quote request
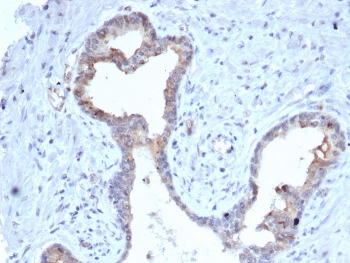
IHC staining of FFPE human prostate tissue with S100 calcium binding protein A5 antibody (clone S100A5/7475). HIER: boil tissue sections in pH 9 10mM Tris with 1mM EDTA for 20 min and allow to cool before testing.
SDS-PAGE analysis of purified, BSA-free S100 calcium binding protein A5 antibody (clone S100A5/7475) as confirmation of integrity and purity.
Availability 1-3 business days
Species Reactivity Human
Format Purified
Host Mouse
Clonality Monoclonal (mouse origin)
Isotype Mouse IgG2a, kappa
Clone Name S100A5/7475
Purity Protein A/G affinity
UniProt P33763
Localization Nucleus, Cytoplasm
Applications Immunohistochemistry (FFPE) : 1-2ug/ml for 30 min at RT
Limitations This S100 calcium binding protein A5 antibody is available for research use only.
Review this product on BioCompare and get a $20 Amazon gift card

Related Products

Description

The S-100 proteins are small calcium-binding proteins which display different expression patterns in human tissues. Some S-100 proteins are associated with tumor development and the metastatic behavior of tumors. S-100A5 (S100 calcium binding protein A5) is a 92 amino acid protein that belongs to the S-100 family. Containing two EF-hand domains, S-100A5 binds calcium, zinc and copper. One subunit can simultaneously bind two calcium ions or two copper ions plus one zinc ion. Calcium and copper ions compete for the same binding sites on the S-100A5 protein. The S-100A5 protein is expressed in very restricted regions of the adult brain. The S-100A5 gene is conserved in chimpanzee, dog, cow, mouse and rat, and maps to human chromosome 1q21.3. S100 genes include at least 13 members which are located as a cluster on chromosome 1q21. Due to the clustered organization of the S-100 proteins a new logical nomenclature based on their physical arrangement on the chromosome has been described, with S-100A1 being closest to the telomere and S-100A9 being closest to the centromere.

Application Notes

Optimal dilution of the S100 calcium binding protein A5 antibody should be determined by the researcher.

Immunogen

A recombinant partial protein sequence (within amino acids 1-92) from the human protein was used as the immunogen for the S100 calcium binding protein A5 antibody.

Storage

Aliquot the S100 calcium binding protein A5 antibody and store frozen at -20oC or colder. Avoid repeated freeze-thaw cycles.

Cross
Bulk Quote Request Form
Name*:
Organization*:
Email*:
Phone Number*:
Catalog No.*:
Comments and Specifics(amount, formulation, etc.)*:
Validation code: Captchapackage Image


Can't read the image? click here to refresh.
    *required field

Your bulk quote request has been submitted successfully!

Please contact us if you have any questions.