• Tel: 858.663.9055
  • SeparatorEmail: info@nsjbio.com
  • Tel: 858.663.9055
  • Email: info@nsjbio.com
Home >> Antibodies >> RYK Antibody / Tyrosine-protein kinase RYK

RYK Antibody / Tyrosine-protein kinase RYK (FY13004)

  Catalog No Formulation Size Price (USD)  
Image FY13004 Adding 0.2 ml of distilled water will yield a concentration of 500 ug/ml 100 ug 449
Bulk quote request
Flow Cytometry analysis of MCF-7 cells using anti-RYK antibody. Overlay histogram showing MCF-7 cells stained with (Blue line). To facilitate intracellular staining, cells were fixed with 4% paraformaldehyde and permeabilized with permeabilization buffer. The cells were blocked with 10% normal goat serum. And then incubated with rabbit anti-RYK antibody (1 ug/million cells) for 30 min at 20oC. DyLight 488 conjugated goat anti-rabbit IgG (5-10 ug/million cells) was used as secondary antibody for 30 minutes at 20oC. Isotype control antibody (Green line) was rabbit IgG (1 ug/million cells) used under the same conditions. Unlabelled sample without incubation with primary antibody and secondary antibody (Red line) was used as a blank control.
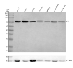
Western blot analysis of RYK using anti-RYK antibody. Electrophoresis was performed on a 10% SDS-PAGE gel at 80V (Stacking gel) / 120V (Resolving gel) for 2 hours. Lane 1: human MCF-7 whole cell lysates, Lane 2: human whole cell lysates, Lane 3: human Jurkat whole cell lysates, Lane 4: rat ovary tissue lysates, Lane 5: rat lung tissue lysates, Lane 6: mouse ovary tissue lysates, Lane 7: mouse lung tissue lysates. After electrophoresis, proteins were transferred to a nitrocellulose membrane at 150 mA for 50-90 minutes. Blocked the membrane with 5% non-fat milk/TBS for 1.5 hour at RT. The membrane was incubated with rabbit anti-RYK antibody at 0.5 ug/ml overnight at 4oC, then washed with TBS-0.1%Tween 3 times with 5 minutes each and probed with a goat anti-rabbit IgG-HRP secondary antibody at a dilution of 1:5000 for 1.5 hour at RT. The signal was developed using an ECL Plus Western Blotting Substrate. The expected molecular weight of RYK is ~68 kDa.
Availability 1-2 days
Species Reactivity Human, Mouse, Rat
Format Lyophilized
Host Rabbit
Clonality Polyclonal (rabbit origin)
Isotype Rabbit IgG
Purity Immunogen affinity purified
Buffer Each vial contains 4 mg Trehalose, 0.9 mg NaCl, 0.2 mg Na2HPO4.
UniProt P34925
Applications Western Blot : 0.25-0.5ug/ml
Flow Cytometry : 1-3ug/million cells
ELISA : 0.1-0.5ug/ml
Limitations This RYK antibody is available for research use only.
Review this product on BioCompare and get a $20 Amazon gift card

Related Products

  • Applications : WB, IHC-P
    Reactivity : Human, Mouse

Description

RYK antibody detects Tyrosine-protein kinase RYK, an atypical receptor tyrosine kinase that mediates Wnt signaling during neural development and tissue morphogenesis. The UniProt recommended name is Tyrosine-protein kinase RYK (RYK). Unlike conventional kinases, RYK possesses a catalytically inactive kinase domain but functions as a receptor and co-receptor for Wnt family ligands, influencing cellular polarity and differentiation.

Functionally, RYK antibody identifies a 604-amino-acid single-pass transmembrane receptor that binds Wnt proteins through its extracellular WIF (Wnt inhibitory factor) domain. Upon ligand binding, RYK cooperates with Frizzled receptors to activate non-canonical Wnt signaling pathways such as planar cell polarity and calcium flux regulation. This signaling guides axon pathfinding, neuronal connectivity, and tissue patterning during embryogenesis.

The RYK gene is located on chromosome 3q22.1 and encodes a receptor expressed in developing brain, spinal cord, and epithelial tissues. Although structurally related to receptor tyrosine kinases, its kinase domain lacks catalytic residues, functioning instead as a scaffolding site for adaptor proteins and kinases that propagate downstream signals. RYK influences Wnt-dependent activation of Dishevelled, JNK, and Rho family GTPases, affecting cytoskeletal organization and migration.

In the nervous system, RYK is essential for axonal guidance, dendritic growth, and synaptic remodeling. Loss of RYK function disrupts neuronal wiring and corticospinal tract formation. In epithelial tissues, RYK contributes to planar cell polarity and branching morphogenesis. Aberrant RYK signaling has been associated with cancer, fibrosis, and neurodevelopmental disorders. Overexpression of RYK in tumors promotes invasive growth by modulating cell adhesion and Wnt-dependent transcriptional programs.

RYK antibody is widely used in developmental biology, neurobiology, and signaling research. It is suitable for immunoblotting, immunofluorescence, and receptor binding studies to detect RYK expression and localization at the plasma membrane. In neuroscience, this antibody supports studies of Wnt receptor composition and axon guidance. In cancer research, RYK detection helps characterize Wnt-driven signaling and invasive phenotypes.

Structurally, RYK features an extracellular WIF domain that binds Wnt ligands, a single transmembrane helix, and an intracellular pseudokinase domain that serves as a docking platform for signaling complexes. Its signaling capacity depends on proteolytic cleavage and release of the intracellular domain, which can translocate to the nucleus and modulate gene transcription. NSJ Bioreagents provides RYK antibody reagents validated for use in Wnt signaling, receptor biology, and neurodevelopmental research.

Application Notes

Optimal dilution of the RYK antibody should be determined by the researcher.

Immunogen

E.coli-derived human RYK recombinant protein (Position: L66-V607) was used as the immunogen for the RYK antibody.

Storage

After reconstitution, the RYK antibody can be stored for up to one month at 4oC. For long-term, aliquot and store at -20oC. Avoid repeated freezing and thawing.

Cross
Bulk Quote Request Form
Name*:
Organization*:
Email*:
Phone Number*:
Catalog No.*:
Comments and Specifics(amount, formulation, etc.)*:
Validation code: Captchapackage Image


Can't read the image? click here to refresh.
    *required field

Your bulk quote request has been submitted successfully!

Please contact us if you have any questions.