• Tel: 858.663.9055
  • SeparatorEmail: info@nsjbio.com
  • Tel: 858.663.9055
  • Email: info@nsjbio.com
Home >> Antibodies >> Ryanodine receptor 2 Antibody / RYR2

Ryanodine receptor 2 Antibody / RYR2 (RQ6802)

  Catalog No Formulation Size Price (USD)  
Image RQ6802 0.5mg/ml if reconstituted with 0.2ml sterile DI water 100 ug 449
Bulk quote request
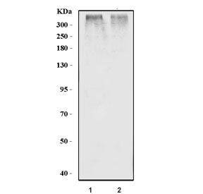
Western blot testing of 1) rat heart and 2) mouse heart tissue lysate with RYR2 antibody. Predicted molecular weight ~565 kDa.
Availability 1-3 business days
Species Reactivity Human, Mouse, Rat
Format Antigen affinity purified
Host Rabbit
Clonality Polyclonal (rabbit origin)
Isotype Rabbit IgG
Purity Antigen affinity purified
Buffer Lyophilized from 1X PBS with 2% Trehalose
UniProt Q92736
Applications Western Blot : 1-2ug/ml
Direct ELISA : 0.1-0.5ug/ml
Limitations This Ryanodine receptor 2 antibody is available for research use only.
Review this product on BioCompare and get a $20 Amazon gift card

Related Products

Description

Ryanodine receptor 2 (RYR2) is a protein found primarily in cardiac muscle. In humans, it is encoded by the RYR2 gene. This gene encodes a ryanodine receptor found in cardiac muscle sarcoplasmic reticulum. The encoded protein is one of the components of a calcium channel, composed of a tetramer of the ryanodine receptor proteins and a tetramer of FK506 binding protein 1B proteins, that supplies calcium to cardiac muscle. Mutations in this gene are associated with stress-induced polymorphic ventricular tachycardia and arrhythmogenic right ventricular dysplasia.

Application Notes

Optimal dilution of the Ryanodine receptor 2 antibody should be determined by the researcher.

Immunogen

Recombinant human protein (amino acids R3506-D3540) was used as the immunogen for the Ryanodine receptor 2 antibody.

Storage

After reconstitution, the Ryanodine receptor 2 antibody can be stored for up to one month at 4oC. For long-term, aliquot and store at -20oC. Avoid repeated freezing and thawing.

Cross
Bulk Quote Request Form
Name*:
Organization*:
Email*:
Phone Number*:
Catalog No.*:
Comments and Specifics(amount, formulation, etc.)*:
Validation code: Captchapackage Image


Can't read the image? click here to refresh.
    *required field

Your bulk quote request has been submitted successfully!

Please contact us if you have any questions.