• Tel: 858.663.9055
  • SeparatorEmail: info@nsjbio.com
  • Tel: 858.663.9055
  • Email: info@nsjbio.com
Home >> Antibodies >> RuvB-like 1 Antibody / RUVBL1 / TIP49A

RuvB-like 1 Antibody / RUVBL1 / TIP49A (F54729)

  Catalog No Formulation Size Price (USD)  
Image F54729-0.4ML In 1X PBS, pH 7.4, with 0.09% sodium azide 0.4 ml 439
Image
F54729-0.08ML In 1X PBS, pH 7.4, with 0.09% sodium azide 0.08 ml 205
Bulk quote request
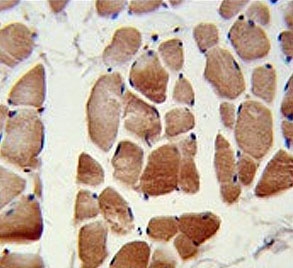
IHC testing of FFPE human skeletal muscle tissue with RuvB-like 1 antibody. HIER: steam section in pH6 citrate buffer for 20 min and allow to cool prior to staining.
Western blot testing of 1) non-transfected and 2) transfected 293 cell lysate with RuvB-like 1 antibody.
Western blot testing of human MCF7 cell lysate with RuvB-like 1 antibody. Predicted molecular weight ~50 kDa.
Flow cytometry testing of human MCF7 cells with RuvB-like 1 antibody; Blue=isotype control, Green= RuvB-like 1 antibody.
Availability 1-3 business days
Species Reactivity Human
Format Purified
Host Rabbit
Clonality Polyclonal (rabbit origin)
Isotype Rabbit Ig
Purity Antigen affinity purified
UniProt Q9Y265
Localization Cytoplasmic, nuclear
Applications Western Blot : 1:500-1:2000
Flow Cytometry : 1:25 (1x10e6 cells)
Immunohistochemistry (FFPE) : 1:25
Limitations This RuvB-like 1 antibody is available for research use only.
Review this product on BioCompare and get a $20 Amazon gift card

Related Products

Description

RUVBL1 possesses single-stranded DNA-stimulated ATPase and ATP-dependent DNA helicase (3' to 5') activity. It is a component of the NuA4 histone acetyltransferase complex which is involved in transcriptional activation of select genes principally by acetylation of nucleosomal histone H4 and H2A. This modification may both alter nucleosome - DNA interactions and promote interaction of the modified histones with other proteins which positively regulate transcription. This complex may be required for the activation of transcriptional programs associated with oncogene and proto-oncogene mediated growth induction, tumor suppressor mediated growth arrest and replicative senescence, apoptosis, and DNA repair. The NuA4 complex ATPase and helicase activities seem to be, at least in part, contributed by the association of RUVBL1 and RUVBL2 with EP400. NuA4 may also play a direct role in DNA repair when recruited to sites of DNA damage. RUVBL1 plays an essential role in oncogenic transformation by MYC and also modulates transcriptional activation by the LEF1/TCF1 -CTNNB1 complex. High levels of autoantibodies against RUVBL1 are detected in sera of patients with autoimmune diseases such as polymyositis/dermatomyosistis and autoimmune hepatitis.

Application Notes

The stated application concentrations are suggested starting points. Titration of the RuvB-like 1 antibody may be required due to differences in protocols and secondary/substrate sensitivity.

Immunogen

Recombinant human protein was used as the immunogen for the RuvB-like 1 antibody.

Storage

Aliquot the RuvB-like 1 antibody and store frozen at -20oC or colder. Avoid repeated freeze-thaw cycles.

Cross
Bulk Quote Request Form
Name*:
Organization*:
Email*:
Phone Number*:
Catalog No.*:
Comments and Specifics(amount, formulation, etc.)*:
Validation code: Captchapackage Image


Can't read the image? click here to refresh.
    *required field

Your bulk quote request has been submitted successfully!

Please contact us if you have any questions.