• Tel: 858.663.9055
  • SeparatorEmail: info@nsjbio.com
  • Tel: 858.663.9055
  • Email: info@nsjbio.com
Home >> Antibodies >> RUNX3 Antibody

RUNX3 Antibody (R31777)

  Catalog No Formulation Size Price (USD)  
Image R31777 0.5mg/ml if reconstituted with 0.2ml sterile DI water 100 ug 449
Bulk quote request
Western blot testing of RUNX3 antibody and human lysates 1. A431 and 2. U-2 0S. Predicted molecular weight: ~44 kDa, isoforms can be observed at 42-48 kDa.
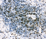
IHC-P testing of RUNX3 antibody and human lung cancer tissue. HIER: boil tissue sections in pH8 EDTA for 20 min and allow to cool before testing.
IHC-P testing of RUNX3 antibody and human intestine cancer tissue. HIER: boil tissue sections in pH8 EDTA for 20 min and allow to cool before testing.
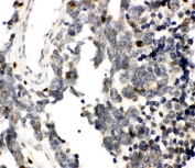
IHC-P testing of mouse spleen tissue with RUNX3 antibody. HIER: boil tissue sections in pH8 EDTA for 20 min and allow to cool before testing.
IHC-P testing of rat spleen tissue with RUNX3 antibody. HIER: boil tissue sections in pH8 EDTA for 20 min and allow to cool before testing.
Flow cytometry testing of human ThP-1 cells with RUNX3 antibody at 1ug/10^6 cells (blocked with goat sera); Red=cells alone, Green=isotype control, Blue= RUNX3 antibody.
Western blot testing of human 1) Raji, 2) Ramos, 3) HT1080 and 4) MCF7 cell lysate with RUNX3 antibody. Predicted molecular weight: ~44 kDa, isoforms can be observed at 42-48 kDa.
Immunofluorescent staining of FFPE human U-2 OS cells with RUNX3 antibody (green) and DAPI nuclear stain (blue). HIER: steam section in pH6 citrate buffer for 20 min.
Availability 1-3 business days
Species Reactivity Human, Mouse, Rat
Format Antigen affinity purified
Host Rabbit
Clonality Polyclonal (rabbit origin)
Isotype Rabbit IgG
Purity Antigen affinity
Buffer Lyophilized from 1X PBS with 2.5% BSA and 0.025% sodium azide
UniProt Q64131
Localization Cytoplasmic, nuclear
Applications Western Blot : 0.5-1ug/ml
Immunohistochemistry (FFPE) : 0.5-1ug/ml
Flow Cytometry : 1-3ug/million cells
Immunofluorescence : 2-5ug/ml
Limitations This RUNX3 antibody is available for research use only.
Review this product on BioCompare and get a $20 Amazon gift card

Related Products

  • Applications : WB
    Reactivity : Human
  • Applications : WB
    Reactivity : Mouse, Rat
  • Applications : IHC, IF, WB, ELISA
    Reactivity : Human

Description

Runt-related transcription factor 3, also called AML2 is a protein that in humans is encoded by the RUNX3 gene. The RUNX3 gene encodes a Runt-related transcription factor, which is part of the RUNX gene family. By fluorescence in situ hybridization, RUNX3 was assigned to human chromosome 1p36.11. RUNX3 binds to the core site of murine Leukemia virus, the core sequences in the enhancer of the polyomavirus, and also to the enhancers of the T-cell receptor genes. It may be involved in the control of cellular proliferation and/or differentiation.

Application Notes

The stated application concentrations are suggested starting amounts. Titration of the RUNX3 antibody may be required due to differences in protocols and secondary/substrate sensitivity.

Immunogen

Human partial recombinant protein (AA 128-270) was used as the immunogen for this RUNX3 antibody.

Storage

After reconstitution, the RUNX3 antibody can be stored for up to one month at 4oC. For long-term, aliquot and store at -20oC. Avoid repeated freezing and thawing.

Cross
Bulk Quote Request Form
Name*:
Organization*:
Email*:
Phone Number*:
Catalog No.*:
Comments and Specifics(amount, formulation, etc.)*:
Validation code: Captchapackage Image


Can't read the image? click here to refresh.
    *required field

Your bulk quote request has been submitted successfully!

Please contact us if you have any questions.