• Tel: 858.663.9055
  • SeparatorEmail: info@nsjbio.com
  • Tel: 858.663.9055
  • Email: info@nsjbio.com
Home >> Antibodies >> RUNX3 Antibody

RUNX3 Antibody (F44057)

  Catalog No Formulation Size Price (USD)  
Image F44057-0.4ML In 1X PBS, pH 7.4, with 0.09% sodium azide 0.4 ml 439
Image
F44057-0.08ML In 1X PBS, pH 7.4, with 0.09% sodium azide 0.08 ml 205
Bulk quote request
Western blot analysis of lysate from 1) HL-60 and 2) Jurkat cell line using RUNX3 antibody at 1:1000. Predicted molecular weight: ~44 kDa, isoforms can be observed at 42-48 kDa.
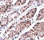
RUNX3 antibody immunohistochemistry analysis in formalin fixed and paraffin embedded human stomach tissue.
Fluorescent confocal image of HeLa cells stained with RUNX3 antibody. Alexa Fluor 488 secondary was used (green). RUNX3 immunoreactivity is localized to the nucleus and cytoplasm.
Availability 1-3 business days
Species Reactivity Human
Format Antigen affinity purified
Host Rabbit
Clonality Polyclonal (rabbit origin)
Isotype Rabbit Ig
Purity Antigen affinity
UniProt Q13761
Applications Western Blot : 1:1000
IHC (Paraffin) : 1:10-1:50
Immunofluorescence : 1:10-1:50
Limitations This RUNX3 antibody is available for research use only.
Review this product on BioCompare and get a $20 Amazon gift card

Related Products

  • Applications : WB
    Reactivity : Human
  • Applications : WB
    Reactivity : Mouse, Rat
  • Applications : WB, IHC-P, FACS, IF
    Reactivity : Human, Mouse, Rat

Description

This gene encodes a member of the runt domain-containing family of transcription factors. A heterodimer of this protein and a beta subunit forms a complex that binds to the core DNA sequence 5'-PYGPYGGT-3' found in a number of enhancers and promoters, and can either activate or suppress transcription. It also interacts with other transcription factors. It functions as a tumor suppressor, and the gene is frequently deleted or transcriptionally silenced in cancer. Multiple transcript variants encoding different isoforms have been found for this gene.

Application Notes

Titration of the RUNX3 antibody may be required due to differences in protocols and secondary/substrate sensitivity.

Immunogen

A portion of amino acids 168-197 from the human protein was used as the immunogen for this RUNX3 antibody.

Storage

Aliquot the RUNX3 antibody and store frozen at -20oC or colder. Avoid repeated freeze-thaw cycles.

Cross
Bulk Quote Request Form
Name*:
Organization*:
Email*:
Phone Number*:
Catalog No.*:
Comments and Specifics(amount, formulation, etc.)*:
Validation code: Captchapackage Image


Can't read the image? click here to refresh.
    *required field

Your bulk quote request has been submitted successfully!

Please contact us if you have any questions.