• Tel: 858.663.9055
  • SeparatorEmail: info@nsjbio.com
  • Tel: 858.663.9055
  • Email: info@nsjbio.com
Home >> Antibodies >> RUNX1 Antibody / AML1

RUNX1 Antibody / AML1 (R31576)

  Catalog No Formulation Size Price (USD)  
Image R31576 0.5mg/ml if reconstituted with 0.2ml sterile DI water 100 ug 449
Bulk quote request
Western blot testing of 1) human HL60, 2) rat thymus and 3) mouse thymus with RUNX1 antibody. Predicted molecular weight ~49 kDa.
IHC staining of FFPE human breast cancer with RUNX1 antibody. HIER: boil tissue sections in pH6, 10mM citrate buffer, for 20 min and allow to cool before testing.
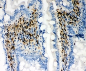
IHC staining of FFPE mouse intestine with RUNX1 antibody. HIER: boil tissue sections in pH6, 10mM citrate buffer, for 20 min and allow to cool before testing.
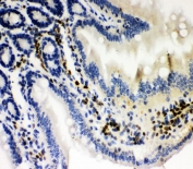
IHC staining of FFPE rat intestine with RUNX1 antibody. HIER: boil tissue sections in pH6, 10mM citrate buffer, for 20 min and allow to cool before testing.
IHC staining of FFPE rat thymus with RUNX1 antibody. HIER: boil tissue sections in pH6, 10mM citrate buffer, for 20 min and allow to cool before testing.
IHC staining of frozen rat spleen with RUNX1 antibody. HIER: boil tissue sections in pH6, 10mM citrate buffer, for 20 min and allow to cool before testing.
Availability 1-3 business days
Species Reactivity Human, Mouse, Rat
Format Antigen affinity purified
Host Rabbit
Clonality Polyclonal (rabbit origin)
Isotype Rabbit IgG
Purity Antigen affinity
Buffer Lyophilized from 1X PBS with 2.5% BSA and 0.025% sodium azide
Gene ID 861
Applications Western Blot : 0.5-1ug/ml
Immunohistochemistry (FFPE & Frozen) : 1-2ug/ml
Limitations This RUNX1 antibody is available for research use only.
Review this product on BioCompare and get a $20 Amazon gift card

Related Products

  • Applications : WB, IHC, IF, FACS, ELISA
    Reactivity : Human
  • Applications : WB, ELISA
    Reactivity : Human
    Pred. Reactivity : Xenopus
  • Applications : WB, ELISA
    Reactivity : Human
  • Applications : WB, ELISA
    Reactivity : Human, Mouse

Description

Runt-related transcription factor 1, also known as AML1 or CBFA2, is a protein that in humans is encoded by the RUNX1 gene. It belongs to the Runt-related transcription factor (RUNX) family of genes which are also called Core binding factor alpha (CBFa). RUNX1 is a transcription factor that regulates the differentiation of hematopoietic stem cells into mature blood cells. RUNX proteins form a heterodimeric complex with CBFb which confers increased DNA binding and stability to the complex. Chromosomal translocations involving the gene are associated with several types of leukemia including M2 AML. Mutations are implicated in cases of breast cancer.

Application Notes

The stated application concentrations are suggested starting amounts. Titration of the RUNX1 antibody may be required due to differences in protocols and secondary/substrate sensitivity.

Immunogen

An amino acid sequence from the middle region of human RUNX1 (ELEQLRRTAMRVSPHHPAPTPNPRASLNHSTAFN) was used as the immunogen for this RUNX1 antibody (100% homologous in human, mouse and rat).

Storage

After reconstitution, the RUNX1 antibody can be stored for up to one month at 4oC. For long-term, aliquot and store at -20oC. Avoid repeated freezing and thawing.

Cross
Bulk Quote Request Form
Name*:
Organization*:
Email*:
Phone Number*:
Catalog No.*:
Comments and Specifics(amount, formulation, etc.)*:
Validation code: Captchapackage Image


Can't read the image? click here to refresh.
    *required field

Your bulk quote request has been submitted successfully!

Please contact us if you have any questions.