• Tel: 858.663.9055
  • SeparatorEmail: info@nsjbio.com
  • Tel: 858.663.9055
  • Email: info@nsjbio.com
Home >> Antibodies >> RUFY4 Antibody / RUN and FYVE domain-containing protein 4

RUFY4 Antibody / RUN and FYVE domain-containing protein 4 (RQ7884)

  Catalog No Formulation Size Price (USD)  
Image RQ7884 0.5mg/ml if reconstituted with 0.2ml sterile DI water 100 ug 449
Bulk quote request
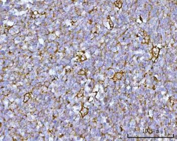
IHC staining of FFPE human tonsil tissue with RUFY4 antibody. HIER: boil tissue sections in pH8 EDTA for 20 min and allow to cool before testing.
Western blot testing of 1) human placenta and 2) monkey COS-7 cell lysate with RUFY4 antibody. Predicted molecular weight ~64 kDa.
Flow cytometry testing of human HEL cells with RUFY4 antibody at 1ug/million cells (blocked with goat sera); Red=cells alone, Green=isotype control, Blue= RUFY4 antibody.
Flow cytometry testing of human ThP-1 cells with RUFY4 antibody at 1ug/million cells (blocked with goat sera); Red=cells alone, Green=isotype control, Blue= RUFY4 antibody.
Availability 1-3 business days
Species Reactivity Human, Monkey
Format Antigen affinity purified
Host Rabbit
Clonality Polyclonal (rabbit origin)
Isotype Rabbit IgG
Purity Antigen affinity purified
Buffer Lyophilized from 1X PBS with 2% Trehalose
UniProt Q6ZNE9
Localization Cytoplasmic
Applications Western Blot : 0.5-1ug/ml
Immunohistochemistry (FFPE) : 2-5ug/ml
Flow Cytometry : 1-3ug/million cells
Direct ELISA : 0.1-0.5ug/ml
Limitations This RUFY4 antibody is available for research use only.
Review this product on BioCompare and get a $20 Amazon gift card

Description

Enables phosphatidylinositol-3-phosphate binding activity. Involved in autophagosome assembly; cellular response to interleukin-4; and positive regulation of macroautophagy. Located in autophagosome.

Application Notes

Optimal dilution of the RUFY4 antibody should be determined by the researcher.

Immunogen

E. coli-derived recombinant human protein (amino acids M1-K553) was used as the immunogen for the RUFY4 antibody.

Storage

After reconstitution, the RUFY4 antibody can be stored for up to one month at 4oC. For long-term, aliquot and store at -20oC. Avoid repeated freezing and thawing.

Cross
Bulk Quote Request Form
Name*:
Organization*:
Email*:
Phone Number*:
Catalog No.*:
Comments and Specifics(amount, formulation, etc.)*:
Validation code: Captchapackage Image


Can't read the image? click here to refresh.
    *required field

Your bulk quote request has been submitted successfully!

Please contact us if you have any questions.