• Tel: 858.663.9055
  • SeparatorEmail: info@nsjbio.com
  • Tel: 858.663.9055
  • Email: info@nsjbio.com
Home >> Antibodies >> Rubicon Antibody / RUBCN / BARON

Rubicon Antibody / RUBCN / BARON (F54720)

  Catalog No Formulation Size Price (USD)  
Image F54720-0.4ML In 1X PBS, pH 7.4, with 0.09% sodium azide 0.4 ml 439
Image
F54720-0.08ML In 1X PBS, pH 7.4, with 0.09% sodium azide 0.08 ml 205
Bulk quote request
Western blot testing of human 1) K562 and 2) HEK293 cell lysate with Rubicon antibody. Expected molecular weight ~130 kDa.
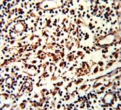
IHC testing of FFPE human lymph tissue with Rubicon antibody. HIER: steam section in pH6 citrate buffer for 20 min and allow to cool prior to staining.
Immunofluorescent staining of fixed and permeabilized human U-251 cells (treated with 50 uM Chloroquine for 16 hr) with Rubicon antibody (green) and Hoechst 33342 nuclear stain (blue).
Flow cytometry testing of human MDA-231 cells with Rubicon antibody; Blue=isotype control, Green= Rubicon antibody.
Availability 1-3 business days
Species Reactivity Human
Format Purified
Host Rabbit
Clonality Polyclonal (rabbit origin)
Isotype Rabbit Ig
Purity Antigen affinity purified
UniProt Q92622
Localization Cytoplasmic
Applications Western Blot : 1:500-1:2000
Flow Cytometry : 1:25 (1x10e6 cells)
Immunohistochemistry (FFPE) : 1:25
Immunofluorescence : 1:25
Limitations This Rubicon antibody is available for research use only.
Review this product on BioCompare and get a $20 Amazon gift card

Description

Inhibits PIK3C3 activity; under basal conditions negatively regulates PI3K complex II (PI3KC3-C2) function in autophagy. Negatively regulates endosome maturation and degradative endocytic trafficking and impairs autophagosome maturation process. Can sequester UVRAG from association with a class C Vps complex (possibly the HOPS complex) and negatively regulates Rab7 activation. [UniProt]

Application Notes

The stated application concentrations are suggested starting points. Titration of the Rubicon antibody may be required due to differences in protocols and secondary/substrate sensitivity.

Immunogen

A portion of amino acids 241-271 from the human protein was used as the immunogen for the Rubicon antibody.

Storage

Aliquot the Rubicon antibody and store frozen at -20oC or colder. Avoid repeated freeze-thaw cycles.

Cross
Bulk Quote Request Form
Name*:
Organization*:
Email*:
Phone Number*:
Catalog No.*:
Comments and Specifics(amount, formulation, etc.)*:
Validation code: Captchapackage Image


Can't read the image? click here to refresh.
    *required field

Your bulk quote request has been submitted successfully!

Please contact us if you have any questions.