• Tel: 858.663.9055
  • SeparatorEmail: info@nsjbio.com
  • Tel: 858.663.9055
  • Email: info@nsjbio.com
Home >> Antibodies >> RTRAF Antibody / hCLE

RTRAF Antibody / hCLE (FY12571)

  Catalog No Formulation Size Price (USD)  
Image FY12571 Adding 0.2 ml of distilled water will yield a concentration of 500 ug/ml 100 ug 449
Bulk quote request
Immunohistochemical staining of RTRAF using anti-RTRAF antibody. RTRAF was detected in a paraffin-embedded section of human ovarian cancer tissue. Heat mediated antigen retrieval was performed in EDTA buffer (pH 8.0, epitope retrieval solution). The tissue section was blocked with 10% goat serum. The tissue section was then incubated with 2 ug/ml rabbit anti-RTRAF antibody overnight at 4oC. Peroxidase Conjugated Goat Anti-rabbit IgG was used as secondary antibody and incubated for 30 minutes at 37oC. The tissue section was developed using an HRP secondary and DAB substrate.
Western blot analysis of RTRAF using anti-RTRAF antibody. Electrophoresis was performed on a 12% SDS-PAGE gel at 80V (Stacking gel) / 120V (Resolving gel) for 2 hours. Lane 1: human PC-3 whole cell lysates, Lane 2: human Hela whole cell lysates, Lane 3: human RT4 whole cell lysates, Lane 4: human SIHA whole cell lysates, Lane 5: rat brain tissue lysates, Lane 6: rat heart tissue lysates, Lane 7: mouse brain tissue lysates, Lane 8: mouse heart tissue lysates. After electrophoresis, proteins were transferred to a nitrocellulose membrane at 150 mA for 50-90 minutes. Blocked the membrane with 5% non-fat milk/TBS for 1.5 hour at RT. The membrane was incubated with rabbit anti-RTRAF antibody at 0.5 ug/ml overnight at 4oC, then washed with TBS-0.1%Tween 3 times with 5 minutes each and probed with a goat anti-rabbit IgG-HRP secondary antibody at a dilution of 1:5000 for 1.5 hour at RT. The signal was developed using an ECL Plus Western Blotting Substrate. A specific band was detected for RTRAF at approximately 28 kDa. The expected molecular weight of RTRAF is ~28 kDa.
Immunohistochemical staining of RTRAF using anti-RTRAF antibody. RTRAF was detected in a paraffin-embedded section of human lung cancer tissue. Heat mediated antigen retrieval was performed in EDTA buffer (pH 8.0, epitope retrieval solution). The tissue section was blocked with 10% goat serum. The tissue section was then incubated with 2 ug/ml rabbit anti-RTRAF antibody overnight at 4oC. Peroxidase Conjugated Goat Anti-rabbit IgG was used as secondary antibody and incubated for 30 minutes at 37oC. The tissue section was developed using an HRP secondary and DAB substrate.
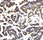
Immunohistochemical staining of RTRAF using anti-RTRAF antibody. RTRAF was detected in a paraffin-embedded section of human colon cancer tissue. Heat mediated antigen retrieval was performed in EDTA buffer (pH 8.0, epitope retrieval solution). The tissue section was blocked with 10% goat serum. The tissue section was then incubated with 2 ug/ml rabbit anti-RTRAF antibody overnight at 4oC. Peroxidase Conjugated Goat Anti-rabbit IgG was used as secondary antibody and incubated for 30 minutes at 37oC. The tissue section was developed using an HRP secondary and DAB substrate.
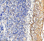
Immunohistochemical staining of RTRAF using anti-RTRAF antibody. RTRAF was detected in a paraffin-embedded section of human tonsil tissue. Heat mediated antigen retrieval was performed in EDTA buffer (pH 8.0, epitope retrieval solution). The tissue section was blocked with 10% goat serum. The tissue section was then incubated with 2 ug/ml rabbit anti-RTRAF antibody overnight at 4oC. Peroxidase Conjugated Goat Anti-rabbit IgG was used as secondary antibody and incubated for 30 minutes at 37oC. The tissue section was developed using an HRP secondary and DAB substrate.
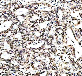
Immunohistochemical staining of RTRAF using anti-RTRAF antibody. RTRAF was detected in a paraffin-embedded section of human prostate cancer tissue. Heat mediated antigen retrieval was performed in EDTA buffer (pH 8.0, epitope retrieval solution). The tissue section was blocked with 10% goat serum. The tissue section was then incubated with 2 ug/ml rabbit anti-RTRAF antibody overnight at 4oC. Peroxidase Conjugated Goat Anti-rabbit IgG was used as secondary antibody and incubated for 30 minutes at 37oC. The tissue section was developed using an HRP secondary and DAB substrate.
Immunofluorescent staining of RTRAF using anti-RTRAF antibody (green) and anti-Beta Tubulin antibody (red). RTRAF was detected in an immunocytochemical section of U2OS cells. Enzyme antigen retrieval was performed using IHC enzyme antigen retrieval reagent for 15 mins. The cells were blocked with 10% goat serum. And then incubated with 5 ug/ml rabbit anti-RTRAF antibody and mouse anti-Beta Tubulin antibody overnight at 4oC. DyLight 488 Conjugated Goat Anti-Rabbit IgG and DyLight?594 Conjugated Goat Anti-Mouse IgG were used as secondary antibody at 1:500 dilution and incubated for 30 minutes at 37oC. Visualize using a fluorescence microscope and filter sets appropriate for the label used.
Availability 1-2 days
Species Reactivity Human, Mouse, Rat
Format Lyophilized
Host Rabbit
Clonality Polyclonal (rabbit origin)
Isotype Rabbit IgG
Purity Immunogen affinity purified
Buffer Each vial contains 4 mg Trehalose, 0.9 mg NaCl, 0.2 mg Na2HPO4.
UniProt Q9Y224
Localization Cytoplasmic, Nuclear
Applications Western Blot : 0.25-0.5ug/ml
Immunohistochemistry : 2-5ug/ml
Immunocytochemistry/Immunofluorescence : 5ug/ml
ELISA : 0.1-0.5ug/ml
Limitations This RTRAF antibody is available for research use only.
Review this product on BioCompare and get a $20 Amazon gift card

Description

RTRAF antibody detects RNA transcription, translation, and transport factor, a multifunctional RNA-binding protein involved in mRNA export, transcriptional regulation, and translation initiation. RTRAF interacts with transcription machinery and translation factors, serving as a molecular bridge that coordinates gene expression at multiple levels. The RTRAF antibody is used in RNA biology, gene expression, and epigenetic studies to investigate transcriptional and post-transcriptional regulation.

RTRAF is encoded by the RTRAF gene located on human chromosome 17q23.3. The protein is approximately 375 amino acids long and localizes to both the nucleus and cytoplasm, reflecting its diverse functions. It forms complexes with RNA polymerase II, transcription elongation factors, and RNA helicases, linking transcription with RNA processing and export. RTRAF also associates with translation initiation factor eIF3, regulating mRNA translation efficiency.

The RTRAF antibody detects a 43 kilodalton band by western blot and demonstrates both nuclear speckle and cytoplasmic punctate staining in immunofluorescence assays. RTRAF participates in gene expression control by influencing promoter clearance, mRNA splicing, and ribosome loading. Its loss disrupts RNA metabolism, leading to reduced protein synthesis and altered stress granule dynamics.

Functionally, RTRAF has been linked to viral replication, as it enhances viral RNA translation and replication complex assembly in infected cells. In cancer, RTRAF expression correlates with increased proliferation and tumor aggressiveness due to its role in sustaining translation of growth-related mRNAs. It also contributes to chromatin organization by interacting with histone modifiers and transcriptional regulators.

Through its integration of transcription, RNA transport, and translation, RTRAF acts as a key coordinator of gene expression homeostasis. NSJ Bioreagents provides a validated RTRAF antibody optimized for its applications, enabling in-depth study of RNA processing, translation control, and gene regulation under physiological and pathological conditions.

Application Notes

Optimal dilution of the RTRAF antibody should be determined by the researcher.

Immunogen

E.coli-derived human C14orf166/RTRAF recombinant protein (Position: M1-R244) was used as the immunogen for the RTRAF antibody.

Storage

After reconstitution, the RTRAF antibody can be stored for up to one month at 4oC. For long-term, aliquot and store at -20oC. Avoid repeated freezing and thawing.

Cross
Bulk Quote Request Form
Name*:
Organization*:
Email*:
Phone Number*:
Catalog No.*:
Comments and Specifics(amount, formulation, etc.)*:
Validation code: Captchapackage Image


Can't read the image? click here to refresh.
    *required field

Your bulk quote request has been submitted successfully!

Please contact us if you have any questions.