• Tel: 858.663.9055
  • SeparatorEmail: info@nsjbio.com
  • Tel: 858.663.9055
  • Email: info@nsjbio.com
Home >> Antibodies >> RTCB Antibody / C22orf28

RTCB Antibody / C22orf28 (RQ7879)

  Catalog No Formulation Size Price (USD)  
Image RQ7879 0.5mg/ml if reconstituted with 0.2ml sterile DI water 100 ug 449
Bulk quote request
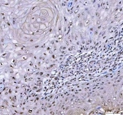
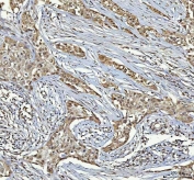
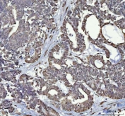
IHC staining of FFPE human lung cancer tissue with RTCB antibody. HIER: boil tissue sections in pH8 EDTA for 20 min and allow to cool before testing.
IHC staining of FFPE human parotid acinar cell carcinoma tissue with RTCB antibody. HIER: boil tissue sections in pH8 EDTA for 20 min and allow to cool before testing.
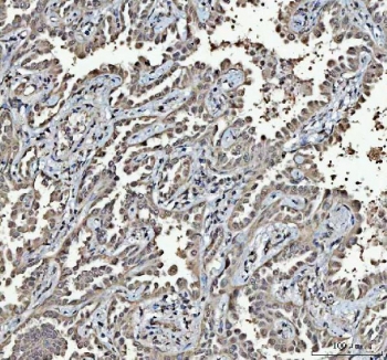
IHC staining of FFPE human ovarian cancer tissue with RTCB antibody. HIER: boil tissue sections in pH8 EDTA for 20 min and allow to cool before testing.
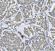
IHC staining of FFPE human breast cancer tissue with RTCB antibody. HIER: boil tissue sections in pH8 EDTA for 20 min and allow to cool before testing.
IHC staining of FFPE human skin squamous cell carcinoma tissue with RTCB antibody. HIER: boil tissue sections in pH8 EDTA for 20 min and allow to cool before testing.
IHC staining of FFPE mouse brain tissue with RTCB antibody. HIER: boil tissue sections in pH8 EDTA for 20 min and allow to cool before testing.
IHC staining of FFPE rat brain tissue with RTCB antibody. HIER: boil tissue sections in pH8 EDTA for 20 min and allow to cool before testing.
Immunofluorescent staining of FFPE human HeLa cells with RTCB antibody (red). HIER: steam section in pH6 citrate buffer for 20 min.
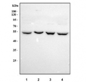
Western blot testing of human 1) HeLa, 2) Jurkat, 3) HL60 and 4) 293T cell lysate with RTCB antibody. Predicted molecular weight ~55 kDa.
Western blot testing of human 1) HeLa, 2) Jurkat, 3) 293T and 4) HepG2 cell lysate with RTCB antibody. Predicted molecular weight ~55 kDa.
Flow cytometry testing of fixed and permeabilized human HeLa cells with RTCB antibody at 1ug/million cells (blocked with goat sera); Red=cells alone, Green=isotype control, Blue= RTCB antibody.
Availability 1-3 business days
Species Reactivity Human
Format Antigen affinity purified
Host Rabbit
Clonality Polyclonal (rabbit origin)
Isotype Rabbit IgG
Purity Antigen affinity purified
Buffer Lyophilized from 1X PBS with 2% Trehalose
UniProt Q9Y3I0
Localization Nuclear, cytoplasmic
Applications Western Blot : 0.5-1ug/ml
Immunofluorescence (FFPE) : 5ug/ml
Flow Cytometry : 1-3ug/million cells
Immunohistochemistry (FFPE) : 2-5ug/ml
Direct ELISA : 0.1-0.5ug/ml
Limitations This RTCB antibody is available for research use only.
Review this product on BioCompare and get a $20 Amazon gift card

Description

RNA 2',3'-cyclic phosphate and 5'-OH ligase is a protein that in humans is encoded by the RTCB gene. Enables RNA ligase (ATP) activity and vinculin binding activity. Involved in tRNA splicing, via endonucleolytic cleavage and ligation. Located in cytosol and nucleoplasm. Part of tRNA-splicing ligase complex.

Application Notes

Optimal dilution of the RTCB antibody should be determined by the researcher.

Immunogen

E. coli-derived recombinant human protein (amino acids H227-G505) was used as the immunogen for the RTCB antibody.

Storage

After reconstitution, the RTCB antibody can be stored for up to one month at 4oC. For long-term, aliquot and store at -20oC. Avoid repeated freezing and thawing.

Cross
Bulk Quote Request Form
Name*:
Organization*:
Email*:
Phone Number*:
Catalog No.*:
Comments and Specifics(amount, formulation, etc.)*:
Validation code: Captchapackage Image


Can't read the image? click here to refresh.
    *required field

Your bulk quote request has been submitted successfully!

Please contact us if you have any questions.