• Tel: 858.663.9055
  • SeparatorEmail: info@nsjbio.com
  • Tel: 858.663.9055
  • Email: info@nsjbio.com
Home >> Antibodies >> RSRC2 Antibody / Arginine/serine-rich coiled-coil protein 2

RSRC2 Antibody / Arginine/serine-rich coiled-coil protein 2 (FY13114)

  Catalog No Formulation Size Price (USD)  
Image FY13114 Adding 0.2 ml of distilled water will yield a concentration of 500 ug/ml 100 ug 439
Bulk quote request
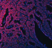
Immunofluorescent staining of FFPE human colorectal cancer tissue with RSRC2 antibody (red) and DAPI nuclear stain (blue). HIER: steam section in pH8 EDTA buffer for 20 min.
Western blot analysis of RSRC2 using anti-RSRC2 antibody. Lane 1: human Hela whole cell lysates, Lane 2: human HEL whole cell lysates, Lane 3: human RT4 whole cell lysates. After electrophoresis, proteins were transferred to a nitrocellulose membrane at 150 mA for 50-90 minutes. Blocked the membrane with 5% non-fat milk/TBS for 1.5 hour at RT. The membrane was incubated with rabbit anti-RSRC2 antibody at 0.5 ug/ml overnight at 4oC, then washed with TBS-0.1%Tween 3 times with 5 minutes each and probed with a goat anti-rabbit IgG-HRP secondary antibody at a dilution of 1:5000 for 1.5 hour at RT. The signal was developed using enhanced chemiluminescent. RSRC2 antibody detects a predominant band at ~58 kDa in HeLa, HEL, and RT4 lysates, with additional weaker bands above and below. Although the calculated mass is ~51 kDa, RSRC2 is an SR-rich splicing factor whose extensive phosphorylation and splice variation commonly cause slower migration and closely spaced multiplets.
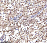
Immunohistochemical staining of RSRC2 using anti-RSRC2 antibody. RSRC2 was detected in a paraffin-embedded section of diffuse large B-cell lymphoma of human intestine tissue. Heat mediated antigen retrieval was performed in EDTA buffer (pH 8.0, epitope retrieval solution). The tissue section was blocked with 10% goat serum. The tissue section was then incubated with 2 ug/ml rabbit anti-RSRC2 antibody overnight at 4oC. Peroxidase Conjugated Goat Anti-rabbit IgG was used as secondary antibody and incubated for 30 minutes at 37oC. The tissue section was developed using an HRP secondary and DAB substrate.
Immunohistochemical staining of RSRC2 using anti-RSRC2 antibody. RSRC2 was detected in a paraffin-embedded section of human adrenocortical adenoma tissue. Heat mediated antigen retrieval was performed in EDTA buffer (pH 8.0, epitope retrieval solution). The tissue section was blocked with 10% goat serum. The tissue section was then incubated with 2 ug/ml rabbit anti-RSRC2 antibody overnight at 4oC. Peroxidase Conjugated Goat Anti-rabbit IgG was used as secondary antibody and incubated for 30 minutes at 37oC. The tissue section was developed using an HRP secondary and DAB substrate.
Immunohistochemical staining of RSRC2 using anti-RSRC2 antibody. RSRC2 was detected in a paraffin-embedded section of human adrenocortical adenoma tissue. Heat mediated antigen retrieval was performed in EDTA buffer (pH 8.0, epitope retrieval solution). The tissue section was blocked with 10% goat serum. The tissue section was then incubated with 2 ug/ml rabbit anti-RSRC2 antibody overnight at 4oC. Peroxidase Conjugated Goat Anti-rabbit IgG was used as secondary antibody and incubated for 30 minutes at 37oC. The tissue section was developed using an HRP secondary and DAB substrate.
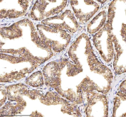
Immunohistochemical staining of RSRC2 using anti-RSRC2 antibody. RSRC2 was detected in a paraffin-embedded section of human colon adenocarcinoma tissue. Heat mediated antigen retrieval was performed in EDTA buffer (pH 8.0, epitope retrieval solution). The tissue section was blocked with 10% goat serum. The tissue section was then incubated with 2 ug/ml rabbit anti-RSRC2 antibody overnight at 4oC. Peroxidase Conjugated Goat Anti-rabbit IgG was used as secondary antibody and incubated for 30 minutes at 37oC. The tissue section was developed using an HRP secondary and DAB substrate.
Immunohistochemical staining of RSRC2 using anti-RSRC2 antibody. RSRC2 was detected in a paraffin-embedded section of human colon adenocarcinoma tissue. Heat mediated antigen retrieval was performed in EDTA buffer (pH 8.0, epitope retrieval solution). The tissue section was blocked with 10% goat serum. The tissue section was then incubated with 2 ug/ml rabbit anti-RSRC2 antibody overnight at 4oC. Peroxidase Conjugated Goat Anti-rabbit IgG was used as secondary antibody and incubated for 30 minutes at 37oC. The tissue section was developed using an HRP secondary and DAB substrate.
Immunohistochemical staining of RSRC2 using anti-RSRC2 antibody. RSRC2 was detected in a paraffin-embedded section of human ovary serous carcinoma tissue. Heat mediated antigen retrieval was performed in EDTA buffer (pH 8.0, epitope retrieval solution). The tissue section was blocked with 10% goat serum. The tissue section was then incubated with 2 ug/ml rabbit anti-RSRC2 antibody overnight at 4oC. Peroxidase Conjugated Goat Anti-rabbit IgG was used as secondary antibody and incubated for 30 minutes at 37oC. The tissue section was developed using an HRP secondary and DAB substrate.
Immunohistochemical staining of RSRC2 using anti-RSRC2 antibody. RSRC2 was detected in a paraffin-embedded section of human ovary serous carcinoma tissue. Heat mediated antigen retrieval was performed in EDTA buffer (pH 8.0, epitope retrieval solution). The tissue section was blocked with 10% goat serum. The tissue section was then incubated with 2 ug/ml rabbit anti-RSRC2 antibody overnight at 4oC. Peroxidase Conjugated Goat Anti-rabbit IgG was used as secondary antibody and incubated for 30 minutes at 37oC. The tissue section was developed using an HRP secondary and DAB substrate.
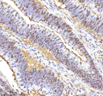
Immunohistochemical staining of RSRC2 using anti-RSRC2 antibody. RSRC2 was detected in a paraffin-embedded section of human prostate adenocarcinoma tissue. Heat mediated antigen retrieval was performed in EDTA buffer (pH 8.0, epitope retrieval solution). The tissue section was blocked with 10% goat serum. The tissue section was then incubated with 2 ug/ml rabbit anti-RSRC2 antibody overnight at 4oC. Peroxidase Conjugated Goat Anti-rabbit IgG was used as secondary antibody and incubated for 30 minutes at 37oC. The tissue section was developed using an HRP secondary and DAB substrate.
Immunofluorescent staining of FFPE human ovarian cancer tissue with RSRC2 antibody (red) and DAPI nuclear stain (blue). HIER: steam section in pH8 EDTA buffer for 20 min.
Immunohistochemical staining of RSRC2 using anti-RSRC2 antibody. RSRC2 was detected in a paraffin-embedded section of human tonsil tissue. Heat mediated antigen retrieval was performed in EDTA buffer (pH 8.0, epitope retrieval solution). The tissue section was blocked with 10% goat serum. The tissue section was then incubated with 2 ug/ml rabbit anti-RSRC2 antibody overnight at 4oC. Peroxidase Conjugated Goat Anti-rabbit IgG was used as secondary antibody and incubated for 30 minutes at 37oC. The tissue section was developed using an HRP secondary and DAB substrate.
Availability 1-2 days
Species Reactivity Human
Format Lyophilized
Clonality Polyclonal (rabbit origin)
Isotype Rabbit IgG
Purity Immunogen affinity purified
Buffer Each vial contains 4 mg Trehalose, 0.9 mg NaCl, 0.2 mg Na2HPO4.
UniProt Q7L4I2
Localization Nuclear, cytoplasmic
Applications Western Blot : 0.25-0.5ug/ml
Immunohistochemistry : 2-5ug/ml
Immunofluorescence : 5ug/ml
ELISA : 0.1-0.5ug/ml
Limitations This RSRC2 antibody is available for research use only.
Review this product on BioCompare and get a $20 Amazon gift card

Description

RSRC2 antibody detects Arginine/serine-rich coiled-coil protein 2, a nuclear splicing factor that regulates pre-mRNA processing and alternative splicing. The UniProt recommended name is Arginine/serine-rich coiled-coil protein 2 (RSRC2). This serine/arginine-rich (SR) protein family member modulates spliceosome assembly and mRNA maturation, influencing gene expression across multiple tissues.

Functionally, RSRC2 antibody identifies a 477-amino-acid protein localized to nuclear speckles where it associates with splicing machinery components. RSRC2 facilitates exon recognition and splice site selection through interactions with U2AF and SR proteins, ensuring accurate pre-mRNA splicing. It also acts as a transcriptional co-regulator linking splicing to gene expression control.

The RSRC2 gene is located on chromosome 12q24.31 and is widely expressed, with enrichment in brain, heart, and testis. RSRC2 activity supports tissue-specific splicing patterns essential for cellular differentiation and development. It dynamically redistributes within the nucleus in response to transcriptional and stress signals, reflecting its role in gene expression regulation.

Pathologically, RSRC2 dysregulation has been implicated in neurodegenerative disease, cancer, and cardiovascular disorders. Altered RSRC2 expression disrupts mRNA splicing fidelity and may affect tumor suppressor or oncogene expression. Research using RSRC2 antibody aids in studies of RNA processing, splicing regulation, and gene expression control.

RSRC2 antibody is validated for western blotting, immunofluorescence, and immunohistochemistry to detect splicing regulators and nuclear speckle proteins. NSJ Bioreagents offers RSRC2 antibody reagents optimized for RNA biology, molecular genetics, and transcriptional regulation research.

Structurally, Arginine/serine-rich coiled-coil protein 2 contains SR repeats mediating protein interactions and a coiled-coil region that promotes nuclear localization and complex formation. This antibody enables detailed analysis of RSRC2's role in co-transcriptional mRNA processing and cellular homeostasis.

Application Notes

Optimal dilution of the RSRC2 antibody should be determined by the researcher.

Immunogen

E.coli-derived human RSRC2 recombinant protein (Position: F226-V434) was used as the immunogen for the RSRC2 antibody.

Storage

After reconstitution, the RSRC2 antibody can be stored for up to one month at 4oC. For long-term, aliquot and store at -20oC. Avoid repeated freezing and thawing.

Cross
Bulk Quote Request Form
Name*:
Organization*:
Email*:
Phone Number*:
Catalog No.*:
Comments and Specifics(amount, formulation, etc.)*:
Validation code: Captchapackage Image


Can't read the image? click here to refresh.
    *required field

Your bulk quote request has been submitted successfully!

Please contact us if you have any questions.