• Tel: 858.663.9055
  • SeparatorEmail: info@nsjbio.com
  • Tel: 858.663.9055
  • Email: info@nsjbio.com
Home >> Antibodies >> RSBN1 Antibody / Round spermatid basic protein 1

RSBN1 Antibody / Round spermatid basic protein 1 (F54231)

  Catalog No Formulation Size Price (USD)  
Image F54231-0.4ML In 1X PBS, pH 7.4, with 0.09% sodium azide 0.4 ml 439
Image
F54231-0.08ML In 1X PBS, pH 7.4, with 0.09% sodium azide 0.08 ml 205
Bulk quote request
Western blot testing of human 1) CCRF-CEM, 2) Jurkat, 3) liver, 4) MCF7 and 5) HL60 lysate with RSBN1 antibody. Predicted molecular weight ~91 kDa.
Western blot testing of human 1) liver, 2) MCF7 and 3) HL60 lysate with RSBN1 antibody. Predicted molecular weight ~91 kDa.
Western blot testing of human Jurkat lysate with RSBN1 antibody. Predicted molecular weight ~91 kDa.
IHC testing of FFPE human placenta tissue with RSBN1 antibody. HIER: steam section in pH6 citrate buffer for 20 min and allow to cool prior to staining.
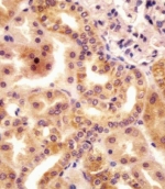
IHC testing of FFPE human kidney tissue with RSBN1 antibody. HIER: steam section in pH6 citrate buffer for 20 min and allow to cool prior to staining.
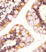
IHC testing of FFPE human colon tissue with RSBN1 antibody. HIER: steam section in pH6 citrate buffer for 20 min and allow to cool prior to staining.
Flow cytometry testing of human Jurkat cells with RSBN1 antibody; Blue=isotype control, Green= RSBN1 antibody.
Availability 1-3 business days
Species Reactivity Human
Format Purified
Host Rabbit
Clonality Polyclonal (rabbit origin)
Isotype Rabbit Ig
Purity Antigen affinity purified
UniProt Q5VWQ0
Gene ID 54665
Applications Western Blot : 1:1000-1:2000
Immunohistochemistry (FFPE) : 1:25
Flow Cytometry : 1:25 (1x10e6 cells)
Limitations This RSBN1 antibody is available for research use only.
Review this product on BioCompare and get a $20 Amazon gift card

Related Products

Description

RSBN1 protein (Round spermatid basic protein 1) is a key component in the process of spermatid development. It is predominantly found in round spermatids, which are the precursors to mature sperm cells. RSBN1 protein plays a vital role in the organization of chromatin, a complex of DNA and proteins found within the nucleus of cells. This organization is essential for the proper packaging and condensation of genetic material in sperm cells. Studies have shown that disruptions in the expression of RSBN1 protein can lead to abnormalities in sperm formation and development. This can ultimately result in male infertility. Research has also suggested that RSBN1 protein may play a role in the regulation of gene expression during spermatid development, further highlighting its importance in male fertility.

Application Notes

The stated application concentrations are suggested starting points. Titration of the RSBN1 antibody may be required due to differences in protocols and secondary/substrate sensitivity.

Immunogen

A portion of amino acids 51-78 from the human protein were used as the immunogen for the RSBN1 antibody.

Storage

Aliquot the RSBN1 antibody and store frozen at -20oC or colder. Avoid repeated freeze-thaw cycles.

Cross
Bulk Quote Request Form
Name*:
Organization*:
Email*:
Phone Number*:
Catalog No.*:
Comments and Specifics(amount, formulation, etc.)*:
Validation code: Captchapackage Image


Can't read the image? click here to refresh.
    *required field

Your bulk quote request has been submitted successfully!

Please contact us if you have any questions.