• Tel: 858.663.9055
  • SeparatorEmail: info@nsjbio.com
  • Tel: 858.663.9055
  • Email: info@nsjbio.com
Home >> Antibodies >> RRS1 Antibody / Ribosome biogenesis regulatory protein homolog

RRS1 Antibody / Ribosome biogenesis regulatory protein homolog (RQ7244)

  Catalog No Formulation Size Price (USD)  
Image RQ7244 0.5mg/ml if reconstituted with 0.2ml sterile DI water 100 ug 449
Bulk quote request
Immunofluorescent staining of FFPE human PC-3 cells with RRS1 antibody (green) and DAPI nuclear stain (blue). HIER: steam section in pH6 citrate buffer for 20 min.
Western blot testing of human 1) PC-3, 2) HeLa, 3) MCF7, 4) K562, 5) 293T, 6) U-251, 7) Daudi and 8) MOLT4 cell lysate with RRS1 antibody. Predicted molecular weight ~41 kDa.
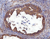
IHC staining of FFPE human ovarian cancer tissue with RRS1 antibody. HIER: boil tissue sections in pH8 EDTA for 20 min and allow to cool before testing.
IHC staining of FFPE human colorectal adenocarcinoma tissue with RRS1 antibody. HIER: boil tissue sections in pH8 EDTA for 20 min and allow to cool before testing.
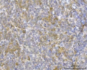
IHC staining of FFPE human esophageal squamous carcinoma tissue with RRS1 antibody. HIER: boil tissue sections in pH8 EDTA for 20 min and allow to cool before testing.
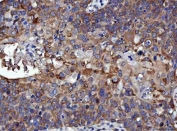
IHC staining of FFPE human liver cancer tissue with RRS1 antibody. HIER: boil tissue sections in pH8 EDTA for 20 min and allow to cool before testing.
IHC staining of FFPE human cervical cancer tissue with RRS1 antibody. HIER: boil tissue sections in pH8 EDTA for 20 min and allow to cool before testing.
Flow cytometry testing of human HEL cells with RRS1 antibody at 1ug/million cells (blocked with goat sera); Red=cells alone, Green=isotype control, Blue= RRS1 antibody.
Immunofluorescent staining of FFPE human colon cancer tissue with RRS1 antibody (red) and DAPI nuclear stain (blue). HIER: steam section in pH6 citrate buffer for 20 min.
Availability 1-3 business days
Species Reactivity Human
Format Antigen affinity purified
Host Rabbit
Clonality Polyclonal (rabbit origin)
Isotype Rabbit IgG
Purity Antigen affinity purified
Buffer Lyophilized from 1X PBS with 2% Trehalose
UniProt Q15050
Localization Nuclear, nucleolus
Applications Western Blot : 0.5-1ug/ml
Immunohistochemistry (FFPE) : 2-5ug/ml
Immunofluorescence : 5ug/ml
Flow Cytometry : 1-3ug/million cells
Limitations This RRS1 antibody is available for research use only.
Review this product on BioCompare and get a $20 Amazon gift card

Related Products

Description

Ribosome biogenesis regulatory protein homolog is a protein that in humans is encoded by the RRS1 gene. RRS1 involved in ribosomal large subunit assembly and may regulate the localization of the 5S RNP/5S ribonucleoprotein particle to the nucleolus.

Application Notes

Optimal dilution of the RRS1 antibody should be determined by the researcher.

Immunogen

Amino acids ELLRVMNSKKPQLDVTRATNKQ were used as the immunogen for the RRS1 antibody.

Storage

After reconstitution, the RRS1 antibody can be stored for up to one month at 4oC. For long-term, aliquot and store at -20oC. Avoid repeated freezing and thawing.

Cross
Bulk Quote Request Form
Name*:
Organization*:
Email*:
Phone Number*:
Catalog No.*:
Comments and Specifics(amount, formulation, etc.)*:
Validation code: Captchapackage Image


Can't read the image? click here to refresh.
    *required field

Your bulk quote request has been submitted successfully!

Please contact us if you have any questions.