• Tel: 858.663.9055
  • SeparatorEmail: info@nsjbio.com
  • Tel: 858.663.9055
  • Email: info@nsjbio.com
Home >> Antibodies >> RRS1 Antibody / Ribosome biogenesis regulatory protein homolog

RRS1 Antibody / Ribosome biogenesis regulatory protein homolog (RQ6900)

  Catalog No Formulation Size Price (USD)  
Image RQ6900 0.5mg/ml if reconstituted with 0.2ml sterile DI water 100 ug 449
Bulk quote request
Immunofluorescent staining of FFPE human A431 cells with RRS1 antibody (red) and DAPI nuclear stain (blue). HIER: steam section in pH6 citrate buffer for 20 min.
IHC staining of FFPE mouse testis tissue with RRS1 antibody. HIER: boil tissue sections in pH8 EDTA for 20 min and allow to cool before testing.
IHC staining of FFPE rat testis tissue with RRS1 antibody. HIER: boil tissue sections in pH8 EDTA for 20 min and allow to cool before testing.
IHC staining of FFPE human splenic rupture tissue with RRS1 antibody. HIER: boil tissue sections in pH8 EDTA for 20 min and allow to cool before testing.
IHC staining of FFPE human stomach cancer tissue with RRS1 antibody. HIER: boil tissue sections in pH8 EDTA for 20 min and allow to cool before testing.
IHC staining of FFPE human adenocarcinoma of the right colon with RRS1 antibody. HIER: boil tissue sections in pH8 EDTA for 20 min and allow to cool before testing.
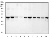
Western blot testing of 1) human HL60, 2) human Caco-2, 3) human SW620, 4) human U-2 OS, 5) human MDA-MB-453, 6) human PC-3, 7) rat PC-12, 8) rat RH-35, 9) mouse NIH 3T3 and 10) mouse RAW264.7 cell lysate with RRS1 antibody. Predicted molecular weight ~41 kDa.
Flow cytometry testing of human Caco-2 cells with RRS1 antibody at 1ug/million cells (blocked with goat sera); Red=cells alone, Green=isotype control, Blue= RRS1 antibody.
Availability 1-3 business days
Species Reactivity Human, Mouse, Rat
Format Antigen affinity purified
Host Rabbit
Clonality Polyclonal (rabbit origin)
Isotype Rabbit IgG
Purity Antigen affinity purified
Buffer Lyophilized from 1X PBS with 2% Trehalose
UniProt Q15050
Localization Nuclear, nucleolus
Applications Western Blot : 1-2ug/ml
Immunohistochemistry (FFPE) : 2-5ug/ml
Immunofluorescence (FFPE) : 5ug/ml
Flow Cytometry : 1-3ug/million cells
Direct ELISA : 0.1-0.5ug/ml
Limitations This RRS1 antibody is available for research use only.
Review this product on BioCompare and get a $20 Amazon gift card

Related Products

Description

Ribosome biogenesis regulatory protein homolog is a protein that in humans is encoded by the RRS1 gene. RRS1 involved in ribosomal large subunit assembly and may regulate the localization of the 5S RNP/5S ribonucleoprotein particle to the nucleolus.

Application Notes

Optimal dilution of the RRS1 antibody should be determined by the researcher.

Immunogen

Recombinant human protein (amino acids Q33-K266) was used as the immunogen for the RRS1 antibody.

Storage

After reconstitution, the RRS1 antibody can be stored for up to one month at 4oC. For long-term, aliquot and store at -20oC. Avoid repeated freezing and thawing.

Cross
Bulk Quote Request Form
Name*:
Organization*:
Email*:
Phone Number*:
Catalog No.*:
Comments and Specifics(amount, formulation, etc.)*:
Validation code: Captchapackage Image


Can't read the image? click here to refresh.
    *required field

Your bulk quote request has been submitted successfully!

Please contact us if you have any questions.