• Tel: 858.663.9055
  • SeparatorEmail: info@nsjbio.com
  • Tel: 858.663.9055
  • Email: info@nsjbio.com
Home >> Antibodies >> RRP7A Antibody / Ribosomal RNA-processing protein 7 homolog A

RRP7A Antibody / Ribosomal RNA-processing protein 7 homolog A (RQ7580)

  Catalog No Formulation Size Price (USD)  
Image RQ7580 0.5mg/ml if reconstituted with 0.2ml sterile DI water 100 ug 449
Bulk quote request
Immunofluorescent staining of FFPE human MCF7 cells with RRP7A antibody (red) and Beta Tubulin mAb (green). HIER: steam section in pH6 citrate buffer for 20 min.
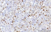
IHC staining of FFPE human testicular seminoma tissue with RRP7A antibody. HIER: boil tissue sections in pH8 EDTA for 20 min and allow to cool before testing.
Western blot testing of 1) human A431, 2) human MCF7, 3) human 293T and 4) monkey COS-7 cell lysate with RRP7A antibody. Expected molecular weight: 32-42 kDa.
Flow cytometry testing of human SiHa cells with RRP7A antibody at 1ug/million cells (blocked with goat sera); Red=cells alone, Green=isotype control, Blue= RRP7A antibody.
Availability 1-3 business days
Species Reactivity Human, Monkey
Format Antigen affinity purified
Host Rabbit
Clonality Polyclonal (rabbit origin)
Isotype Rabbit IgG
Purity Antigen affinity purified
Buffer Lyophilized from 1X PBS with 2% Trehalose
UniProt Q9Y3A4
Localization Nuclear, cytoplasmic
Applications Western Blot : 0.5-1ug/ml
Immunohistochemistry (FFPE) : 2-5ug/ml
Immunofluorescence : 5ug/ml
Flow Cytometry : 1-3ug/million cells
Direct ELISA : 0.1-0.5ug/ml
Limitations This RRP7A antibody is available for research use only.
Review this product on BioCompare and get a $20 Amazon gift card

Description

Ribosomal RNA-processing protein 7 homolog A is a protein that in humans is encoded by the RRP7A gene. Enables RNA binding activity. Predicted to be involved in rRNA processing and ribosomal small subunit assembly. Predicted to act upstream of or within blastocyst formation. Predicted to be located in nucleoplasm. Predicted to be part of CURI complex and UTP-C complex. Implicated in primary autosomal recessive microcephaly.

Application Notes

Optimal dilution of the RRP7A antibody should be determined by the researcher.

Immunogen

E. coli-derived recombinant human protein (amino acids M1-D181) was used as the immunogen for the RRP7A antibody.

Storage

After reconstitution, the RRP7A antibody can be stored for up to one month at 4oC. For long-term, aliquot and store at -20oC. Avoid repeated freezing and thawing.

Cross
Bulk Quote Request Form
Name*:
Organization*:
Email*:
Phone Number*:
Catalog No.*:
Comments and Specifics(amount, formulation, etc.)*:
Validation code: Captchapackage Image


Can't read the image? click here to refresh.
    *required field

Your bulk quote request has been submitted successfully!

Please contact us if you have any questions.