• Tel: 858.663.9055
  • SeparatorEmail: info@nsjbio.com
  • Tel: 858.663.9055
  • Email: info@nsjbio.com
Home >> Antibodies >> RRM1 Antibody / Ribonucleotide Reductase M1

RRM1 Antibody / Ribonucleotide Reductase M1 [clone RRM1/4372R] (V8809)

  Catalog No Formulation Size Price (USD)  
Image V8809-100UG 0.2 mg/ml in 1X PBS with 0.1 mg/ml BSA (US sourced), 0.05% sodium azide 100 ug 559
Image
V8809-20UG 0.2 mg/ml in 1X PBS with 0.1 mg/ml BSA (US sourced), 0.05% sodium azide 20 ug 259
Image
V8809SAF-100UG 1 mg/ml in 1X PBS; BSA free, sodium azide free 100 ug 559
Microvalidated Recrabbitmono
Bulk quote request
Analysis of HuProt(TM) microarray containing more than 19,000 full-length human proteins using RRM1 antibody (clone RRM1/4372R). These results demonstrate the foremost specificity of the RRM1/4372R mAb. Z- and S- score: The Z-score represents the strength of a signal that an antibody (in combination with a fluorescently-tagged anti-IgG secondary Ab) produces when binding to a particular protein on the HuProt(TM) array. Z-scores are described in units of standard deviations (SD's) above the mean value of all signals generated on that array. If the targets on the HuProt(TM) are arranged in descending order of the Z-score, the S-score is the difference (also in units of SD's) between the Z-scores. The S-score therefore represents the relative target specificity of an Ab to its intended target.
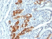
IHC staining of FFPE human small intestine tissue with RRM1 (clone RRM1/4372R). HIER: boil tissue sections in pH 9 10mM Tris with 1mM EDTA for 20 min and allow to cool before testing.
Negative control: IHC staining of FFPE human brain tissue using RRM1 antibody (clone RRM1/4372R) at 2ug/ml in PBS for 30min RT. HIER: boil tissue sections in pH 9 10mM Tris with 1mM EDTA for 20 min and allow to cool before testing.
SDS-PAGE analysis of purified, BSA-free RRM1 antibody (RRM1/4372R) as confirmation of integrity and purity.
Availability 1-3 business days
Species Reactivity Human
Format Purified
Host Rabbit
Clonality Recombinant Rabbit Monoclonal
Isotype Rabbit IgG
Clone Name RRM1/4372R
Purity Protein A/G affinity
UniProt P23921
Localization Cytoplasm
Applications Immunohistochemistry (FFPE) : 1-2ug/ml
Limitations This RRM1 antibody is available for research use only.
Review this product on BioCompare and get a $20 Amazon gift card

Related Products

Description

RRM1 antibody detects ribonucleoside-diphosphate reductase large subunit, encoded by the RRM1 gene. RRM1 is a catalytic subunit of ribonucleotide reductase, the enzyme responsible for converting ribonucleotides into deoxyribonucleotides. This reaction supplies the building blocks for DNA synthesis and repair. Because of its central role in genome maintenance and cancer therapy resistance, RRM1 antibody is widely used in oncology, molecular biology, and pharmacology.

RRM1 pairs with RRM2 or RRM2B to form the holoenzyme, enabling tight regulation of nucleotide pools during the cell cycle. Elevated RRM1 expression supports rapid proliferation but can also confer resistance to nucleoside analog chemotherapies such as gemcitabine. In normal physiology, RRM1 ensures balanced dNTP supply, while in pathology, dysregulation is linked to oncogenesis and poor clinical outcomes.

The RRM1 antibody clone RRM1/4372R provides consistent and specific recognition. Recombinant technology ensures uniformity across lots, minimizing variability in experimental outcomes. Clone RRM1/4372R has been cited in peer-reviewed studies investigating chemotherapy resistance, DNA synthesis, and tumor progression. Its reproducibility makes it suitable for immunohistochemistry, Western blotting, and cell-based assays.

Research using clone RRM1/4372R has shown how high RRM1 expression correlates with resistance to gemcitabine in lung and pancreatic cancers. Beyond oncology, detection of RRM1 has clarified mechanisms of DNA repair and replication stress, linking this protein to broader genome stability. This antibody also enables analysis of RRM1 regulation in response to DNA damage and cell cycle checkpoints, highlighting its central role in cellular homeostasis.

NSJ Bioreagents supplies this RRM1 antibody to support oncology, pharmacology, and DNA synthesis research. Alternate designations include ribonucleotide reductase catalytic subunit M1 antibody, ribonucleotide reductase large subunit antibody, DNA synthesis enzyme antibody, gemcitabine resistance marker antibody, and RRM1 gene product antibody.

Application Notes

Optimal dilution of the RRM1 antibody should be determined by the researcher.

Immunogen

A portion of amino acids 700-800 of human RRM1 was used as the immunogen for the RRM1 antibody.

Storage

Aliquot the RRM1 antibody and store frozen at -20oC or colder. Avoid repeated freeze-thaw cycles.

Cross
Bulk Quote Request Form
Name*:
Organization*:
Email*:
Phone Number*:
Catalog No.*:
Comments and Specifics(amount, formulation, etc.)*:
Validation code: Captchapackage Image


Can't read the image? click here to refresh.
    *required field

Your bulk quote request has been submitted successfully!

Please contact us if you have any questions.