• Tel: 858.663.9055
  • SeparatorEmail: info@nsjbio.com
  • Tel: 858.663.9055
  • Email: info@nsjbio.com
Home >> Antibodies >> RPS6KB1 Antibody / S6K1

RPS6KB1 Antibody / S6K1 (RQ6898)

  Catalog No Formulation Size Price (USD)  
Image RQ6898 0.5mg/ml if reconstituted with 0.2ml sterile DI water 100 ug 449
Bulk quote request
Flow cytometry testing of human MCF7 cells with RPS6KB1 antibody at 1ug/million cells (blocked with goat sera); Red=cells alone, Green=isotype control, Blue= RPS6KB1 antibody.
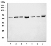
Western blot testing of 1) human MOLT-4, 2) human U-2 OS, 3) human HL60, 4) human U-251, 5) human 293T, 6) human placenta and 7) mouse NIH 3T3 cell lysate with RPS6KB1 antibody. Predicted molecular weight: ~59 kDa, routinely observed at 59-70 kDa.
Availability 1-3 business days
Species Reactivity Human, Mouse
Format Antigen affinity purified
Host Rabbit
Clonality Polyclonal (rabbit origin)
Isotype Rabbit IgG
Purity Antigen affinity purified
Buffer Lyophilized from 1X PBS with 2% Trehalose
UniProt P23443
Applications Western Blot : 1-2ug/ml
Flow Cytometry : 1-3ug/million cells
Limitations This RPS6KB1 antibody is available for research use only.
Review this product on BioCompare and get a $20 Amazon gift card

Related Products

Description

Ribosomal protein S6 kinase beta-1 (S6K1), also known as p70S6 kinase (p70S6K, p70-S6K), is an enzyme (specifically, a protein kinase) that in humans is encoded by the RPS6KB1 gene. This gene encodes a member of the ribosomal S6 kinase family of serine/threonine kinases. The encoded protein responds to mTOR (mammalian target of rapamycin) signaling to promote protein synthesis, cell growth, and cell proliferation. Activity of this gene has been associated with human cancer. Alternatively spliced transcript variants have been observed. The use of alternative translation start sites results in isoforms with longer or shorter N-termini which may differ in their subcellular localizations. There are two pseudogenes for this gene on chromosome 17.

Application Notes

Optimal dilution of the RPS6KB1 antibody should be determined by the researcher.

Immunogen

Amino acids IDKILKCKLNLPPYLTQEARDL from the human protein were used as the immunogen for the RPS6KB1 antibody.

Storage

After reconstitution, the RPS6KB1 antibody can be stored for up to one month at 4oC. For long-term, aliquot and store at -20oC. Avoid repeated freezing and thawing.

Cross
Bulk Quote Request Form
Name*:
Organization*:
Email*:
Phone Number*:
Catalog No.*:
Comments and Specifics(amount, formulation, etc.)*:
Validation code: Captchapackage Image


Can't read the image? click here to refresh.
    *required field

Your bulk quote request has been submitted successfully!

Please contact us if you have any questions.