• Tel: 858.663.9055
  • SeparatorEmail: info@nsjbio.com
  • Tel: 858.663.9055
  • Email: info@nsjbio.com
Home >> Antibodies >> RPS6KA4 Antibody / RSKB / MSK2

RPS6KA4 Antibody / RSKB / MSK2 (RQ6800)

  Catalog No Formulation Size Price (USD)  
Image RQ6800 0.5mg/ml if reconstituted with 0.2ml sterile DI water 100 ug 449
Bulk quote request
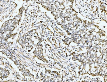
IHC staining of FFPE human lung cancer tissue with RPS6KA4 antibody. HIER: boil tissue sections in pH8 EDTA for 20 min and allow to cool before testing.
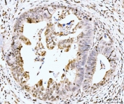
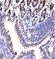
IHC staining of FFPE moderately differentiated adenocarcinoma of the rectum with RPS6KA4 antibody. HIER: boil tissue sections in pH8 EDTA for 20 min and allow to cool before testing.
IHC staining of FFPE human bladder epithelial tissue with RPS6KA4 antibody. HIER: boil tissue sections in pH8 EDTA for 20 min and allow to cool before testing.
IHC staining of FFPE human metaplasia of squamous cells of the renal pelvis tissue with RPS6KA4 antibody. HIER: boil tissue sections in pH8 EDTA for 20 min and allow to cool before testing.
IHC staining of FFPE human placental tissue with RPS6KA4 antibody. HIER: boil tissue sections in pH8 EDTA for 20 min and allow to cool before testing.
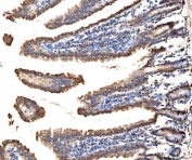
IHC staining of FFPE mouse colon tissue with RPS6KA4 antibody. HIER: boil tissue sections in pH8 EDTA for 20 min and allow to cool before testing.
IHC staining of FFPE rat colon tissue with RPS6KA4 antibody. HIER: boil tissue sections in pH8 EDTA for 20 min and allow to cool before testing.
Immunofluorescent staining of FFPE human PC-3 cells with RPS6KA4 antibody (green) and DAPI nuclear stain (blue). HIER: steam section in pH6 citrate buffer for 20 min.
Western blot testing of human 1) HeLa, 2) 293T and 3) PC-3 cell lysate with RPS6KA4 antibody. Predicted molecular weight ~86 kDa.
Flow cytometry testing of human K562 cells with RPS6KA4 antibody at 1ug/million cells (blocked with goat sera); Red=cells alone, Green=isotype control, Blue= RPS6KA4 antibody.
Availability 1-3 business days
Species Reactivity Human, Mouse, Rat
Format Antigen affinity purified
Host Rabbit
Clonality Polyclonal (rabbit origin)
Isotype Rabbit IgG
Purity Antigen affinity purified
Buffer Lyophilized from 1X PBS with 2% Trehalose
UniProt O75676
Localization Nuclear, cytoplasmic
Applications Western Blot : 1-2ug/ml
Immunohistochemistry (FFPE) : 2-5ug/ml
Immunofluorescence (FFPE) : 5ug/ml
Flow Cytometry : 1-3ug/million cells
Direct ELISA : 0.1-0.5ug/ml
Limitations This RPS6KA4 antibody is available for research use only.
Review this product on BioCompare and get a $20 Amazon gift card

Related Products

Description

Ribosomal protein S6 kinase alpha-4 is an enzyme that in humans is encoded by the RPS6KA4 gene. This gene encodes a member of the RSK (ribosomal S6 kinase) family of serine/threonine kinases. This kinase contains 2 non-identical kinase catalytic domains and phosphorylates various substrates, including CREB1 and ATF1. The encoded protein can also phosphorylate histone H3 to regulate certain inflammatory genes. Several transcript variants encoding different isoforms have been found for this gene.

Application Notes

Optimal dilution of the RPS6KA4 antibody should be determined by the researcher.

Immunogen

Recombinant human protein (amino acids Q302-S772) was used as the immunogen for the RPS6KA4 antibody.

Storage

After reconstitution, the RPS6KA4 antibody can be stored for up to one month at 4oC. For long-term, aliquot and store at -20oC. Avoid repeated freezing and thawing.

Cross
Bulk Quote Request Form
Name*:
Organization*:
Email*:
Phone Number*:
Catalog No.*:
Comments and Specifics(amount, formulation, etc.)*:
Validation code: Captchapackage Image


Can't read the image? click here to refresh.
    *required field

Your bulk quote request has been submitted successfully!

Please contact us if you have any questions.