• Tel: 858.663.9055
  • SeparatorEmail: info@nsjbio.com
  • Tel: 858.663.9055
  • Email: info@nsjbio.com
Home >> Antibodies >> RPS4X/Y1/Y2 Antibody

RPS4X/Y1/Y2 Antibody (RQ7848)

  Catalog No Formulation Size Price (USD)  
Image RQ7848 0.5mg/ml if reconstituted with 0.2ml sterile DI water 100 ug 449
Bulk quote request
Flow cytometry testing of human HepG2 cells with RPS4X/Y1/Y2 antibody at 1ug/million cells (blocked with goat sera); Red=cells alone, Green=isotype control, Blue= RPS4X/Y1/Y2 antibody.
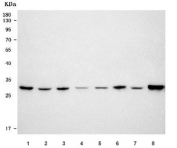
Western blot testing of 1) human HeLa, 2) human HepG2, 3) human MCF7, 4) human COLO-320, 5) rat liver, 6) rat pancreas, 7) mouse liver and 8) mouse pancreas tissue lysate with RPS4X/Y1/Y2 antibody. Predicted molecular weight ~30 kDa.
Availability 1-3 business days
Species Reactivity Human, Mouse, Rat
Format Antigen affinity purified
Host Rabbit
Clonality Polyclonal (rabbit origin)
Isotype Rabbit IgG
Purity Antigen affinity purified
Buffer Lyophilized from 1X PBS with 2% Trehalose
UniProt P62701 , RPS4Y1 , Q8TD47
Applications Western Blot : 0.5-1ug/ml
Flow Cytometry : 1-3ug/million cells
Direct ELISA : 0.1-0.5ug/ml
Limitations This RPS4X/Y1/Y2 antibody is available for research use only.
Review this product on BioCompare and get a $20 Amazon gift card

Description

40S ribosomal protein S4, X isoform is a protein that in humans is encoded by the RPS4X gene. Cytoplasmic ribosomes, organelles that catalyze protein synthesis, consist of a small 40S subunit and a large 60S subunit. Together these subunits are composed of 4 RNA species and approximately 80 structurally distinct proteins. This gene encodes ribosomal protein S4, a component of the 40S subunit. Ribosomal protein S4 is the only ribosomal protein known to be encoded by more than one gene, namely this gene and ribosomal protein S4, Y-linked (RPS4Y). The 2 isoforms encoded by these genes are not identical, but are functionally equivalent. Ribosomal protein S4 belongs to the S4E family of ribosomal proteins. This gene is not subject to X-inactivation. It has been suggested that haploinsufficiency of the ribosomal protein S4 genes plays a role in Turner syndrome; however, this hypothesis is controversial. As is typical for genes encoding ribosomal proteins, there are multiple processed pseudogenes of this gene dispersed through the genome.

Application Notes

Optimal dilution of the RPS4X/Y1/Y2 antibody should be determined by the researcher.

Immunogen

E. coli-derived recombinant human protein (amino acids M1-G263) was used as the immunogen for the RPS4X/Y1/Y2 antibody.

Storage

After reconstitution, the RPS4X/Y1/Y2 antibody can be stored for up to one month at 4oC. For long-term, aliquot and store at -20oC. Avoid repeated freezing and thawing.

Cross
Bulk Quote Request Form
Name*:
Organization*:
Email*:
Phone Number*:
Catalog No.*:
Comments and Specifics(amount, formulation, etc.)*:
Validation code: Captchapackage Image


Can't read the image? click here to refresh.
    *required field

Your bulk quote request has been submitted successfully!

Please contact us if you have any questions.