• Tel: 858.663.9055
  • SeparatorEmail: info@nsjbio.com
  • Tel: 858.663.9055
  • Email: info@nsjbio.com
Home >> Antibodies >> RPS28 Antibody / 40S ribosomal protein S28

RPS28 Antibody / 40S ribosomal protein S28 (RQ7900)

  Catalog No Formulation Size Price (USD)  
Image RQ7900 0.5mg/ml if reconstituted with 0.2ml sterile DI water 100 ug 449
Bulk quote request
Immunofluorescent staining of FFPE human A549 cells with PAPSS2 antibody (green) and Alpha Tubulin mAb (red). HIER: steam section in pH6 citrate buffer for 20 min.
IHC staining of FFPE human colon cancer tissue with RPS28 antibody. HIER: boil tissue sections in pH8 EDTA for 20 min and allow to cool before testing.
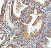
IHC staining of FFPE human endometrial cancer tissue with RPS28 antibody. HIER: boil tissue sections in pH8 EDTA for 20 min and allow to cool before testing.
Western blot testing of 1) human HeLa, 2) human 293T, 3) human PC-3, 4) rat spleen, 5) rat PC-12, 6) mouse spleen and 7) mouse NIH 3T3 cell lysate with RPS28 antibody. Predicted molecular weight ~8 kDa.
Availability 1-3 business days
Species Reactivity Human, Mouse, Rat
Format Antigen affinity purified
Host Rabbit
Clonality Polyclonal (rabbit origin)
Isotype Rabbit IgG
Purity Antigen affinity purified
Buffer Lyophilized from 1X PBS with 2% Trehalose
UniProt P62857
Localization Cytoplasm, Nucleus
Applications Western Blot : 0.5-1ug/ml
Immunohistochemistry (FFPE) : 2-5ug/ml
Immunofluorescece : 5ug/ml
Direct ELISA : 0.1-0.5ug/ml
Limitations This RPS28 antibody is available for research use only.
Review this product on BioCompare and get a $20 Amazon gift card

Description

40S ribosomal protein S28 is a protein that in humans is encoded by the RPS28 gene. Ribosomes, the organelles that catalyze protein synthesis, consist of a small 40S subunit and a large 60S subunit. Together these subunits are composed of 4 RNA species and approximately 80 structurally distinct proteins. This gene encodes a ribosomal protein that is a component of the 40S subunit. The protein belongs to the S28E family of ribosomal proteins. It is located in the cytoplasm. As is typical for genes encoding ribosomal proteins, there are multiple processed pseudogenes of this gene dispersed through the genome.

Application Notes

Optimal dilution of the RPS28 antibody should be determined by the researcher.

Immunogen

E. coli-derived recombinant human protein (amino acids M1-R69) was used as the immunogen for the RPS28 antibody.

Storage

After reconstitution, the RPS28 antibody can be stored for up to one month at 4oC. For long-term, aliquot and store at -20oC. Avoid repeated freezing and thawing.

Cross
Bulk Quote Request Form
Name*:
Organization*:
Email*:
Phone Number*:
Catalog No.*:
Comments and Specifics(amount, formulation, etc.)*:
Validation code: Captchapackage Image


Can't read the image? click here to refresh.
    *required field

Your bulk quote request has been submitted successfully!

Please contact us if you have any questions.