• Tel: 858.663.9055
  • SeparatorEmail: info@nsjbio.com
  • Tel: 858.663.9055
  • Email: info@nsjbio.com
Home >> Antibodies >> RPS25 Antibody / 40S ribosomal protein S25

RPS25 Antibody / 40S ribosomal protein S25 (RQ7864)

  Catalog No Formulation Size Price (USD)  
Image RQ7864 0.5mg/ml if reconstituted with 0.2ml sterile DI water 100 ug 449
Bulk quote request
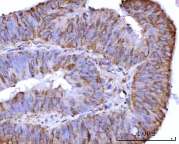
IHC staining of FFPE human colon adenocarcinoma tissue with RPS25 antibody. HIER: boil tissue sections in pH8 EDTA for 20 min and allow to cool before testing.
IHC staining of FFPE human lung adenocarcinoma tissue with RPS25 antibody. HIER: boil tissue sections in pH8 EDTA for 20 min and allow to cool before testing.
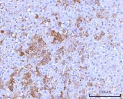
IHC staining of FFPE mouse liver tissue with RPS25 antibody. HIER: boil tissue sections in pH8 EDTA for 20 min and allow to cool before testing.
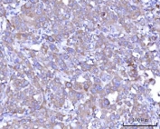
IHC staining of FFPE rat liver tissue with RPS25 antibody. HIER: boil tissue sections in pH8 EDTA for 20 min and allow to cool before testing.
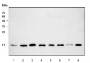
Western blot testing of 1) human A549, 2) human HeLa, 3) human K562, 4) human MCF7, 5) rat liver, 6) rat RH35, 7) mouse liver and 8) mouse NIH 3T3 cell lysate with RPS25 antibody. Predicted molecular weight ~14 kDa.
Flow cytometry testing of human HL60 cells with RPS25 antibody at 1ug/million cells (blocked with goat sera); Red=cells alone, Green=isotype control, Blue= RPS25 antibody.
Availability 1-3 business days
Species Reactivity Human, Mouse, Rat
Format Antigen affinity purified
Host Rabbit
Clonality Polyclonal (rabbit origin)
Isotype Rabbit IgG
Purity Antigen affinity purified
Buffer Lyophilized from 1X PBS with 2% Trehalose
UniProt P62851
Localization Cytoplasmic
Applications Western Blot : 0.5-1ug/ml
Immunohistochemistry (FFPE) : 2-5ug/ml
Flow Cytometry : 1-3ug/million cells
Direct ELISA : 0.1-0.5ug/ml
Limitations This RPS25 antibody is available for research use only.
Review this product on BioCompare and get a $20 Amazon gift card

Description

40S ribosomal protein S25 (eS25) is a protein that in humans is encoded by the RPS25 gene. Ribosomes, the organelles that catalyze protein synthesis, consist of a small 40S subunit and a large 60S subunit. Together these subunits are composed of 4 RNA species and approximately 80 structurally distinct proteins. This gene encodes a ribosomal protein that is a component of the 40S subunit. The protein belongs to the S25E family of ribosomal proteins. It is located in the cytoplasm. As is typical for genes encoding ribosomal proteins, there are multiple processed pseudogenes of this gene dispersed through the genome.

Application Notes

Optimal dilution of the RPS25 antibody should be determined by the researcher.

Immunogen

E. coli-derived recombinant human protein (amino acids K39-A125) was used as the immunogen for the RPS25 antibody.

Storage

After reconstitution, the RPS25 antibody can be stored for up to one month at 4oC. For long-term, aliquot and store at -20oC. Avoid repeated freezing and thawing.

Cross
Bulk Quote Request Form
Name*:
Organization*:
Email*:
Phone Number*:
Catalog No.*:
Comments and Specifics(amount, formulation, etc.)*:
Validation code: Captchapackage Image


Can't read the image? click here to refresh.
    *required field

Your bulk quote request has been submitted successfully!

Please contact us if you have any questions.