• Tel: 858.663.9055
  • SeparatorEmail: info@nsjbio.com
  • Tel: 858.663.9055
  • Email: info@nsjbio.com
Home >> Antibodies >> RPS21 Antibody / 40S ribosomal protein S21

RPS21 Antibody / 40S ribosomal protein S21 (FY12191)

  Catalog No Formulation Size Price (USD)  
Image FY12191 Adding 0.2 ml of distilled water will yield a concentration of 500 ug/ml 100 ug 449
Bulk quote request
Immunofluorescent staining of RPS21 using anti-RPS21 antibody (green). RPS21 was detected in an immunocytochemical section of HELA cells. Enzyme antigen retrieval was performed using IHC enzyme antigen retrieval reagent for 15 mins. The cells were blocked with 10% goat serum. And then incubated with 5 ug/ml rabbit anti-RPS21 antibody overnight at 4oC. DyLight 488 Conjugated Goat Anti-Rabbit IgG was used as secondary antibody at 1:500 dilution and incubated for 30 minutes at 37oC. The section was counterstained with DAPI nuclear stain (blue). Visualize using a fluorescence microscope and filter sets appropriate for the label used.
Western blot analysis of RPS21 using anti-RPS21 antibody. Lane 1: human Caco-2 whole cell lysates, Lane 2: human HEL whole cell lysates, Lane 3: human HepG2 whole cell lysates, Lane 4: human MCF-7 whole cell lysates, Lane 5: rat stomach tissue lysates, Lane 6: mouse stomach tissue lysates. After electrophoresis, proteins were transferred to a nitrocellulose membrane at 150 mA for 50-90 minutes. Blocked the membrane with 5% non-fat milk/TBS for 1.5 hour at RT. The membrane was incubated with rabbit anti-RPS21 antibody at 0.25 ug/ml overnight at 4oC, then washed with TBS-0.1%Tween 3 times with 5 minutes each and probed with a goat anti-rabbit IgG-HRP secondary antibody at a dilution of 1:5000 for 1.5 hour at RT. The signal was developed using enhanced chemiluminescent. The expected band size for RPS21 is at 9 kDa but is commonly observed at higher molecular weights due to the proteins highly basic nature.
Flow Cytometry analysis of HepG2 cells using anti-RPS21 antibody. Overlay histogram showing HepG2 cells stained with (Blue line). To facilitate intracellular staining, cells were fixed with 4% paraformaldehyde and permeabilized with permeabilization buffer. The cells were blocked with 10% normal goat serum. And then incubated with rabbit anti-RPS21 antibody (1 ug/million cells) for 30 min at 20oC. DyLight 488 conjugated goat anti-rabbit IgG (5-10 ug/million cells) was used as secondary antibody for 30 minutes at 20oC. Isotype control antibody (Green line) was rabbit IgG (1 ug/million cells) used under the same conditions. Unlabelled sample without incubation with primary antibody and secondary antibody (Red line) was used as a blank control.
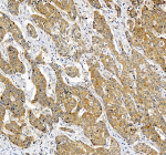
Immunohistochemical staining of RPS21 using anti-RPS21 antibody. RPS21 was detected in a paraffin-embedded section of human liver cancer tissue. Heat mediated antigen retrieval was performed in EDTA buffer (pH 8.0, epitope retrieval solution). The tissue section was blocked with 10% goat serum. The tissue section was then incubated with 2 ug/ml rabbit anti-RPS21 antibody overnight at 4oC. Peroxidase Conjugated Goat Anti-rabbit IgG was used as secondary antibody and incubated for 30 minutes at 37oC. The tissue section was developed using an HRP secondary and DAB substrate.
Availability 1-2 days
Species Reactivity Human, Mouse, Rat
Format Lyophilized
Host Rabbit
Clonality Polyclonal (rabbit origin)
Isotype Rabbit IgG
Purity Immunogen affinity purified
Buffer Each vial contains 4 mg Trehalose, 0.9 mg NaCl, 0.2 mg Na2HPO4.
UniProt P63220
Applications Western Blot : 0.25-0.5ug/ml
Immunohistochemistry : 2-5ug/ml
Immunocytochemistry : 5ug/ml
Immunofluorescence : 5ug/ml
Flow Cytometry : 1-3ug/million cells
ELISA : 0.1-0.5ug/ml
Limitations This RPS21 antibody is available for research use only.
Review this product on BioCompare and get a $20 Amazon gift card

Description

RPS21 antibody detects 40S ribosomal protein S21, encoded by the RPS21 gene on chromosome 20p11.23. RPS21 antibody is used in studies of ribosome assembly, translation, and protein synthesis regulation. RPS21 is a component of the small ribosomal subunit (40S) and contributes to decoding mRNA and ensuring fidelity of translation. Expression is ubiquitous across tissues, reflecting the essential requirement for ribosomal proteins in cell growth and proliferation. Mutations in ribosomal protein genes, including RPS21, are associated with ribosomopathies and cancer.

Structurally, RPS21 is a small basic protein that integrates into the head region of the 40S ribosomal subunit. It contributes to the architecture of the decoding center and interacts with ribosomal RNA and other ribosomal proteins. Structural studies place RPS21 near the mRNA entry channel, supporting its role in guiding and stabilizing mRNA during translation. It is encoded by a highly conserved gene, underscoring its fundamental role in ribosome function.

Functionally, RPS21 ensures proper initiation and elongation of protein synthesis. By contributing to ribosomal stability, it influences translation efficiency and fidelity. Knockdown of RPS21 reduces global protein synthesis and triggers nucleolar stress responses. Deficiency activates p53 pathways and can impair cell proliferation, linking RPS21 to cell cycle control. Researchers employ RPS21 antibody to study ribosome biogenesis, translational control, and stress responses.

Clinically, RPS21 mutations have been identified in Diamond-Blackfan anemia, a congenital ribosomopathy characterized by bone marrow failure and developmental abnormalities. Somatic alterations in RPS21 expression are also observed in cancers, particularly hematologic malignancies, where dysregulated protein synthesis supports tumor growth. Elevated expression correlates with poor prognosis in some tumors. NSJ Bioreagents provides RPS21 antibody to facilitate research into ribosome biology, disease mechanisms, and translational regulation.

Experimentally, RPS21 antibody is used in western blotting to detect the ~9 kDa protein, in immunohistochemistry to study nucleolar expression, and in immunofluorescence microscopy to localize it within ribosomes. Immunoprecipitation with RPS21 antibody enables analysis of ribosomal complexes and translation machinery.

Application Notes

Optimal dilution of the RPS21 antibody should be determined by the researcher.

Immunogen

E.coli-derived human RPS21 recombinant protein (Position: M1-F83) was used as the immunogen for the RPS21 antibody.

Storage

After reconstitution, the RPS21 antibody can be stored for up to one month at 4oC. For long-term, aliquot and store at -20oC. Avoid repeated freezing and thawing.

Cross
Bulk Quote Request Form
Name*:
Organization*:
Email*:
Phone Number*:
Catalog No.*:
Comments and Specifics(amount, formulation, etc.)*:
Validation code: Captchapackage Image


Can't read the image? click here to refresh.
    *required field

Your bulk quote request has been submitted successfully!

Please contact us if you have any questions.