• Tel: 858.663.9055
  • SeparatorEmail: info@nsjbio.com
  • Tel: 858.663.9055
  • Email: info@nsjbio.com
Home >> Antibodies >> RPS2 Antibody / 40S ribosomal protein S2 / RPS4

RPS2 Antibody / 40S ribosomal protein S2 / RPS4 (RQ6799)

  Catalog No Formulation Size Price (USD)  
Image RQ6799 0.5mg/ml if reconstituted with 0.2ml sterile DI water 100 ug 449
Bulk quote request
Immunofluorescent staining of FFPE human HeLa cells with RPS2 antibody (green) and DAPI nuclear stain (blue). HIER: steam section in pH6 citrate buffer for 20 min.
Flow cytometry testing of fixed and permeabilized human U937 cells with RPS2 antibody at 1ug/million cells (blocked with goat sera); Red=cells alone, Green=isotype control, Blue= RPS2 antibody.
Western blot testing of human HeLa cell lysate with RPS2 antibody. Predicted molecular weight ~31 kDa.
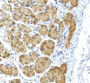
IHC staining of FFPE human stomach tissue with RPS2 antibody, HRP-secondary and DAB substrate. HIER: boil tissue sections in pH8 EDTA for 20 min and allow to cool before testing.
Availability 1-3 business days
Species Reactivity Human, Mouse, Rat
Format Antigen affinity purified
Host Rabbit
Clonality Polyclonal (rabbit origin)
Isotype Rabbit IgG
Purity Antigen affinity purified
Buffer Lyophilized from 1X PBS with 2% Trehalose
UniProt P15880
Localization Nuclear, cytoplasmic, extracellular
Applications Western Blot : 1-2ug/ml
Immunofluorescence (FFPE) : 5ug/ml
Flow Cytometry : 1-3ug/million cells
Direct ELISA : 0.1-0.5ug/ml
Immunohistochemistry (FFPE) : 2-5ug/ml
Limitations This RPS2 antibody is available for research use only.
Review this product on BioCompare and get a $20 Amazon gift card

Description

RPS2 (40S ribosomal protein S2) is a component of the small ribosomal subunit, which is essential for protein synthesis in eukaryotic cells. As part of the 40S subunit, RPS2 participates in the initiation and elongation steps of translation by interacting with ribosomal RNA and other ribosomal proteins. This interaction ensures accurate decoding of messenger RNA and the proper assembly of polypeptides. A RPS2 antibody is frequently used to study translation, ribosome biogenesis, and cellular growth regulation.

RPS2 is expressed in all tissues, reflecting its fundamental role in protein synthesis and cellular metabolism. Beyond its canonical function in translation, RPS2 has been implicated in extra-ribosomal activities, such as regulating cell proliferation and apoptosis. Altered expression of ribosomal proteins, including RPS2, has been linked to tumorigenesis and other disease states. Employing a RPS2 antibody enables researchers to investigate its role in ribosome function and its contribution to disease pathology.

As part of the ribosomal protein family, RPS2 is highly conserved across species, making it an important marker for evolutionary and comparative studies. It has also been studied in the context of ribosomopathies, disorders caused by mutations in ribosomal proteins that lead to defects in ribosome biogenesis. Using a RPS2 antibody supports research into the regulation of translation, cellular growth control, and the molecular mechanisms underlying ribosome-related diseases.

NSJ Bioreagents offers a high-quality RPS2 antibody validated for applications such as western blot, immunohistochemistry, and immunoprecipitation. Choosing a RPS2 antibody from NSJ Bioreagents ensures reliable results and reproducibility in studies of translation, ribosome structure, and disease mechanisms.

Application Notes

Optimal dilution of the RPS2 antibody should be determined by the researcher.

Immunogen

Recombinant human protein (amino acids K54-T293) was used as the immunogen for the RPS2 antibody.

Storage

After reconstitution, the RPS2 antibody can be stored for up to one month at 4oC. For long-term, aliquot and store at -20oC. Avoid repeated freezing and thawing.

Cross
Bulk Quote Request Form
Name*:
Organization*:
Email*:
Phone Number*:
Catalog No.*:
Comments and Specifics(amount, formulation, etc.)*:
Validation code: Captchapackage Image


Can't read the image? click here to refresh.
    *required field

Your bulk quote request has been submitted successfully!

Please contact us if you have any questions.