• Tel: 858.663.9055
  • SeparatorEmail: info@nsjbio.com
  • Tel: 858.663.9055
  • Email: info@nsjbio.com
Home >> Antibodies >> RPS17 Antibody / 40S ribosomal protein S17

RPS17 Antibody / 40S ribosomal protein S17 (RQ7890)

  Catalog No Formulation Size Price (USD)  
Image RQ7890 0.5mg/ml if reconstituted with 0.2ml sterile DI water 100 ug 449
Bulk quote request
Immunofluorescent staining of FFPE human PC-3 cells with RPS17 antibody (red) and DAPI nuclear stain (blue). HIER: steam section in pH6 citrate buffer for 20 min.
Western blot testing of 1) human HeLa, 2) human Thp-1, 3) human 293T, 4) human placenta, 5) rat ovary, 6) rat RH35 and 7) mouse NIH 3T3 cell lysate with RPS17 antibody. Predicted molecular weight ~16 kDa.
Flow cytometry testing of human A431 cells with RPS17 antibody at 1ug/million cells (blocked with goat sera); Red=cells alone, Green=isotype control, Blue= RPS17 antibody.
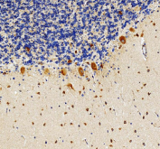
IHC staining of FFPE human cerebellum tissue with RPS17 antibody, HRP-secondary and DAB substrate. HIER: boil tissue sections in pH8 EDTA for 20 min and allow to cool before testing.
Availability 1-3 business days
Species Reactivity Human, Mouse, Rat
Format Antigen affinity purified
Host Rabbit
Clonality Polyclonal (rabbit origin)
Isotype Rabbit IgG
Purity Antigen affinity purified
Buffer Lyophilized from 1X PBS with 2% Trehalose
UniProt P08708
Localization Cytoplasm, nucleus, nucleolus
Applications Western Blot : 0.5-1ug/ml
Immunofluorescence (FFPE) : 5ug/ml
Flow Cytometry : 1-3ug/million cells
Direct ELISA : 0.1-0.5ug/ml
Immunohistochemistry (FFPE) : 2-5ug/ml
Limitations This RPS17 antibody is available for research use only.
Review this product on BioCompare and get a $20 Amazon gift card

Description

RPS17 antibody is a widely used reagent for studying ribosome biology, protein synthesis, and genetic disorders. The encoded protein, 40S ribosomal protein S17, is a component of the small ribosomal subunit, where it contributes to ribosome assembly and translational initiation. As part of the 40S complex, RPS17 helps ensure the accuracy of codon recognition and stabilization of messenger RNA during translation. Its presence is essential for efficient protein production and the maintenance of cellular growth and viability.

40S ribosomal protein S17 belongs to the ribosomal protein S17P family, a group of evolutionarily conserved proteins found across eukaryotes. RPS17 localizes to the cytoplasm, where it associates with other ribosomal proteins and rRNA to form the mature ribosome. In addition to its canonical role in translation, RPS17 has been implicated in regulating extra-ribosomal processes such as cell cycle progression and apoptosis, highlighting its multifunctional contributions to cell biology.

Mutations in RPS17 have been directly associated with Diamond-Blackfan anemia, a congenital disorder characterized by bone marrow failure, anemia, and developmental abnormalities. These findings demonstrate that disruption of a single ribosomal protein can significantly impair hematopoiesis, underscoring the importance of RPS17 in erythroid lineage development. Research continues to explore how ribosomal protein deficiencies cause tissue-specific pathologies and whether RPS17 plays additional roles in ribosomopathies and cancer biology.

At the molecular level, 40S ribosomal protein S17 interacts with both rRNA and neighboring ribosomal proteins to stabilize the decoding center of the ribosome. Structural studies reveal that its conserved domains contribute to the overall architecture of the 40S subunit, supporting fidelity in translation. Through these roles, RPS17 ensures that protein synthesis proceeds with high efficiency and accuracy.

The RPS17 antibody is commonly employed in western blotting, immunohistochemistry, immunofluorescence, and flow cytometry to evaluate expression levels, localization, and disease-related alterations. These applications are useful for studies of ribosome function, hematological disorders, and translational regulation. For researchers investigating protein synthesis, ribosomopathies, or cancer, the RPS17 antibody offers a reliable detection tool. NSJ Bioreagents provides validated antibodies that ensure accuracy and reproducibility in advanced molecular research.

Application Notes

Optimal dilution of the RPS17 antibody should be determined by the researcher.

Immunogen

E. coli-derived recombinant human protein (amino acids M1-V135) was used as the immunogen for the RPS17 antibody.

Storage

After reconstitution, the RPS17 antibody can be stored for up to one month at 4oC. For long-term, aliquot and store at -20oC. Avoid repeated freezing and thawing.

Cross
Bulk Quote Request Form
Name*:
Organization*:
Email*:
Phone Number*:
Catalog No.*:
Comments and Specifics(amount, formulation, etc.)*:
Validation code: Captchapackage Image


Can't read the image? click here to refresh.
    *required field

Your bulk quote request has been submitted successfully!

Please contact us if you have any questions.