• Tel: 858.663.9055
  • SeparatorEmail: info@nsjbio.com
  • Tel: 858.663.9055
  • Email: info@nsjbio.com
Home >> Antibodies >> RPS14 Antibody / 40S ribosomal protein S14

RPS14 Antibody / 40S ribosomal protein S14 (RQ7855)

  Catalog No Formulation Size Price (USD)  
Image RQ7855 0.5mg/ml if reconstituted with 0.2ml sterile DI water 100 ug 449
Bulk quote request
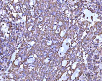
IHC staining of FFPE human lung adenocarcinoma tissue with RPS14 antibody. HIER: boil tissue sections in pH8 EDTA for 20 min and allow to cool before testing.
Western blot testing of 1) human HeLa, 2) human HepG2, 3) human ThP-1, 4) human MCF7, 5) rat liver, 6) rat brain, 7) mouse liver and 8) mouse brain tissue lysate with RPS14 antibody. Predicted molecular weight ~16 kDa.
Flow cytometry testing of human HepG2 cells with RPS14 antibody at 1ug/million cells (blocked with goat sera); Red=cells alone, Green=isotype control, Blue= RPS14 antibody.
Availability 1-3 business days
Species Reactivity Human, Mouse, Rat
Format Antigen affinity purified
Host Rabbit
Clonality Polyclonal (rabbit origin)
Isotype Rabbit IgG
Purity Antigen affinity purified
Buffer Lyophilized from 1X PBS with 2% Trehalose
UniProt P62263
Localization Cytoplasmic, nuclear
Applications Western Blot : 0.5-1ug/ml
Immunohistochemistry (FFPE) : 2-5ug/ml
Flow Cytometry : 1-3ug/million cells
Direct ELISA : 0.1-0.5ug/ml
Limitations This RPS14 antibody is available for research use only.
Review this product on BioCompare and get a $20 Amazon gift card

Related Products

Description

40S ribosomal protein S14 is a protein that in humans is encoded by the RPS14 gene. Ribosomes, the organelles that catalyze protein synthesis, consist of a small 40S subunit and a large 60S subunit. Together these subunits are composed of 4 RNA species and approximately 80 structurally distinct proteins. This gene encodes a ribosomal protein that is a component of the 40S subunit. The protein belongs to the S11P family of ribosomal proteins. It is located in the cytoplasm. Transcript variants utilizing alternative transcription initiation sites have been described in the literature. As is typical for genes encoding ribosomal proteins, there are multiple processed pseudogenes of this gene dispersed through the genome. In Chinese hamster ovary cells, mutations in this gene can lead to resistance to emetine, a protein synthesis inhibitor. Multiple alternatively spliced transcript variants encoding the same protein have been found for this gene.

Application Notes

Optimal dilution of the RPS14 antibody should be determined by the researcher.

Immunogen

E. coli-derived recombinant human protein (amino acids M1-L151) was used as the immunogen for the RPS14 antibody.

Storage

After reconstitution, the RPS14 antibody can be stored for up to one month at 4oC. For long-term, aliquot and store at -20oC. Avoid repeated freezing and thawing.

Cross
Bulk Quote Request Form
Name*:
Organization*:
Email*:
Phone Number*:
Catalog No.*:
Comments and Specifics(amount, formulation, etc.)*:
Validation code: Captchapackage Image


Can't read the image? click here to refresh.
    *required field

Your bulk quote request has been submitted successfully!

Please contact us if you have any questions.