• Tel: 858.663.9055
  • SeparatorEmail: info@nsjbio.com
  • Tel: 858.663.9055
  • Email: info@nsjbio.com
Home >> Antibodies >> RPAP3 Antibody / RNA polymerase II-associated protein 3

RPAP3 Antibody / RNA polymerase II-associated protein 3 (FY12317)

  Catalog No Formulation Size Price (USD)  
Image FY12317 Adding 0.2 ml of distilled water will yield a concentration of 500 ug/ml 100 ug 449
Bulk quote request
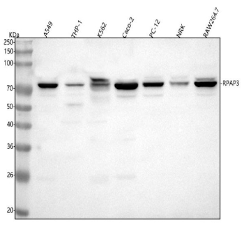
Western blot analysis of RPAP3 using anti-RPAP3 antibody. Lane 1: human whole cell lysates, Lane 2: human THP-1 whole cell lysates, Lane 3: human K562 whole cell lysates, Lane 4: human Caco-2 whole cell lysates, Lane 5: rat PC-12 whole cell lysates, Lane 6: rat NRK whole cell lysates, Lane 7: mouse RAW264.7 whole cell lysates. After electrophoresis, proteins were transferred to a nitrocellulose membrane at 150 mA for 50-90 minutes. Blocked the membrane with 5% non-fat milk/TBS for 1.5 hour at RT. The membrane was incubated with rabbit anti-RPAP3 antibody at 0.5 ug/ml overnight at 4oC, then washed with TBS-0.1%Tween 3 times with 5 minutes each and probed with a goat anti-rabbit IgG-HRP secondary antibody at a dilution of 1:5000 for 1.5 hour at RT. The signal was developed using enhanced chemiluminescent. The expected molecular weight of RPAP3 is ~76 kDa.
Availability 1-2 days
Species Reactivity Human, Mouse, Rat
Format Lyophilized
Host Rabbit
Clonality Polyclonal (rabbit origin)
Isotype Rabbit IgG
Purity Immunogen affinity purified
Buffer Each vial contains 4 mg Trehalose, 0.9 mg NaCl, 0.2 mg Na2HPO4.
UniProt Q9H6T3
Applications Western Blot : 0.25-0.5ug/ml
ELISA : 0.1-0.5ug/ml
Limitations This RPAP3 antibody is available for research use only.
Review this product on BioCompare and get a $20 Amazon gift card

Description

RPAP3 antibody detects RNA polymerase II-associated protein 3, encoded by the RPAP3 gene on chromosome 12q24.31. RPAP3 antibody is commonly used in transcription, chaperone, and cancer research. RPAP3 is a component of the R2TP cochaperone complex, which cooperates with HSP90 and HSP70 to stabilize and assemble large macromolecular complexes. It is involved in the maturation of RNA polymerase II, snoRNPs, PIKKs, and other critical protein assemblies.

Structurally, RPAP3 is a ~75 kDa protein with multiple tetratricopeptide repeat (TPR) domains, which mediate protein-protein interactions. These domains allow RPAP3 to bridge HSP90 and PIH1D1, central elements of the R2TP complex. Its N-terminal domain anchors it to the cochaperone machinery, while its C-terminal region facilitates substrate recognition and client protein assembly.

Functionally, RPAP3 stabilizes RNA polymerase II subunits, enabling proper transcriptional initiation and elongation. It also regulates assembly of snoRNPs, which support ribosomal RNA modification, and PIKKs, which are central to DNA damage response, nutrient sensing, and stress signaling. Researchers use RPAP3 antibody to explore protein complex maturation, transcriptional regulation, and chaperone pathways.

Clinically, RPAP3 dysregulation has been linked to cancer progression. Because it stabilizes oncogenic PIKKs such as mTOR, ATR, and ATM, RPAP3 supports tumor growth and therapy resistance. Its expression patterns may serve as biomarkers for prognosis and treatment response. NSJ Bioreagents provides RPAP3 antibody to support transcription, DNA damage response, and cancer research.

Experimentally, RPAP3 antibody is applied in western blotting to detect the ~75 kDa protein, in immunoprecipitation to study R2TP complex partners, and in immunofluorescence microscopy to visualize nuclear and cytoplasmic distribution. Chromatin immunoprecipitation using RPAP3 antibody helps examine transcriptional regulation via RNA polymerase II stabilization.

Application Notes

Optimal dilution of the RPAP3 antibody should be determined by the researcher.

Immunogen

E.coli-derived human RPAP3 recombinant protein (Position: R84-E604) was used as the immunogen for the RPAP3 antibody.

Storage

After reconstitution, the RPAP3 antibody can be stored for up to one month at 4oC. For long-term, aliquot and store at -20oC. Avoid repeated freezing and thawing.

Cross
Bulk Quote Request Form
Name*:
Organization*:
Email*:
Phone Number*:
Catalog No.*:
Comments and Specifics(amount, formulation, etc.)*:
Validation code: Captchapackage Image


Can't read the image? click here to refresh.
    *required field

Your bulk quote request has been submitted successfully!

Please contact us if you have any questions.