• Tel: 858.663.9055
  • SeparatorEmail: info@nsjbio.com
  • Tel: 858.663.9055
  • Email: info@nsjbio.com
Home >> Antibodies >> ROS1 Antibody

ROS1 Antibody [clone ROS1/7999R] (V5179)

  Catalog No Formulation Size Price (USD)  
Image V5179-100UG 0.2 mg/ml in 1X PBS with 0.1 mg/ml BSA (US sourced), 0.05% sodium azide 100 ug 559
Image
V5179-20UG 0.2 mg/ml in 1X PBS with 0.1 mg/ml BSA (US sourced), 0.05% sodium azide 20 ug 259
Image
V5179SAF-100UG 1 mg/ml in 1X PBS; BSA free, sodium azide free 100 ug 559
Microvalidated Recrabbitmono
Bulk quote request
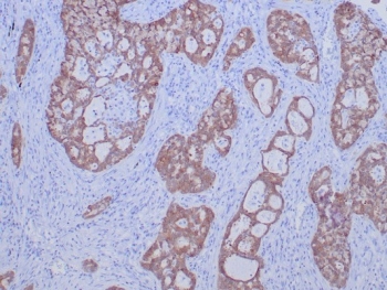
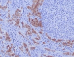
IHC staining of FFPE human lung carcinoma tissue with ROS1 antibody (clone ROS1/7999R). HIER: boil tissue sections in pH 9 10mM Tris with 1mM EDTA for 20 min and allow to cool before testing.
IHC staining of FFPE human lung carcinoma tissue with ROS1 antibody (clone ROS1/7999R). HIER: boil tissue sections in pH 9 10mM Tris with 1mM EDTA for 20 min and allow to cool before testing.
Availability 1-3 business days
Species Reactivity Human
Format Purified
Host Rabbit
Clonality Recombinant Rabbit Monoclonal
Isotype Rabbit IgG, kappa
Clone Name ROS1/7999R
Purity Protein A/G affinity
UniProt P08922
Localization Cell surface
Applications Immunohistochemistry (FFPE) : 1-2ug/ml for 30 min at RT
Limitations This ROS1 antibody is available for research use only.
Review this product on BioCompare and get a $20 Amazon gift card

Related Products

Description

ROS1, an orphan receptor tyrosine kinase of the insulin receptor family, was initially identified as a homolog of v-ros from the UR2 sarcoma virus. ROS1 consists of a large extracellular domain that is composed of six fibronectin repeats, a transmembrane domain, and an intracellular kinase domain. While the function of ROS1 is undefined, it has been shown to play an important role in differentiation of epididymal epithelium. The first oncogenic fusion of ROS1, FIG-ROS1, was initially identified by research studies in glioblastoma. Investigators have found additional oncogenic ROS1 fusion proteins in NSCLC (at a frequency of ~1.6%), where the ROS1 kinase domain is fused to the amino-terminal region of a number of different proteins, including CD74 and SLC34A2.

Application Notes

Optimal dilution of the ROS1 antibody should be determined by the researcher.

Immunogen

A recombinant fragment corresponding to the cytoplasmic domain of human ROS1 protein was used as the immunogen for the ROS1 antibody.

Storage

Aliquot the ROS1 antibody and store frozen at -20oC or colder. Avoid repeated freeze-thaw cycles.

Cross
Bulk Quote Request Form
Name*:
Organization*:
Email*:
Phone Number*:
Catalog No.*:
Comments and Specifics(amount, formulation, etc.)*:
Validation code: Captchapackage Image


Can't read the image? click here to refresh.
    *required field

Your bulk quote request has been submitted successfully!

Please contact us if you have any questions.