• Tel: 858.663.9055
  • SeparatorEmail: info@nsjbio.com
  • Tel: 858.663.9055
  • Email: info@nsjbio.com
Home >> Antibodies >> RORC Antibody / ROR gamma

RORC Antibody / ROR gamma [clone RORC/2941] (V7575)

  Catalog No Formulation Size Price (USD)  
Image V7575-100UG 0.2 mg/ml in 1X PBS with 0.1 mg/ml BSA (US sourced) and 0.05% sodium azide 100 ug 559
Image
V7575-20UG 0.2 mg/ml in 1X PBS with 0.1 mg/ml BSA (US sourced) and 0.05% sodium azide 20 ug 259
Image
V7575SAF-100UG 1 mg/ml in 1X PBS; BSA free, sodium azide free 100 ug 559
Image
V7575IHC-7ML Prediluted in 1X PBS with 0.1 mg/ml BSA (US sourced) and 0.05% sodium azide; *For IHC use only* 7 ml 559
Microvalidated
Bulk quote request
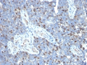
IHC staining of FFPE human kidney with RORC antibody (clone RORC/2941). HIER: boil tissue sections in pH6, 10mM citrate buffer, for 10-20 min and allow to cool before testing.
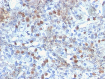
IHC staining of FFPE human colon carcinoma with RORC antibody (clone RORC/2941). HIER: boil tissue sections in pH6, 10mM citrate buffer, for 10-20 min and allow to cool before testing.
Immunofluorescence staining of PFA-fixed human MOLT4 cells with RORC antibody (green, clone RORC/2941) and Phalloidin (red).
Flow cytometry testing of PFA-fixed human MOLT4 cells with RORC antibody (clone RORC/2941); Red=isotype control, Blue= RORC antibody.
Analysis of HuProt(TM) microarray containing more than 19,000 full-length human proteins using RORC antibody (clone RORC/2941). These results demonstrate the foremost specificity of the RORC/2941 mAb.
Z- and S- score: The Z-score represents the strength of a signal that an antibody (in combination with a fluorescently-tagged anti-IgG secondary Ab) produces when binding to a particular protein on the HuProt(TM) array. Z-scores are described in units of standard deviations (SD's) above the mean value of all signals generated on that array. If the targets on the HuProt(TM) are arranged in descending order of the Z-score, the S-score is the difference (also in units of SD's) between the Z-scores. The S-score therefore represents the relative target specificity of an Ab to its intended target.
SDS-PAGE analysis of purified, BSA-free RORC antibody (clone RORC/2941) as confirmation of integrity and purity.
Availability 1-3 business days
Species Reactivity Human
Format Purified
Host Mouse
Clonality Monoclonal (mouse origin)
Isotype Mouse IgG2a, kappa
Clone Name RORC/2941
Purity Protein G affinity chromatography
UniProt P51449
Localization Nuclear
Applications Flow Cytometry : 1-2ug/million cells
Immunofluorescence : 1-2ug/ml
Immunohistochemistry (FFPE) : 1-2ug/ml for 30 minutes at RT
Prediluted IHC Only Format : incubate for 30 min at RT (1)
Limitations This RORC antibody is available for research use only.
Review this product on BioCompare and get a $20 Amazon gift card

Related Products

Description

This MAb recognizes a protein of 63kDa, identified as ROR-C. Its epitope maps in between aa1-50. The nuclear orphan receptors ROR alpha and ROR gamma are members of the nuclear hormone receptor superfamily. Members of this family act by directly associating with DNA sequences known as hormone response elements (HREs) and typically bind DNA as either homo- or heterodimers. RORalpha and RORgamma are unique in that they bind DNA as monomers. RORalpha has multiple isoforms that share common DNA and putative ligand-binding domains, but differ in their amino terminal domains, which are generated by alternative RNA processing. RORgamma comprises a 560 amino acid protein that shares 50% amino acid identity with RORalpha and is most highly expressed in skeletal muscle. Although these proteins are considered 'orphan receptors,' due to a lack of defined ligands, experimental evidence has shown that melatonin may be the natural ligand for these nuclear receptors.

Application Notes

Optimal dilution of the RORC antibody should be determined by the researcher.
1. The prediluted format is supplied in a dropper bottle and is optimized for use in IHC. After epitope retrieval step (if required), drip mAb solution onto the tissue section and incubate at RT for 30 min.

Immunogen

Recombinant human RORC protein was used as the immunogen for the RORC antibody. The epitope has been found to be with amino acids 1-50.

Storage

Store the RORC antibody at 2-8oC (with azide) or aliquot and store at -20oC or colder (without azide).

Cross
Bulk Quote Request Form
Name*:
Organization*:
Email*:
Phone Number*:
Catalog No.*:
Comments and Specifics(amount, formulation, etc.)*:
Validation code: Captchapackage Image


Can't read the image? click here to refresh.
    *required field

Your bulk quote request has been submitted successfully!

Please contact us if you have any questions.