• Tel: 858.663.9055
  • SeparatorEmail: info@nsjbio.com
  • Tel: 858.663.9055
  • Email: info@nsjbio.com
Home >> Antibodies >> ROCK2 Antibody

ROCK2 Antibody (R31832)

  Catalog No Formulation Size Price (USD)  
Image R31832 0.5mg/ml if reconstituted with 0.2ml sterile DI water 100 ug 449
Bulk quote request
Western blot testing of 1) rat brain, 2) rat liver, 3) human HeLa, 4) CEM, 5) A549 and 6) MCF7 lysate with ROCK2 antibody. Expected/observed molecular weight: ~161 kDa.
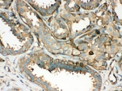
IHC testing of FFPE human breast cancer with ROCK2 antibody. HIER: Boil the paraffin sections in pH 6, 10mM citrate buffer for 20 minutes and allow to cool prior to staining.
IHC testing of FFPE mouse heart with ROCK2 antibody. HIER: Boil the paraffin sections in pH 6, 10mM citrate buffer for 20 minutes and allow to cool prior to staining.
IHC testing of FFPE rat brain with ROCK2 antibody. HIER: Boil the paraffin sections in pH 6, 10mM citrate buffer for 20 minutes and allow to cool prior to staining.
Availability 1-3 business days
Species Reactivity Human, Mouse, Rat
Format Antigen affinity purified
Host Rabbit
Clonality Polyclonal (rabbit origin)
Isotype Rabbit IgG
Purity Antigen affinity
Buffer Lyophilized from 1X PBS with 2.5% BSA and 0.025% sodium azide
UniProt O75116
Localization Cell membrane, cytoplasm, nuclear
Applications Western Blot : 0.1-0.5ug/ml
IHC (FFPE) : 0.5-1ug/ml
Limitations This ROCK2 antibody is available for research use only.
Review this product on BioCompare and get a $20 Amazon gift card

Related Products

  • Applications : WB
    Reactivity : Human
    Rab Mono Image
  • Applications : WB, IF, FACS, Direct ELISA
    Reactivity : Human, Mouse, Rat
  • Applications : WB, FACS, Direct ELISA
    Reactivity : Human, Mouse, Rat

Description

Rho-associated kinase (ROCK), including the ROCK-I and ROCK-II isoforms, is a protein kinase involved in signaling from Rho to actin cytoskeleton. Serine/threonine kinase ROCK II/Rho kinase, which is an isozyme of ROCK I, is one of the targets for the small GTPase Rho. ROCK II regulates the formation of actin stress fibers and focal adhesions, cytokinesis, smooth muscle contraction, and the activation of c-fos serum response element. Sequencing analysis has shown that human ROCK II contains 1388 amino acid residues with a calculated molecular mass of approximately 161 kDa. Fluorescence in situ hybridization analysis showed that the human ROCK II gene is located on chromosome 2p24. Thumkeo et al. concluded that ROCK-II is essential in inhibiting blood coagulation and maintaining blood flow in the endothelium-free labyrinth layer and that loss of ROCK-II leads to thrombus formation, placental dysfunction, intrauterine growth retardation, and fetal death.

Application Notes

Optimal dilution of the ROCK2 antibody should be determined by the researcher.

Immunogen

Amino acids 652-923 of human ROCK2 were used as the immunogen for the ROCK2 antibody.

Storage

After reconstitution, the ROCK2 antibody can be stored for up to one month at 4oC. For long-term, aliquot and store at -20oC. Avoid repeated freezing and thawing.

Cross
Bulk Quote Request Form
Name*:
Organization*:
Email*:
Phone Number*:
Catalog No.*:
Comments and Specifics(amount, formulation, etc.)*:
Validation code: Captchapackage Image


Can't read the image? click here to refresh.
    *required field

Your bulk quote request has been submitted successfully!

Please contact us if you have any questions.