• Tel: 858.663.9055
  • SeparatorEmail: info@nsjbio.com
  • Tel: 858.663.9055
  • Email: info@nsjbio.com
Home >> Antibodies >> ROCK1 Antibody / Rho-associated protein kinase 1

ROCK1 Antibody / Rho-associated protein kinase 1 (RQ7871)

  Catalog No Formulation Size Price (USD)  
Image RQ7871 0.5mg/ml if reconstituted with 0.2ml sterile DI water 100 ug 449
Bulk quote request
Immunofluorescence analysis of ROCK1 expression in SiHa cells. Human SiHa cells were stained with anti-ROCK1 antibody (green) and anti-Alpha Tubulin antibody (red), followed by fluorophore-conjugated secondary antibodies. ROCK1 signal is observed prominently in the nuclear region with additional cytoplasmic staining, while Alpha Tubulin labels the cytoplasmic microtubule network. Although ROCK1 is classically described as a cytoplasmic kinase associated with actin and membrane-linked structures, nuclear localization has been reported in the literature under specific cellular contexts, consistent with the staining pattern observed here.
Immunohistochemistry analysis of ROCK1 expression in human breast cancer tissue. Paraffin-embedded human breast cancer tissue sections were subjected to heat-mediated antigen retrieval in EDTA buffer (pH 8.0) and incubated with anti-ROCK1 antibody, followed by HRP-conjugated secondary antibody and DAB chromogen development. Brown staining is observed in tumor epithelial cells, consistent with cytoplasmic ROCK1 expression, with hematoxylin nuclear counterstain (blue).
Immunohistochemistry analysis of ROCK1 expression in mouse brain tissue. Paraffin-embedded mouse brain tissue sections were subjected to heat-mediated antigen retrieval in EDTA buffer (pH 8.0) and incubated with anti-ROCK1 antibody, followed by HRP-conjugated secondary antibody and DAB chromogen development. ROCK1 immunoreactivity is detected in neural cells and surrounding neuropil, with hematoxylin nuclear counterstain (blue).
Immunohistochemistry analysis of ROCK1 expression in rat brain tissue. Paraffin-embedded rat brain tissue sections were subjected to heat-mediated antigen retrieval in EDTA buffer (pH 8.0) and incubated with anti-ROCK1 antibody, followed by HRP-conjugated secondary antibody and DAB chromogen development. Brown staining is observed in neuronal cells, consistent with cytoplasmic ROCK1 localization, with hematoxylin nuclear counterstain (blue).
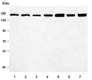
Western blot analysis of ROCK1 expression. Whole cell lysates or tissue lysates from human HeLa cells (lane 1), human Jurkat cells (lane 2), rat brain tissue (lane 3), rat C6 cells (lane 4), mouse brain tissue (lane 5), and mouse NIH/3T3 cells (lane 6) were separated by SDS-PAGE and probed with anti-ROCK1 antibody. A specific immunoreactive band is detected at approximately 158 kDa across the samples, corresponding to ROCK1. This band is consistent with the predicted molecular weight of ROCK1 based on its amino acid sequence.
Availability 1-3 business days
Species Reactivity Human, Mouse, Rat
Format Antigen affinity purified
Host Rabbit
Clonality Polyclonal (rabbit origin)
Isotype Rabbit IgG
Purity Antigen affinity purified
Buffer Lyophilized from 1X PBS with 2% Trehalose
UniProt Q13464
Localization Cytoplasm, cell membrane, possible nucleus
Applications Western Blot : 0.5-1ug/ml
Flow Cytometry : 1-3ug/million cells
Direct ELISA : 0.1-0.5ug/ml
Immunofluorescence : 5ug/ml
Limitations This ROCK1 antibody is available for research use only.
Review this product on BioCompare and get a $20 Amazon gift card

Related Products

Description

ROCK1 antibody targets Rho-associated protein kinase 1, encoded by the ROCK1 gene. Rho-associated protein kinase 1 is a serine-threonine kinase that functions as a key downstream effector of the small GTPase RhoA. ROCK1 belongs to the AGC family of protein kinases and plays a central role in regulating the actin cytoskeleton, cell shape, and contractile force generation through phosphorylation of multiple cytoskeletal and signaling substrates.

Functionally, Rho-associated protein kinase 1 mediates actomyosin contractility by phosphorylating targets such as myosin light chain and myosin phosphatase subunits, thereby promoting stress fiber formation and focal adhesion assembly. ROCK1 signaling influences diverse cellular processes including cell migration, adhesion, cytokinesis, and apoptosis. A ROCK1 antibody supports studies focused on Rho GTPase signaling pathways, cytoskeletal dynamics, and mechanical regulation of cell behavior.

ROCK1 is broadly expressed across many tissues and cell types, reflecting its fundamental role in cellular architecture and signaling. Subcellular localization is predominantly cytoplasmic, with enrichment at actin filaments, stress fibers, and contractile structures, although localization can change in response to RhoA activation and cellular context. During apoptotic signaling, ROCK1 can undergo proteolytic cleavage that alters its activity and functional output, further highlighting its regulatory versatility.

From a disease relevance perspective, dysregulated ROCK1 activity has been investigated in cancer, cardiovascular disease, fibrosis, and neurological disorders, where aberrant cytoskeletal remodeling and cell motility contribute to disease progression. At the molecular level, Rho-associated protein kinase 1 contains an N-terminal kinase domain, a central coiled-coil region with a Rho-binding domain, and C-terminal regulatory motifs that control autoinhibition and activation. ROCK1 antibody reagents support research applications examining cytoskeletal signaling, cell contractility, and Rho-mediated pathways, with NSJ Bioreagents providing reagents intended for research use.

Application Notes

Optimal dilution of the ROCK1 antibody should be determined by the researcher.

Immunogen

E. coli-derived recombinant human protein (amino acids K601-N1319) was used as the immunogen for the ROCK1 antibody.

Storage

After reconstitution, the ROCK1 antibody can be stored for up to one month at 4oC. For long-term, aliquot and store at -20oC. Avoid repeated freezing and thawing.

Cross
Bulk Quote Request Form
Name*:
Organization*:
Email*:
Phone Number*:
Catalog No.*:
Comments and Specifics(amount, formulation, etc.)*:
Validation code: Captchapackage Image


Can't read the image? click here to refresh.
    *required field

Your bulk quote request has been submitted successfully!

Please contact us if you have any questions.