• Tel: 858.663.9055
  • SeparatorEmail: info@nsjbio.com
  • Tel: 858.663.9055
  • Email: info@nsjbio.com
Home >> Antibodies >> ROBO1 Antibody

ROBO1 Antibody (RQ5425)

  Catalog No Formulation Size Price (USD)  
Image RQ5425 0.5mg/ml if reconstituted with 0.2ml sterile DI water 100 ug 449
Bulk quote request
Flow cytometry testing of fixed and permeabilized human A549 cells with ROBO1 antibody at 1ug/million cells (blocked with goat sera); Red=cells alone, Green=isotype control, Blue= ROBO1 antibody.
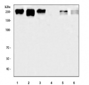
Western blot testing of 1) human HepG2, 2) human HeLa, 3) human 293T, 4) human Jurkat, 5) rat brain and 6) mouse brain tissue lysate with ROBO1 antibody. Expected molecular weight: 181-250 kDa depending on level of glycosylation.
Availability 1-3 business days
Species Reactivity Human
Format Antigen affinity purified
Host Rabbit
Clonality Polyclonal (rabbit origin)
Isotype Rabbit IgG
Purity Affinity purified
Buffer Lyophilized from 1X PBS with 2% Trehalose and 0.025% sodium azide
UniProt Q9Y6N7
Applications Western Blot : 0.5-1ug/ml
Flow Cytometry : 1-3ug/million cells
Direct ELISA : 0.1-0.5ug/ml
Limitations This ROBO1 antibody is available for research use only.
Review this product on BioCompare and get a $20 Amazon gift card

Related Products

  • Applications : IF, IHC-P, ELISA (peptide)
    Reactivity : Human
    Pred. Reactivity : Mouse, Rat, Dog, Cow
  • Applications : WB, ELISA (peptide)
    Reactivity : Mouse
    Pred. Reactivity : Rat, Dog
  • Applications : WB
    Reactivity : Human

Description

Roundabout homolog 1 is a protein that in humans is encoded by the ROBO1 gene. Bilateral symmetric nervous systems have special midline structures that establish a partition between the two mirror image halves. Some axons project toward and across the midline in response to long-range chemoattractants emanating from the midline. The product of this gene is a member of the immunoglobulin gene superfamily and encodes an integral membrane protein that functions in axon guidance and neuronal precursor cell migration. This receptor is activated by SLIT-family proteins, resulting in a repulsive effect on glioma cell guidance in the developing brain. A related gene is located at an adjacent region on chromosome 3. Multiple transcript variants encoding different isoforms have been found for this gene.

Application Notes

Optimal dilution of the ROBO1 antibody should be determined by the researcher.

Immunogen

Amino acids F264-P897 from the human protein were used as the immunogen for the ROBO1 antibody.

Storage

After reconstitution, the ROBO1 antibody can be stored for up to one month at 4oC. For long-term, aliquot and store at -20oC. Avoid repeated freezing and thawing.

Cross
Bulk Quote Request Form
Name*:
Organization*:
Email*:
Phone Number*:
Catalog No.*:
Comments and Specifics(amount, formulation, etc.)*:
Validation code: Captchapackage Image


Can't read the image? click here to refresh.
    *required field

Your bulk quote request has been submitted successfully!

Please contact us if you have any questions.