- Tel: 858.663.9055
- 
									 Email: info@nsjbio.com Email: info@nsjbio.com
- Tel: 858.663.9055
- Email: info@nsjbio.com
 Email: info@nsjbio.com
Email: info@nsjbio.com
								Related Products
| 
 | 
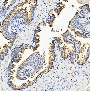
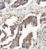
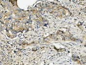
Ribonuclease inhibitor is an enzyme that in humans is encoded by the RNH1 gene. Placental ribonuclease inhibitor (PRI) is a member of a family of proteinaceous cytoplasmic RNase inhibitors that occur in many tissues and bind to both intracellular and extracellular Rnases. In addition to control of intracellular RNases, the inhibitor may have a role in the regulation of angiogenin. Ribonuclease inhibitor, of 50,000 Da, binds to ribonucleases and holds them in a latent form. Since neutral and alkaline ribonucleases probably play a critical role in the turnover of RNA in eukaryotic cells, RNH may be essential for control of mRNA turnover; the interaction of eukaryotic cells with ribonuclease may be reversible in vivo.
Optimal dilution of the RNH1 antibody should be determined by the researcher.
Amino acids SLDIQSLDIQCEELSDARWAELLPLLQQCQVVRLDD from the human protein were used as the immunogen for the RNH1 antibody.
After reconstitution, the RNH1 antibody can be stored for up to one month at 4oC. For long-term, aliquot and store at -20oC. Avoid repeated freezing and thawing.
 
Your bulk quote request has been submitted successfully!
Please contact us if you have any questions.