• Tel: 858.663.9055
  • SeparatorEmail: info@nsjbio.com
  • Tel: 858.663.9055
  • Email: info@nsjbio.com
Home >> Antibodies >> RNF39 Antibody

RNF39 Antibody (R33213)

  Catalog No Formulation Size Price (USD)  
Image R33213-100UG 0.5 mg/ml in 1X TBS, pH7.3, with 0.5% BSA (US sourced) and 0.02% sodium azide 100 ug 475
Bulk quote request
Western blot testing of human brain lysate with RNF39 antibody at 1ug/ml. Predicted molecular weight: ~46/38 kDa (isoforms 1/2).
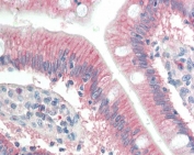
IHC testing of FFPE human small intestine tissue with RNF39 antibody at 10ug/ml. Required HIER: steam section in pH6 citrate buffer for 20 min and allow to cool prior to staining.
Availability 1-3 business days
Species Reactivity Human
Predicted Reactivity Rat, Pig
Format Antigen affinity purified
Host Goat
Clonality Polyclonal (goat origin)
Isotype Goat Ig
Purity Antigen affinity
UniProt Q9H2S5
Gene ID 80352
Localization Cytoplasmic
Applications Western Blot : 1-3ug/ml
IHC (FFPE) : 10ug/ml
ELISA (peptide) LOD : 1:16000
Limitations This RNF39 antibody is available for research use only.
Review this product on BioCompare and get a $20 Amazon gift card

Description

Additional name(s) for this target protein: Ring finger protein 39

Application Notes

Optimal dilution of the RNF39 antibody should be determined by the researcher.

Immunogen

Amino acids CDPRAPLRIVPAES were used as the immunogen for this RNF39 antibody. This sequence is common to isoforms 1 and 2.

Storage

Aliquot and store the RNF39 antibody at -20oC.

Cross
Bulk Quote Request Form
Name*:
Organization*:
Email*:
Phone Number*:
Catalog No.*:
Comments and Specifics(amount, formulation, etc.)*:
Validation code: Captchapackage Image


Can't read the image? click here to refresh.
    *required field

Your bulk quote request has been submitted successfully!

Please contact us if you have any questions.