• Tel: 858.663.9055
  • SeparatorEmail: info@nsjbio.com
  • Tel: 858.663.9055
  • Email: info@nsjbio.com
Home >> Antibodies >> RNF216 Antibody / TRIAD3

RNF216 Antibody / TRIAD3 (RQ7650)

  Catalog No Formulation Size Price (USD)  
Image RQ7650 0.5mg/ml if reconstituted with 0.2ml sterile DI water 100 ug 449
Bulk quote request
Flow cytometry testing of human HepG2 cells with RNF216 antibody at 1ug/million cells (blocked with goat sera); Red=cells alone, Green=isotype control, Blue= RNF216 antibody.
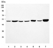
Western blot testing of 1) human U-2 OS, 2) human MCF7, 3) human K562, 4) rat testis, 5) rat heart, 6) mouse testis and 7) mouse heart tissue lysate with RNF216 antibody. Predicted molecular weight ~99, ~106 and ~57 kDa (three isoforms).
Availability 1-3 business days
Species Reactivity Human, Mouse, Rat
Format Antigen affinity purified
Host Rabbit
Clonality Polyclonal (rabbit origin)
Isotype Rabbit IgG
Purity Antigen affinity purified
Buffer Lyophilized from 1X PBS with 2% Trehalose
UniProt Q9NWF9
Applications Western Blot : 0.5-1ug/ml
Flow Cytometry : 1-3ug/million cells
Direct ELISA : 0.1-0.5ug/ml
Limitations This RNF216 antibody is available for research use only.
Review this product on BioCompare and get a $20 Amazon gift card

Description

E3 ubiquitin-protein ligase RNF216 is an enzyme that in humans is encoded by the RNF216 gene. This gene encodes a cytoplasmic protein which specifically colocalizes and interacts with the serine/threonine protein kinase, receptor-interacting protein (RIP). Zinc finger domains of the encoded protein are required for its interaction with RIP and for inhibition of TNF- and IL1-induced NF-kappa B activation pathways. The encoded protein may also function as an E3 ubiquitin-protein ligase which accepts ubiquitin from E2 ubiquitin-conjugating enzymes and transfers it to substrates. Several alternatively spliced transcript variants have been described for this locus but the full-length natures of only some are known.

Application Notes

Optimal dilution of the RNF216 antibody should be determined by the researcher.

Immunogen

E. coli-derived recombinant human protein (amino acids K538-R813) was used as the immunogen for the RNF216 antibody.

Storage

After reconstitution, the RNF216 antibody can be stored for up to one month at 4oC. For long-term, aliquot and store at -20oC. Avoid repeated freezing and thawing.

Cross
Bulk Quote Request Form
Name*:
Organization*:
Email*:
Phone Number*:
Catalog No.*:
Comments and Specifics(amount, formulation, etc.)*:
Validation code: Captchapackage Image


Can't read the image? click here to refresh.
    *required field

Your bulk quote request has been submitted successfully!

Please contact us if you have any questions.