• Tel: 858.663.9055
  • SeparatorEmail: info@nsjbio.com
  • Tel: 858.663.9055
  • Email: info@nsjbio.com
Home >> Antibodies >> RNF212 Antibody / RING finger protein 212

RNF212 Antibody / RING finger protein 212 (RQ7750)

  Catalog No Formulation Size Price (USD)  
Image RQ7750 0.5mg/ml if reconstituted with 0.2ml sterile DI water 100 ug 449
Bulk quote request
Flow cytometry testing of human SiHa cells with RNF212 antibody at 1ug/million cells (blocked with goat sera); Red=cells alone, Green=isotype control, Blue= RNF212 antibody.
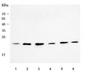
Western blot testing of 1) human PC-3, 2) human HepG2, 3) human HeLa, 4) human SiHa, 5) rat testis and 6) mouse testis tissue lysate with RNF212 antibody. Predicted molecular weight: 14-33 kDa (multiple isoforms).
Availability 1-3 business days
Species Reactivity Human, Mouse, Rat
Format Antigen affinity purified
Host Rabbit
Clonality Polyclonal (rabbit origin)
Isotype Rabbit IgG
Purity Antigen affinity purified
Buffer Lyophilized from 1X PBS with 2% Trehalose
UniProt Q495C1
Applications Western Blot : 0.5-1ug/ml
Flow Cytometry : 1-3ug/million cells
Direct ELISA : 0.1-0.5ug/ml
Limitations This RNF212 antibody is available for research use only.
Review this product on BioCompare and get a $20 Amazon gift card

Description

This gene encodes a RING finger protein that may function as a ubiquitin ligase. The encoded protein may be involved in meiotic recombination. This gene is located within a linkage disequilibrium block and polymorphisms in this gene may influence recombination rates. Alternate splicing results in multiple transcript variants.

Application Notes

Optimal dilution of the RNF212 antibody should be determined by the researcher.

Immunogen

E. coli-derived recombinant human protein (amino acids Q12-E271) was used as the immunogen for the RNF212 antibody.

Storage

After reconstitution, the RNF212 antibody can be stored for up to one month at 4oC. For long-term, aliquot and store at -20oC. Avoid repeated freezing and thawing.

Cross
Bulk Quote Request Form
Name*:
Organization*:
Email*:
Phone Number*:
Catalog No.*:
Comments and Specifics(amount, formulation, etc.)*:
Validation code: Captchapackage Image


Can't read the image? click here to refresh.
    *required field

Your bulk quote request has been submitted successfully!

Please contact us if you have any questions.