• Tel: 858.663.9055
  • SeparatorEmail: info@nsjbio.com
  • Tel: 858.663.9055
  • Email: info@nsjbio.com
Home >> Antibodies >> RNF111 Antibody / RING finger protein 111

RNF111 Antibody / RING finger protein 111 (FY12508)

  Catalog No Formulation Size Price (USD)  
Image FY12508 Adding 0.2 ml of distilled water will yield a concentration of 500 ug/ml 100 ug 449
Bulk quote request
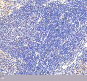
Immunohistochemical staining of RNF111 using anti-RNF111 antibody. RNF111 was detected in a paraffin-embedded section of human tonsil tissue. Heat mediated antigen retrieval was performed in EDTA buffer (pH 8.0, epitope retrieval solution). The tissue section was blocked with 10% goat serum. The tissue section was then incubated with 2 ug/ml rabbit anti-RNF111 antibody overnight at 4oC. Peroxidase Conjugated Goat Anti-rabbit IgG was used as secondary antibody and incubated for 30 minutes at 37oC. The tissue section was developed using an HRP secondary and DAB substrate.
Western blot analysis of RNF111 using anti-RNF111 antibody. Lane 1: mouse thymus tissue lysates. After electrophoresis, proteins were transferred to a nitrocellulose membrane at 150 mA for 50-90 minutes. Blocked the membrane with 5% non-fat milk/TBS for 1.5 hour at RT. The membrane was incubated with rabbit anti-RNF111 antibody at 0.5 ug/ml overnight at 4oC, then washed with TBS-0.1%Tween 3 times with 5 minutes each and probed with a goat anti-rabbit IgG-HRP secondary antibody at a dilution of 1:5000 for 1.5 hour at RT. The signal was developed using enhanced chemiluminescent. RNF111 (~107 kDa predicted) was detected as a major band near 105–110 kDa with additional higher and lower molecular weight species. The upper bands likely correspond to ubiquitinated or phosphorylated RNF111 forms, while the lower bands may represent shorter isoforms or proteolytic fragments, consistent with prior reports.
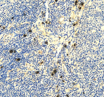
Immunohistochemical staining of RNF111 using anti-RNF111 antibody. RNF111 was detected in a paraffin-embedded section of rat spleen tissue. Heat mediated antigen retrieval was performed in EDTA buffer (pH 8.0, epitope retrieval solution). The tissue section was blocked with 10% goat serum. The tissue section was then incubated with 2 ug/ml rabbit anti-RNF111 antibody overnight at 4oC. Peroxidase Conjugated Goat Anti-rabbit IgG was used as secondary antibody and incubated for 30 minutes at 37oC. The tissue section was developed using an HRP secondary and DAB substrate.
Immunofluorescent staining of RNF111 using anti-RNF111 antibody (green) and anti-Beta Tubulin antibody (red). RNF111 was detected in immunocytochemical section of cell. Enzyme antigen retrieval was performed using IHC enzyme antigen retrieval reagent for 15 mins. The cells were blocked with 10% goat serum. And then incubated with 5 ug/ml rabbit anti-RNF111 antibody and mouse anti-Beta Tubulin antibody overnight at 4oC. DyLight 488 Conjugated Goat Anti-Rabbit IgG and DyLight 550 Conjugated Goat Anti-Mouse IgG were used as secondary antibody at 1:500 dilution and incubated for 30 minutes at 37oC. Visualize using a fluorescence microscope and filter sets appropriate for the label used.
Flow Cytometry analysis of SH-SY5Y cells using anti-RNF111 antibody. Overlay histogram showing SH-SY5Y cells stained with (Blue line). To facilitate intracellular staining, cells were fixed with 4% paraformaldehyde and permeabilized with permeabilization buffer. The cells were blocked with 10% normal goat serum. And then incubated with rabbit anti-RNF111 antibody (1 ug/million cells) for 30 min at 20oC. DyLight 488 conjugated goat anti-rabbit IgG (5-10 ug/million cells) was used as secondary antibody for 30 minutes at 20oC. Isotype control antibody (Green line) was rabbit IgG (1 ug/million cells) used under the same conditions. Unlabelled sample without incubation with primary antibody and secondary antibody (Red line) was used as a blank control.
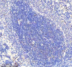
Immunohistochemical staining of RNF111 using anti-RNF111 antibody. RNF111 was detected in a paraffin-embedded section of mouse spleen tissue. Heat mediated antigen retrieval was performed in EDTA buffer (pH 8.0, epitope retrieval solution). The tissue section was blocked with 10% goat serum. The tissue section was then incubated with 2 ug/ml rabbit anti-RNF111 antibody overnight at 4oC. Peroxidase Conjugated Goat Anti-rabbit IgG was used as secondary antibody and incubated for 30 minutes at 37oC. The tissue section was developed using an HRP secondary and DAB substrate.
Availability 1-2 days
Species Reactivity Human, Mouse, Rat
Format Lyophilized
Host Rabbit
Clonality Polyclonal (rabbit origin)
Isotype Rabbit IgG
Purity Immunogen affinity purified
Buffer Each vial contains 4 mg Trehalose, 0.9 mg NaCl, 0.2 mg Na2HPO4.
UniProt Q6ZNA4
Localization Nuclear, cytoplasmic
Applications Western Blot : 0.25-0.5ug/ml
Immunohistochemistry : 2-5ug/ml
Immunocytochemistry : 5ug/ml
Immunofluorescence : 5ug/ml
Flow Cytometry : 1-3ug/million cells
ELISA : 0.1-0.5ug/ml
Limitations This RNF111 antibody is available for research use only.
Review this product on BioCompare and get a $20 Amazon gift card

Description

RNF111 antibody detects RING finger protein 111, an E3 ubiquitin-protein ligase that regulates DNA damage signaling, TGF-beta signaling, and transcriptional control. Also known as Arkadia, RNF111 facilitates ubiquitin-dependent degradation of transcriptional repressors to enhance signal transduction. The RNF111 antibody is used in studies of ubiquitin signaling, DNA repair, and cancer biology.

RNF111 is encoded by the RNF111 gene on human chromosome 15q22.33. The protein is approximately 101 kilodaltons and contains a RING finger domain, two nuclear localization signals, and several coiled-coil regions. It acts as an E3 ligase that mediates ubiquitination of SMAD7 and SKI, thereby amplifying TGF-beta and BMP signaling cascades that control differentiation and tissue remodeling.

The RNF111 antibody identifies a 100-105 kilodalton nuclear protein by western blot. Immunofluorescence reveals punctate nuclear distribution consistent with its role in transcriptional regulation. RNF111 participates in DNA damage response through ubiquitination of SUMO-modified proteins at sites of double-strand breaks, promoting recruitment of repair factors. Loss or mutation of RNF111 results in defective DNA repair and impaired transcriptional activation of TGF-beta-responsive genes.

RNF111 also modulates embryonic development, neural differentiation, and tumor suppression. Overexpression has been associated with hepatocellular carcinoma, whereas downregulation disrupts differentiation signaling in stem cells. NSJ Bioreagents provides a validated RNF111 antibody, supporting investigation of ubiquitin signaling, DNA repair pathways, and transcriptional regulation.

Application Notes

Optimal dilution of the RNF111 antibody should be determined by the researcher.

Immunogen

E.coli-derived human RNF111 recombinant protein (Position: F134-S994) was used as the immunogen for the RNF111 antibody.

Storage

After reconstitution, the RNF111 antibody can be stored for up to one month at 4oC. For long-term, aliquot and store at -20oC. Avoid repeated freezing and thawing.

Cross
Bulk Quote Request Form
Name*:
Organization*:
Email*:
Phone Number*:
Catalog No.*:
Comments and Specifics(amount, formulation, etc.)*:
Validation code: Captchapackage Image


Can't read the image? click here to refresh.
    *required field

Your bulk quote request has been submitted successfully!

Please contact us if you have any questions.